Antibody data
- Antibody Data
- Antigen structure
- References [5]
- Comments [0]
- Validations
- Western blot [1]
- Immunocytochemistry [1]
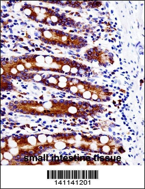
- Immunohistochemistry [2]
- Flow cytometry [1]
Submit
Validation data
Reference
Comment
Report error
- Product number
- ABIN1881833 - Provider product page

- Provider
- antibodies-online
- Product name
- anti-V-Src Sarcoma (Schmidt-Ruppin A-2) Viral Oncogene Homolog (Avian) (SRC) (N-Term), (AA 24-52) antibody
- Antibody type
- Polyclonal
- Antigen
- This SRC antibody is generated from rabbits immunized with a KLH conjugated synthetic peptide between 24-52 amino acids from the N-terminal region of human SRC.
- Description
- This antibody is purified through a protein A column, followed by peptide affinity purification. Peptide Affinity Purified Rabbit Polyclonal Antibody (Pab)
- Reactivity
- Human
- Host
- Rabbit
- Epitope
- N-Term,AA 24-52
- Antibody clone number
- RB41141
- Vial size
- 400 μL
- Concentration
- 0.5 mg/mL
Submitted references Cross-talk between serine/threonine protein phosphatase 2A and protein tyrosine phosphatase 1B regulates Src activation and adhesion of integrin αIIbβ3 to fibrinogen.
Early B cell factor 2 regulates hematopoietic stem cell homeostasis in a cell-nonautonomous manner.
Expression of a Src family kinase in chronic myelogenous leukemia cells induces resistance to imatinib in a kinase-dependent manner.
Human phosphatidylethanolamine-binding protein 4 promotes transactivation of estrogen receptor alpha (ERalpha) in human cancer cells by inhibiting proteasome-dependent ERalpha degradation via association with Src.
Microexon-based regulation of ITSN1 and Src SH3 domains specificity relies on introduction of charged amino acids into the interaction interface.
Pradhan S, Alrehani N, Patel V, Khatlani T, Vijayan KV
The Journal of biological chemistry 2010 Sep 17;285(38):29059-68
The Journal of biological chemistry 2010 Sep 17;285(38):29059-68
Early B cell factor 2 regulates hematopoietic stem cell homeostasis in a cell-nonautonomous manner.
Kieslinger M, Hiechinger S, Dobreva G, Consalez GG, Grosschedl R
Cell stem cell 2010 Oct 8;7(4):496-507
Cell stem cell 2010 Oct 8;7(4):496-507
Expression of a Src family kinase in chronic myelogenous leukemia cells induces resistance to imatinib in a kinase-dependent manner.
Pene-Dumitrescu T, Smithgall TE
The Journal of biological chemistry 2010 Jul 9;285(28):21446-57
The Journal of biological chemistry 2010 Jul 9;285(28):21446-57
Human phosphatidylethanolamine-binding protein 4 promotes transactivation of estrogen receptor alpha (ERalpha) in human cancer cells by inhibiting proteasome-dependent ERalpha degradation via association with Src.
Liu H, Qiu J, Li N, Chen T, Cao X
The Journal of biological chemistry 2010 Jul 16;285(29):21934-42
The Journal of biological chemistry 2010 Jul 16;285(29):21934-42
Microexon-based regulation of ITSN1 and Src SH3 domains specificity relies on introduction of charged amino acids into the interaction interface.
Dergai M, Tsyba L, Dergai O, Zlatskii I, Skrypkina I, Kovalenko V, Rynditch A
Biochemical and biophysical research communications 2010 Aug 20;399(2):307-12
Biochemical and biophysical research communications 2010 Aug 20;399(2):307-12
No comments: Submit comment
Supportive validation
- Submitted by
- antibodies-online (provider)
- Main image

- Experimental details
- SRC Antibody (N-term) (ABIN1881833) western blot analysis in MCF-7,A431 cell line lysates (35 μg/lane). This demonstrates the SRC antibody detected the SRC protein (arrow).
Supportive validation
- Submitted by
- antibodies-online (provider)
- Main image

- Experimental details
- SRC Antibody (N-term) (ABIN1881833) western blot analysis in MCF-7,A431 cell line lysates (35 μg/lane). This demonstrates the SRC antibody detected the SRC protein (arrow).
Supportive validation
- Submitted by
- antibodies-online (provider)
- Main image

- Experimental details
- SRC Antibody (N-term) (ABIN1881833) western blot analysis in MCF-7,A431 cell line lysates (35 μg/lane). This demonstrates the SRC antibody detected the SRC protein (arrow).
- Submitted by
- antibodies-online (provider)
- Main image

- Experimental details
- SRC Antibody (N-term) (ABIN1881833) western blot analysis in MCF-7,A431 cell line lysates (35 μg/lane). This demonstrates the SRC antibody detected the SRC protein (arrow).
Supportive validation
- Submitted by
- antibodies-online (provider)
- Main image

- Experimental details
- SRC Antibody (N-term) (ABIN1881833) western blot analysis in MCF-7,A431 cell line lysates (35 μg/lane). This demonstrates the SRC antibody detected the SRC protein (arrow).