Antibody data
- Antibody Data
- Antigen structure
- References [0]
- Comments [0]
- Validations
- Immunohistochemistry [8]
Submit
Validation data
Reference
Comment
Report error
- Product number
- NBP1-93792 - Provider product page

- Provider
- Novus Biologicals
- Proper citation
- Novus Cat#NBP1-93792, RRID:AB_11018376
- Product name
- Rabbit Polyclonal RPTN Antibody
- Antibody type
- Polyclonal
- Description
- Immunogen affinity purified. Specificity of human RPTN antibody verified on a Protein Array containing target protein plus 383 other non-specific proteins.
- Reactivity
- Human
- Host
- Rabbit
- Isotype
- IgG
- Vial size
- 0.1 ml
- Storage
- Store at 4C short term. Aliquot and store at -20C long term. Avoid freeze-thaw cycles.
No comments: Submit comment
Supportive validation
- Submitted by
- Novus Biologicals (provider)
- Main image

- Experimental details
- Immunohistochemistry-Paraffin: RPTN Antibody [NBP1-93792] - Staining of human cerebral cortex shows low expression as expected.
- Submitted by
- Novus Biologicals (provider)
- Main image

- Experimental details
- Immunohistochemistry-Paraffin: RPTN Antibody [NBP1-93792] - Staining of human tonsil shows high expression.
- Submitted by
- Novus Biologicals (provider)
- Main image

- Experimental details
- Immunohistochemistry-Paraffin: RPTN Antibody [NBP1-93792] - Staining of hair shows moderate cytoplasmic positivity in internal root sheath.
- Submitted by
- Novus Biologicals (provider)
- Main image

- Experimental details
- Immunohistochemistry-Paraffin: RPTN Antibody [NBP1-93792] - Staining in human tonsil and cerebral cortex tissues using anti-RPTN antibody. Corresponding RPTN RNA-seq data are presented for the same tissues.
- Submitted by
- Novus Biologicals (provider)
- Main image

- Experimental details
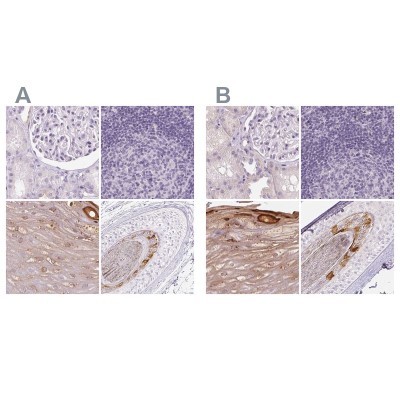
- Immunohistochemistry-Paraffin: RPTN Antibody [NBP1-93792] - Staining of human kidney, lymph node, skin and skin, hairy using Anti-RPTN antibody NBP1-93792 (A) shows similar protein distribution across tissues to independent antibody NBP2-38159 (B).
- Submitted by
- Novus Biologicals (provider)
- Main image

- Experimental details
- Immunohistochemistry-Paraffin: RPTN Antibody [NBP1-93792] - Staining of human lymph node.
- Submitted by
- Novus Biologicals (provider)
- Main image

- Experimental details
- Immunohistochemistry-Paraffin: RPTN Antibody [NBP1-93792] - Staining of human skin.
- Submitted by
- Novus Biologicals (provider)
- Main image

- Experimental details
- Immunohistochemistry-Paraffin: RPTN Antibody [NBP1-93792] - Staining of human kidney.