Antibody data
- Antibody Data
- Antigen structure
- References [0]
- Comments [0]
- Validations
- Western blot [1]
- Immunohistochemistry [1]
Submit
Validation data
Reference
Comment
Report error
- Product number
- AP52491PU-N - Provider product page

- Provider
- OriGene
- Product name
- LINGO4 (C-term) rabbit polyclonal antibody, Aff - Purified
- Antibody type
- Polyclonal
- Description
- LINGO4 (C-term) rabbit polyclonal antibody, Aff - Purified
- Host
- Rabbit
- Conjugate
- Unconjugated
- Epitope
- LINGO4
- Antibody clone number
- NULL
- Vial size
- 400 µl
- Concentration
- lot specific
No comments: Submit comment
Supportive validation
- Submitted by
- OriGene (provider)
- Main image

- Experimental details
- Western blot analysis of LINGO4 Antibody (C-term) ?in mouse heart tissue lysates (35ug/lane). This demonstrates the LINGO4 antibody detected the LINGO4 protein (arrow).
- Validation comment
- WB
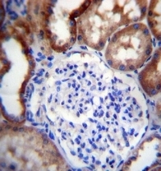
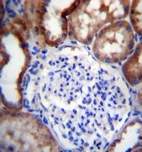
Supportive validation
- Submitted by
- OriGene (provider)
- Main image

- Experimental details
- Immunohistochemistry analysis in formalin fixed and paraffin embedded human kidney tissue reacted with LINGO4 Antibody (C-term) ??followed by peroxidase conjugation of the secondary antibody and DAB staining.
- Validation comment
- IHC