Antibody data
- Antibody Data
- Antigen structure
- References [0]
- Comments [0]
- Validations
- Immunocytochemistry [2]
- Immunohistochemistry [4]
Submit
Validation data
Reference
Comment
Report error
- Product number
- PA5-55755 - Provider product page

- Provider
- Invitrogen Antibodies
- Product name
- LYSMD1 Polyclonal Antibody
- Antibody type
- Polyclonal
- Antigen
- Recombinant protein fragment
- Description
- Immunogen sequence: PTPIHDLSAS DFLKKLDSQI SLSKKAAAQK LKKGENGVPG EDAGLHLSSP WMQQRAVLGP VPLTRTSRTR TLRDQEDEIF KL Highest antigen sequence identity to the following orthologs: Mouse - 88%, Rat - 88%.
- Reactivity
- Human
- Host
- Rabbit
- Isotype
- IgG
- Vial size
- 100 μL
- Concentration
- 0.05 mg/mL
- Storage
- Store at 4°C short term. For long term storage, store at -20°C, avoiding freeze/thaw cycles.
No comments: Submit comment
Supportive validation
- Submitted by
- Invitrogen Antibodies (provider)
- Main image

- Experimental details
- Immunofluorescent staining of LYSMD1 in human cell line A-431 shows positivity in nucleus but excluded from the nucleoli. Samples were probed using a LYSMD1 Polyclonal Antibody (Product # PA5-55755).
- Submitted by
- Invitrogen Antibodies (provider)
- Main image

- Experimental details
- Immunofluorecent analysis of LYSMD1 in human cell line A-431 using LYSMD1 Polyclonal Antibody (Product # PA5-55755). Staining shows localization to nucleoplasm.
Supportive validation
- Submitted by
- Invitrogen Antibodies (provider)
- Main image

- Experimental details
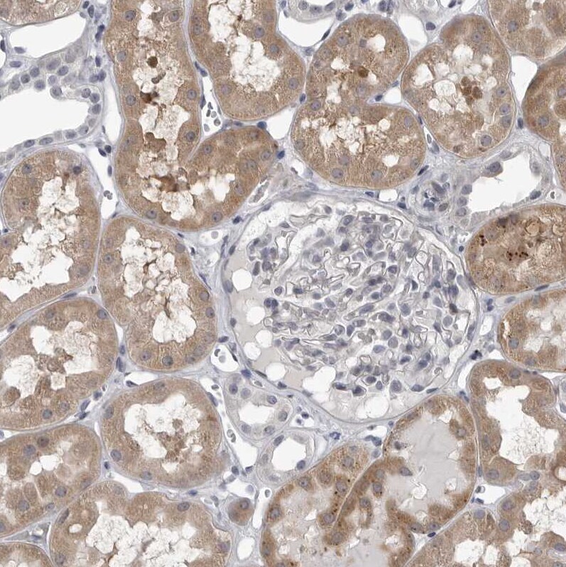
- Immunohistochemical analysis of LYSMD1 in human kidney using LYSMD1 Polyclonal Antibody (Product # PA5-55755) shows moderate cytoplasmic positivity in cells in tubules.
- Submitted by
- Invitrogen Antibodies (provider)
- Main image

- Experimental details
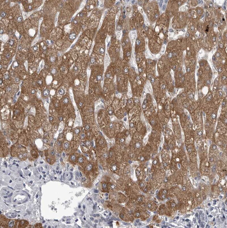
- Immunohistochemical analysis of LYSMD1 in human liver using LYSMD1 Polyclonal Antibody (Product # PA5-55755) shows moderate cytoplasmic positivity in hepatocytes.
- Submitted by
- Invitrogen Antibodies (provider)
- Main image

- Experimental details
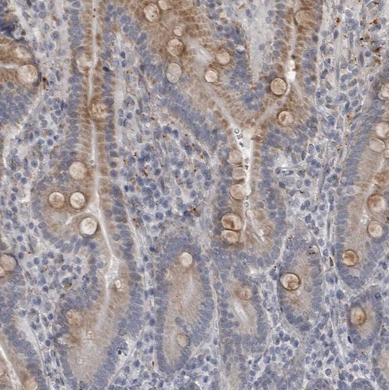
- Immunohistochemical analysis of LYSMD1 in human upper dodenum using LYSMD1 Polyclonal Antibody (Product # PA5-55755) shows weak cytoplasmic positivity in glandular cells.
- Submitted by
- Invitrogen Antibodies (provider)
- Main image

- Experimental details
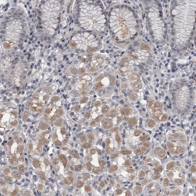
- Immunohistochemical analysis of LYSMD1 in human stomach using LYSMD1 Polyclonal Antibody (Product # PA5-55755) shows weak cytoplasmic positivity in glandular cells.