Antibody data
- Antibody Data
- Antigen structure
- References [0]
- Comments [0]
- Validations
- Immunohistochemistry [1]
Submit
Validation data
Reference
Comment
Report error
- Product number
- AM05618PU-L - Provider product page

- Provider
- OriGene
- Product name
- B7H4 (VTCN1) mouse monoclonal antibody, clone MIH43, Purified
- Antibody type
- Monoclonal
- Description
- B7H4 (VTCN1) mouse monoclonal antibody, clone MIH43, Purified
- Host
- Mouse
- Conjugate
- Unconjugated
- Epitope
- VTCN1
- Isotype
- IgG
- Antibody clone number
- MIH43
- Vial size
- 200 µg
- Concentration
- 1.0 mg/ml
No comments: Submit comment
Supportive validation
- Submitted by
- OriGene (provider)
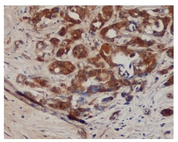
- Main image

- Experimental details
- B7H4 antibody staining of Paraffin Embedded Human Breast carcinoma.
- Validation comment
- IHC