PA5-63042
antibody from Invitrogen Antibodies
Targeting: DENND2C
dJ1156J9.1, DKFZp686G0351, DKFZp779P1149, FLJ37099, RP5-1156J9.1
Antibody data
- Antibody Data
- Antigen structure
- References [0]
- Comments [0]
- Validations
- Immunocytochemistry [2]
- Immunohistochemistry [1]
Submit
Validation data
Reference
Comment
Report error
- Product number
- PA5-63042 - Provider product page

- Provider
- Invitrogen Antibodies
- Product name
- DENND2C Polyclonal Antibody
- Antibody type
- Polyclonal
- Antigen
- Recombinant protein fragment
- Description
- Immunogen sequence: WEGRANGISN PEKWCPKDFG VRYNCHQEIR LKKNPIAERK SKNLDVTSRE NVGLDINENT KSHDQSENEN KKHEYDDTHF FKNESESNWV CSRVKEIESC KED Highest antigen sequence identity to the following orthologs: Mouse - 44%, Rat - 47%.
- Reactivity
- Human
- Host
- Rabbit
- Isotype
- IgG
- Vial size
- 100 μL
- Concentration
- 0.1 mg/mL
- Storage
- Store at 4°C short term. For long term storage, store at -20°C, avoiding freeze/thaw cycles.
No comments: Submit comment
Supportive validation
- Submitted by
- Invitrogen Antibodies (provider)
- Main image

- Experimental details
- Immunofluorescent staining of DENND2C in human cell line MCF7 shows positivity in nucleus & nucleoli. Samples were probed using a DENND2C Polyclonal Antibody (Product # PA5-63042).
- Submitted by
- Invitrogen Antibodies (provider)
- Main image

- Experimental details
- Immunofluorecent analysis of DENND2C in human cell line MCF7 using DENND2C Polyclonal Antibody (Product # PA5-63042). Staining shows localization to nucleus and nucleoli.
Supportive validation
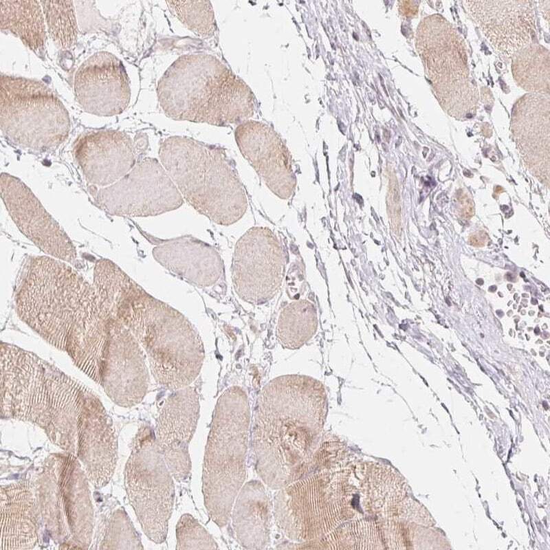
- Submitted by
- Invitrogen Antibodies (provider)
- Main image

- Experimental details
- Immunohistochemical analysis of DENND2C in human skeletal muscle using DENND2C Polyclonal Antibody (Product # PA5-63042) shows cytoplasmic positivity in myocytes.