PA5-23822
antibody from Invitrogen Antibodies
Targeting: NRROS
ELLP3030, GARPL1, LRRC33, MGC50789, UNQ3030
Antibody data
- Antibody Data
- Antigen structure
- References [0]
- Comments [0]
- Validations
- Immunohistochemistry [1]
Submit
Validation data
Reference
Comment
Report error
- Product number
- PA5-23822 - Provider product page

- Provider
- Invitrogen Antibodies
- Product name
- LRRC33 Polyclonal Antibody
- Antibody type
- Polyclonal
- Antigen
- Synthetic peptide
- Reactivity
- Human
- Host
- Rabbit
- Isotype
- IgG
- Vial size
- 400 μL
- Concentration
- 0.5 mg/mL
- Storage
- Store at 4°C short term. For long term storage, store at -20°C, avoiding freeze/thaw cycles.
No comments: Submit comment
Supportive validation
- Submitted by
- Invitrogen Antibodies (provider)
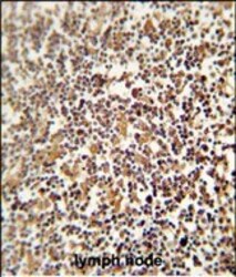
- Main image

- Experimental details
- Immunohistochemistry analysis of LRRC33 in formalin fixed and paraffin embedded human lymph node. Samples were incubated with LRRC33 polyclonal antibody (Product # PA5-23822) followed by peroxidase conjugation of the secondary antibody and DAB staining. This data demonstrates the use of this antibody for immunohistochemistry. Clinical relevance has not been evaluated.