Antibody data
- Antibody Data
- Antigen structure
- References [0]
- Comments [0]
- Validations
- Western blot [2]
- Immunocytochemistry [1]
- Immunohistochemistry [1]
Submit
Validation data
Reference
Comment
Report error
- Product number
- NBP1-87298 - Provider product page

- Provider
- Novus Biologicals
- Proper citation
- Novus Cat#NBP1-87298, RRID:AB_11014799
- Product name
- Rabbit Polyclonal Pejvakin Antibody
- Antibody type
- Polyclonal
- Description
- Immunogen affinity purified. Specificity of antibody verified on a Protein Array containing target protein plus 383 other non-specific proteins.
- Reactivity
- Human
- Host
- Rabbit
- Isotype
- IgG
- Vial size
- 0.1 ml
- Storage
- Store at 4C short term. Aliquot and store at -20C long term. Avoid freeze-thaw cycles.
No comments: Submit comment
Supportive validation
- Submitted by
- Novus Biologicals (provider)
- Main image

- Experimental details
- Western Blot: Pejvakin Antibody [NBP1-87298] - Lane 1: Marker [kDa] 250, 130, 95, 72, 55, 36, 28, 17, 10 Lane 2: Negative control (vector only transfected HEK293T lysate) Lane 3: Over-expression lysate (Co-expressed with a C-terminal myc-DDK tag (~3.1 kDa) in mammalian HEK293T cells, LY421031)
- Submitted by
- Novus Biologicals (provider)
- Main image

- Experimental details
- Western Blot: Pejvakin Antibody [NBP1-87298] - Analysis in control (vector only transfected HEK293T lysate) and DFNB59 over-expression lysate (Co-expressed with a C-terminal myc-DDK tag (~3.1 kDa) in mammalian HEK293T cells, LY421031).
Supportive validation
- Submitted by
- Novus Biologicals (provider)
- Main image

- Experimental details
- Immunocytochemistry/Immunofluorescence: Pejvakin Antibody [NBP1-87298] - Staining of human cell line U-2 OS shows positivity in mitochondria. Antibody staining is shown in green.
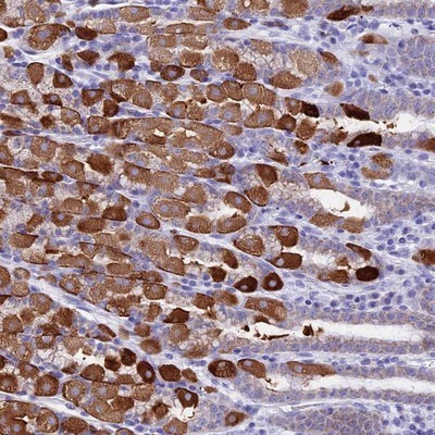
Supportive validation
- Submitted by
- Novus Biologicals (provider)
- Main image

- Experimental details
- Immunohistochemistry-Paraffin: Pejvakin Antibody [NBP1-87298] - Staining of human stomach, lower shows strong cytoplasmic positivity in glandular cells.