STJ118067
antibody from St John's Laboratory
		Targeting: H2BC21
		
		H2B, H2B.1, H2B/q, H2BE, H2BFQ, HIST2H2BE	
	
	
	
	
Antibody data
- Antibody Data
- Antigen structure
- References [0]
- Comments [0]
- Validations
- Western blot [1]
- Immunohistochemistry [6]
- Chromatin Immunoprecipitation [1]
Submit
Validation data
Reference
Comment
Report error
- Product number
- STJ118067 - Provider product page 
- Provider
- St John's Laboratory
- Product name
- Anti-Acetyl-Histone H2B-K12 antibody (STJ118067)
- Antibody type
- Polyclonal
- Description
- Rabbit polyclonal antibody anti-Acetyl-Histone H2B-K12 is suitable for use in Western Blot, Immunohistochemistry and Immunofluorescence.
- Reactivity
- Human, Mouse, Rat
- Host
- Rabbit
- Conjugate
- Unconjugated
- Antigen sequence
- NA
- Epitope
- NA
- Isotype
- IgG
- Antibody clone number
- NA
- Vial size
- NA
- Concentration
- NA
- Storage
- Store in a freezer at-20°C and avoid freeze-thaw cycles.
- Handling
- NA
				No comments: Submit comment	
	
			
							
					Supportive validation
					
									
				
		
				- Submitted by
- St John's Laboratory (provider)
- Main image
 
- Experimental details
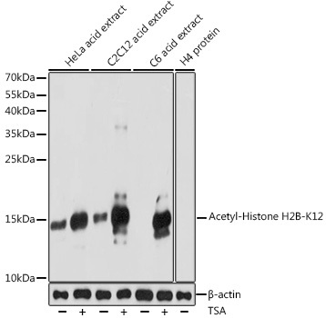
- Western blot analysis of extracts of various cell lines, using Acetyl-Histone H2B-K12 antibody (STJ118067) at 1:1000 dilution. HeLa cells and C2C12 cells and C6 cells were treated by TSA (1 uM) at 37 °C for 18 hours. Secondary antibody: HRP Goat Anti-rabbit IgG (H+L) at 1:10000 dilution. Lysates/proteins: 25ug per lane. Blocking buffer: 3% nonfat dry milk in TBST. Detection: ECL Basic Kit. Exposure time: 90s.
- Sample type
- NA
- Validation comment
- NA
- Primary Ab dilution
- NA
- Other comments
- NA
- Secondary Ab
- NA
- Secondary Ab dilution
- NA
- Protocol
- NA
							
					Supportive validation
					
									
				
Supportive validation
Supportive validation
Supportive validation
Supportive validation
Supportive validation
		
				- Submitted by
- St John's Laboratory (provider)
- Main image
 
- Experimental details
- Immunofluorescence analysis of C6 cells using Acetyl-Histone H2B-K12 antibody (STJ118067) at dilution of 1:100. C6 cells were treated by TSA (1 uM) at 37 °C for 18 hours (top left). Blue: DAPI for nuclear staining.
- Sample type
- NA
- Validation comment
- NA
- Primary Ab dilution
- NA
- Other comments
- NA
- Secondary Ab
- NA
- Secondary Ab dilution
- NA
- Protocol
- NA
Supportive validation
- Submitted by
- St John's Laboratory (provider)
- Main image
 
- Experimental details
- Immunofluorescence analysis of HeLa cells using Acetyl-Histone H2B-K12 antibody (STJ118067) at dilution of 1:100. HeLa cells were treated by TSA (1 uM) at 37 °C for 18 hours (top left). Blue: DAPI for nuclear staining.
- Sample type
- NA
- Validation comment
- NA
- Primary Ab dilution
- NA
- Other comments
- NA
- Secondary Ab
- NA
- Secondary Ab dilution
- NA
- Protocol
- NA
Supportive validation
- Submitted by
- St John's Laboratory (provider)
- Main image
 
- Experimental details
- Immunofluorescence analysis of NIH/3T3 cells using Acetyl-Histone H2B-K12 antibody (STJ118067) at dilution of 1:100. NIH/3T3 cells were treated by TSA (1 uM) at 37 °C for 18 hours (top left). Blue: DAPI for nuclear staining.
- Sample type
- NA
- Validation comment
- NA
- Primary Ab dilution
- NA
- Other comments
- NA
- Secondary Ab
- NA
- Secondary Ab dilution
- NA
- Protocol
- NA
Supportive validation
- Submitted by
- St John's Laboratory (provider)
- Main image
 
- Experimental details
- Immunohistochemistry of paraffin-embedded human colon using Acetyl-Histone H2B-K12 antibody (STJ118067) at dilution of 1:200 (40x lens).
- Sample type
- NA
- Validation comment
- NA
- Primary Ab dilution
- NA
- Other comments
- NA
- Secondary Ab
- NA
- Secondary Ab dilution
- NA
- Protocol
- NA
Supportive validation
- Submitted by
- St John's Laboratory (provider)
- Main image
 
- Experimental details
- Immunohistochemistry of paraffin-embedded rat ovary using Acetyl-Histone H2B-K12 antibody (STJ118067) at dilution of 1:200 (40x lens).
- Sample type
- NA
- Validation comment
- NA
- Primary Ab dilution
- NA
- Other comments
- NA
- Secondary Ab
- NA
- Secondary Ab dilution
- NA
- Protocol
- NA
Supportive validation
- Submitted by
- St John's Laboratory (provider)
- Main image
 
- Experimental details
- Immunohistochemistry of paraffin-embedded mouse testis using Acetyl-Histone H2B-K12 antibody (STJ118067) at dilution of 1:200 (40x lens).
- Sample type
- NA
- Validation comment
- NA
- Primary Ab dilution
- NA
- Other comments
- NA
- Secondary Ab
- NA
- Secondary Ab dilution
- NA
- Protocol
- NA
							
					Supportive validation
					
									
				
		
		- Submitted by
- St John's Laboratory (provider)
- Main image
 
- Experimental details
- Chromatin immunoprecipitation analysis of extracts of HeLa cells, using Acetyl-Histone H2B-K12 antibody (STJ118067) and rabbit IgG. The amount of immunoprecipitated DNA was checked by quantitative PCR. Histogram was constructed by the ratios of the immunoprecipitated DNA to the input.
- Sample type
- NA
- Validation comment
- NA
- Primary Ab dilution
- NA
- Other comments
- NA
- Secondary Ab
- NA
- Secondary Ab dilution
- NA
- Protocol
- NA