Antibody data
- Antibody Data
- Antigen structure
- References [0]
- Comments [0]
- Validations
- Immunocytochemistry [2]
- Immunohistochemistry [7]
Submit
Validation data
Reference
Comment
Report error
- Product number
- PA5-60032 - Provider product page

- Provider
- Invitrogen Antibodies
- Product name
- TCHHL1 Polyclonal Antibody
- Antibody type
- Polyclonal
- Antigen
- Recombinant protein fragment
- Description
- Immunogen sequence: KHSNIQEPPL QREDEPSSQH ADLPEQAAAR SPSQTQKSTD SKDVCRMFDT QEPGKDADQT PAKTKNLGEP EDYGRTSETQ EKECETKDLP VQYGSRN Highest antigen sequence identity to the following orthologs: Mouse - 39%, Rat - 38%.
- Reactivity
- Human
- Host
- Rabbit
- Isotype
- IgG
- Vial size
- 100 μL
- Concentration
- 0.2 mg/mL
- Storage
- Store at 4°C short term. For long term storage, store at -20°C, avoiding freeze/thaw cycles.
No comments: Submit comment
Supportive validation
- Submitted by
- Invitrogen Antibodies (provider)
- Main image

- Experimental details
- Immunofluorescent staining of TCHHL1 in human cell line U-251 MG shows positivity in nucleoli & nuclear membrane. Samples were probed using a TCHHL1 Polyclonal Antibody (Product # PA5-60032).
- Submitted by
- Invitrogen Antibodies (provider)
- Main image

- Experimental details
- Immunofluorecent analysis of TCHHL1 in human cell line U-251 MG using TCHHL1 Polyclonal Antibody (Product # PA5-60032). Staining shows localization to nucleoli and nuclear membrane.
Supportive validation
- Submitted by
- Invitrogen Antibodies (provider)
- Main image

- Experimental details
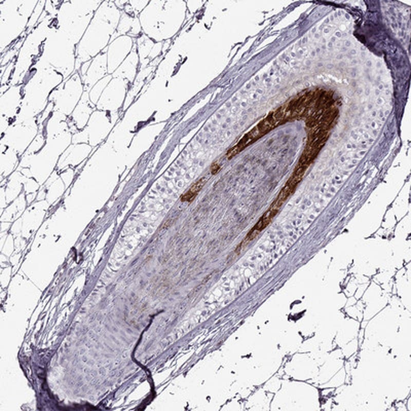
- Immunohistochemical staining of TCHHL1 in human skin, hairy using TCHHL1 Polyclonal Antibody (Product # PA5-60032).
- Submitted by
- Invitrogen Antibodies (provider)
- Main image

- Experimental details
- Immunohistochemical staining of TCHHL1 in human cerebral cortex using TCHHL1 Polyclonal Antibody (Product # PA5-60032).
- Submitted by
- Invitrogen Antibodies (provider)
- Main image

- Experimental details
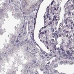
- Immunohistochemical staining of TCHHL1 in human kidney using TCHHL1 Polyclonal Antibody (Product # PA5-60032).
- Submitted by
- Invitrogen Antibodies (provider)
- Main image

- Experimental details
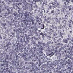
- Immunohistochemical staining of TCHHL1 in human lymph node using TCHHL1 Polyclonal Antibody (Product # PA5-60032).
- Submitted by
- Invitrogen Antibodies (provider)
- Main image

- Experimental details
- Immunohistochemical staining of TCHHL1 in human skin, hairy using TCHHL1 Polyclonal Antibody (Product # PA5-60032).
- Submitted by
- Invitrogen Antibodies (provider)
- Main image

- Experimental details
- Immunohistochemical staining of TCHHL1 in human cerebral cortex using TCHHL1 Polyclonal Antibody (Product # PA5-60032).
- Submitted by
- Invitrogen Antibodies (provider)
- Main image

- Experimental details
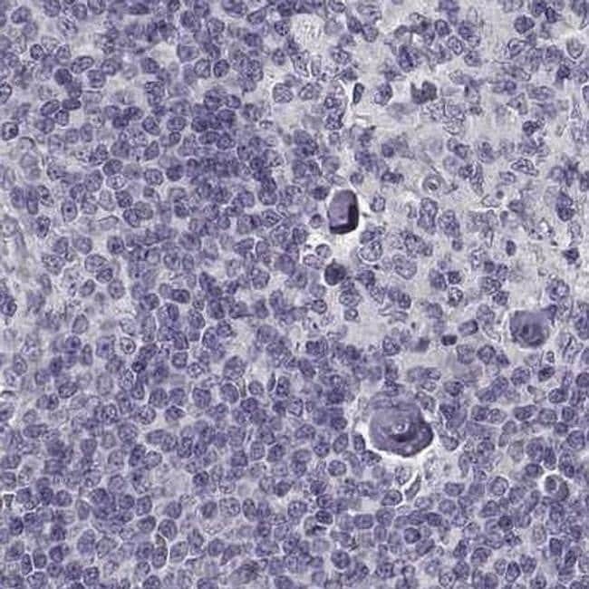
- Immunohistochemical staining of TCHHL1 in human lymph node using TCHHL1 Polyclonal Antibody (Product # PA5-60032).