Antibody data
- Antibody Data
- Antigen structure
- References [0]
- Comments [0]
- Validations
- Western blot [1]
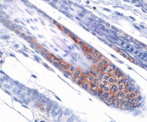
- Immunohistochemistry [1]
Submit
Validation data
Reference
Comment
Report error
- Product number
- LS-C143234 - Provider product page

- Provider
- LSBio
- Product name
- OPA1 Antibody (clone 1E8-1D9) LS-C143234
- Antibody type
- Monoclonal
- Description
- Ascites
- Reactivity
- Human, Mouse, Rat, Bovine, Hamster
- Host
- Mouse
- Isotype
- IgG
- Antibody clone number
- 1E8-1D9
- Storage
- Short term: store at 4°C. Long term: aliquot and store at -20°C. Avoid freeze-thaw cycles.
No comments: Submit comment
Enhanced validation
- Submitted by
- LSBio (provider)
- Enhanced method
- Genetic validation
- Main image

- Experimental details
- OPA1 Antibody (1E8-1D9) - Western blot of OPA1 expression in 1) HeLa 2) MEF 3) HepG2 4) A431 5) CHO 6)PC12 and 7) Ntera2 whole cell lysates.
Supportive validation
- Submitted by
- LSBio (provider)
- Enhanced method
- Genetic validation
- Main image

- Experimental details
- OPA1 Antibody (1E8-1D9) - IHC of OPA1 on mouse skin.