Antibody data
- Antibody Data
- Antigen structure
- References [0]
- Comments [0]
- Validations
- Immunocytochemistry [2]
Submit
Validation data
Reference
Comment
Report error
- Product number
- BPD-ABS-021-04-02 - Provider product page

- Provider
- Enzo Life Sciences
- Proper citation
- Enzo Life Sciences Cat#BPD-ABS-021-04-02, RRID:AB_11180347
- Product name
- Gastric inhibitory polypeptide (human) monoclonal antibody (4)
- Antibody type
- Monoclonal
- Antigen
- Synthetic peptide
- Description
- Protein A/G-affinity purified.
- Reactivity
- Human
- Host
- Mouse
- Isotype
- IgG
- Antibody clone number
- 4
- Vial size
- 200 μg
- Storage
- 0
No comments: Submit comment
Supportive validation
- Submitted by
- Enzo Life Sciences (provider)
- Main image

- Experimental details
- Immunohistochemical analysis of duodenum tissue using Gastric Inhibitory Polypeptide (human), mAb.
- Submitted by
- Enzo Life Sciences (provider)
- Main image

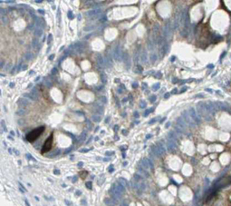
- Experimental details
- Immunohistochemical analysis of small intestine tissue using Gastric Inhibitory Polypeptide (human), mAb.