Antibody data
- Antibody Data
- Antigen structure
- References [0]
- Comments [0]
- Validations
- Western blot [2]
- ELISA [1]
- Immunohistochemistry [2]
- Flow cytometry [1]
Submit
Validation data
Reference
Comment
Report error
- Product number
- AM06700SU-N - Provider product page

- Provider
- OriGene
- Product name
- SRC mouse monoclonal antibody, clone 1F11, Ascites
- Antibody type
- Monoclonal
- Description
- SRC mouse monoclonal antibody, clone 1F11, Ascites
- Host
- Mouse
- Conjugate
- Unconjugated
- Epitope
- SRC
- Isotype
- IgG
- Antibody clone number
- 1F11
- Vial size
- 100 µl
No comments: Submit comment
Supportive validation
- Submitted by
- OriGene (provider)
- Main image

- Experimental details
- Western blot analysis using SRC mAb against Human SRC (AA: 1-189) recombinant protein. (Expected MW is 47.8 kDa)
- Validation comment
- WB
- Submitted by
- OriGene (provider)
- Main image

- Experimental details
- Western blot analysis using SRC Mouse mAb against MCF-7 (1), A431 (2), Hela (3), HEK293 (4), NIH/3T3 (5), PC-12 (6) and Cos7 (7) cell lysate.
- Validation comment
- WB
Supportive validation
- Submitted by
- OriGene (provider)
- Main image

- Experimental details
- Red: Control Antigen (100ng) Purple: Antigen (10ng) Green: Antigen (50ng) Blue: Antigen (100ng)
- Validation comment
- ELISA
Supportive validation
- Submitted by
- OriGene (provider)
- Main image

- Experimental details
- Immunohistochemical analysis of paraffin-embedded esophageal tissues using SRC Mouse mAb with DAB staining.
- Validation comment
- IHC
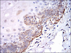
- Submitted by
- OriGene (provider)
- Main image

- Experimental details
- Immunohistochemical analysis of paraffin-embedded bladder cancer tissues using SRC Mouse mAb with DAB staining.
- Validation comment
- IHC
Supportive validation
- Submitted by
- OriGene (provider)
- Main image

- Experimental details
- Flow cytometric analysis of MCF-7 cells using SRC mouse mAb (green) and negative control (red).
- Validation comment
- FC