Antibody data
- Antibody Data
- Antigen structure
- References [0]
- Comments [0]
- Validations
- Immunocytochemistry [2]
Submit
Validation data
Reference
Comment
Report error
- Product number
- BPD-ABS-029-01-02 - Provider product page

- Provider
- Enzo Life Sciences
- Proper citation
- Enzo Life Sciences Cat#BPD-ABS-029-01-02, RRID:AB_11181477
- Product name
- Peptide YY (human) monoclonal antibody (1)
- Antibody type
- Monoclonal
- Antigen
- Synthetic peptide
- Description
- Protein A/G-affinity purified.
- Reactivity
- Human
- Host
- Mouse
- Isotype
- IgG
- Antibody clone number
- 1
- Vial size
- 200 μg
- Storage
- 0
No comments: Submit comment
Supportive validation
- Submitted by
- Enzo Life Sciences (provider)
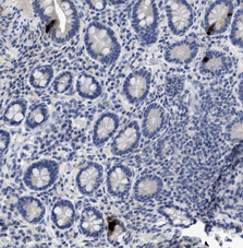
- Main image

- Experimental details
- Immunohistochemical analysis of small intestine tissue stained with Peptide YY (human), mAb.
- Submitted by
- Enzo Life Sciences (provider)
- Main image

- Experimental details
- Immunohistochemical analysis of small intestine tissue stained with Peptide YY (human), mAb.