Antibody data
- Antibody Data
- Antigen structure
- References [1]
- Comments [0]
- Validations
- Western blot [2]
- Immunohistochemistry [3]
Submit
Validation data
Reference
Comment
Report error
- Product number
- NBP1-89602 - Provider product page

- Provider
- Novus Biologicals
- Proper citation
- Novus Cat#NBP1-89602, RRID:AB_11028347
- Product name
- Rabbit Polyclonal Cingulin Antibody
- Antibody type
- Polyclonal
- Description
- Immunogen affinity purified. Specificity of human Cingulin antibody verified on a Protein Array containing target protein plus 383 other non-specific proteins.
- Reactivity
- Human
- Host
- Rabbit
- Isotype
- IgG
- Vial size
- 0.1 ml
- Storage
- Store at 4C short term. Aliquot and store at -20C long term. Avoid freeze-thaw cycles.
Submitted references VE-PTP stabilizes VE-cadherin junctions and the endothelial barrier via a phosphatase-independent mechanism.
Juettner VV, Kruse K, Dan A, Vu VH, Khan Y, Le J, Leckband D, Komarova Y, Malik AB
The Journal of cell biology 2019 May 6;218(5):1725-1742
The Journal of cell biology 2019 May 6;218(5):1725-1742
No comments: Submit comment
Supportive validation
- Submitted by
- Novus Biologicals (provider)
- Main image

- Experimental details
- Western Blot: Cingulin Antibody [NBP1-89602] - Western blot analysis in human cell lines Caco-2 and HeLa. Corresponding RNA-seq data are presented for the same cell lines. Loading control: Anti-GAPDH.
- Submitted by
- Novus Biologicals (provider)
- Main image

- Experimental details
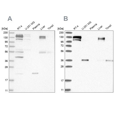
- Western Blot: Cingulin Antibody [NBP1-89602] - Analysis using Anti-CGN antibody NBP1-89602 (A) shows similar pattern to independent antibody NBP1-89600 (B).
Supportive validation
- Submitted by
- Novus Biologicals (provider)
- Main image

- Experimental details
- Immunohistochemistry-Paraffin: Cingulin Antibody [NBP1-89602] - Staining of human lymph node shows low expression as expected.
- Submitted by
- Novus Biologicals (provider)
- Main image

- Experimental details
- Immunohistochemistry-Paraffin: Cingulin Antibody [NBP1-89602] - Staining of human small intestine shows high expression.
- Submitted by
- Novus Biologicals (provider)
- Main image

- Experimental details
- Immunohistochemistry-Paraffin: Cingulin Antibody [NBP1-89602] - Staining in human small intestine and lymph node tissues using anti-CGN antibody. Corresponding CGN RNA-seq data are presented for the same tissues.