Antibody data
- Antibody Data
- Antigen structure
- References [3]
- Comments [0]
- Validations
- Western blot [1]
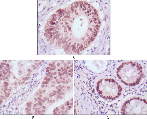
- Immunohistochemistry [1]
Submit
Validation data
Reference
Comment
Report error
- Product number
- ABIN2869430 - Provider product page

- Provider
- antibodies-online
- Product name
- anti-GATA Binding Protein 4 (GATA4) antibody
- Antibody type
- Monoclonal
- Description
- Ascitic fluid
- Reactivity
- Human, Rat
- Host
- Mouse
- Isotype
- IgG
- Antibody clone number
- 6H10
- Vial size
- 100 μL
- Storage
- Maintain refrigerated at 2-8°C for up to 6 months. For long term storage store at -20°C in small aliquots to prevent freeze-thaw cycles.
Submitted references Spectrum of heart disease associated with murine and human GATA4 mutation.
Cardiac tissue enriched factors serum response factor and GATA-4 are mutual coregulators.
The cardiac transcription factors Nkx2-5 and GATA-4 are mutual cofactors.
Rajagopal SK, Ma Q, Obler D, Shen J, Manichaikul A, Tomita-Mitchell A, Boardman K, Briggs C, Garg V, Srivastava D, Goldmuntz E, Broman KW, Benson DW, Smoot LB, Pu WT
Journal of molecular and cellular cardiology 2007 Dec;43(6):677-85
Journal of molecular and cellular cardiology 2007 Dec;43(6):677-85
Cardiac tissue enriched factors serum response factor and GATA-4 are mutual coregulators.
Belaguli NS, Sepulveda JL, Nigam V, Charron F, Nemer M, Schwartz RJ
Molecular and cellular biology 2000 Oct;20(20):7550-8
Molecular and cellular biology 2000 Oct;20(20):7550-8
The cardiac transcription factors Nkx2-5 and GATA-4 are mutual cofactors.
Durocher D, Charron F, Warren R, Schwartz RJ, Nemer M
The EMBO journal 1997 Sep 15;16(18):5687-96
The EMBO journal 1997 Sep 15;16(18):5687-96
No comments: Submit comment
Supportive validation
- Submitted by
- antibodies-online (provider)
- Main image

- Experimental details
- WB
Supportive validation
- Submitted by
- antibodies-online (provider)
- Main image

- Experimental details
- IHC