Antibody data
- Antibody Data
- Antigen structure
- References [0]
- Comments [0]
- Validations
- Western blot [1]
- Immunohistochemistry [4]
Submit
Validation data
Reference
Comment
Report error
- Product number
- LS-C762079 - Provider product page

- Provider
- LSBio
- Product name
- PCYT1A / CCT Alpha Antibody (aa317-367) LS-C762079
- Antibody type
- Polyclonal
- Description
- Affinity purified
- Reactivity
- Human, Mouse
- Host
- Rabbit
- Isotype
- IgG
- Storage
- Store at 2°C to 8°C for up to 1 year.
No comments: Submit comment
Enhanced validation
- Submitted by
- LSBio (provider)
- Enhanced method
- Genetic validation
- Main image

- Experimental details
- Detection of human and mouse PCYT1A by western blot. Samples: Whole cell lysate (50 µg) from HeLa, HEK293T, Jurkat, mouse TCMK-1, and mouse NIH 3T3 cells prepared using NETN lysis buffer. Antibodies: Affinity purified rabbit anti-PCYT1A antibody used for WB at 0.1 µg/ml. Detection: Chemiluminescence with an exposure time of 3 minutes.
Supportive validation
- Submitted by
- LSBio (provider)
- Enhanced method
- Genetic validation
- Main image

- Experimental details
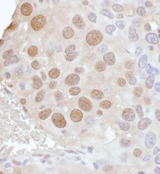
- Detection of human PCYT1A by immunohistochemistry. Sample: FFPE section of human ovarian carcinoma. Antibody: Affinity purified rabbit anti- PCYT1A used at a dilution of 1:1,000 (1µg/ml). Detection: DAB
- Submitted by
- LSBio (provider)
- Enhanced method
- Genetic validation
- Main image

- Experimental details
- Detection of mouse PCYT1A by immunohistochemistry. Sample: FFPE section of mouse renal cell carcinoma. Antibody: Affinity purified rabbit anti- PCYT1A used at a dilution of 1:1,000 (1µg/ml). Detection: DAB
- Submitted by
- LSBio (provider)
- Main image

- Experimental details
- Detection of mouse PCYT1A by immunohistochemistry. Sample: FFPE section of mouse renal cell carcinoma. Antibody: Affinity purified rabbit anti- PCYT1A used at a dilution of 1:1,000 (1µg/ml). Detection: DAB
- Submitted by
- LSBio (provider)
- Main image

- Experimental details
- Detection of human PCYT1A by immunohistochemistry. Sample: FFPE section of human ovarian carcinoma. Antibody: Affinity purified rabbit anti- PCYT1A used at a dilution of 1:1,000 (1µg/ml). Detection: DAB