Antibody data
- Antibody Data
- Antigen structure
- References [0]
- Comments [0]
- Validations
- Western blot [1]
- Immunohistochemistry [1]
Submit
Validation data
Reference
Comment
Report error
- Product number
- TA309781 - Provider product page

- Provider
- OriGene
- Product name
- Rabbit Polyclonal OPA1 Antibody
- Antibody type
- Polyclonal
- Description
- Rabbit Polyclonal OPA1 Antibody
- Host
- Rabbit
- Conjugate
- Unconjugated
- Epitope
- OPA1
- Antibody clone number
- NULL
- Vial size
- 100 µl
- Concentration
- 1.0mg/ml
No comments: Submit comment
Supportive validation
- Submitted by
- OriGene (provider)
- Main image

- Experimental details
- Western Blot: OPA1 Antibody - Detection of Opa-1 protein in post-nuclear extracts of mouse embryonic fibroblasts.
- Validation comment
- WB
Supportive validation
- Submitted by
- OriGene (provider)
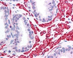
- Main image

- Experimental details
- Immunohistochemistry: OPA1 Antibody - Staining in prostatic smooth muscle and glandular epithelium. Human Prostate 40X magnification.
- Validation comment
- IHC