Antibody data
- Antibody Data
- Antigen structure
- References [2]
- Comments [0]
- Validations
- Western blot [1]
- Immunohistochemistry [1]
Submit
Validation data
Reference
Comment
Report error
- Product number
- NB100-58812 - Provider product page

- Provider
- Novus Biologicals
- Proper citation
- Novus Cat#NB100-58812, RRID:AB_877728
- Product name
- Rabbit Polyclonal Filamin A Antibody
- Antibody type
- Polyclonal
- Description
- Immunogen affinity purified.
- Reactivity
- Human
- Host
- Rabbit
- Isotype
- IgG
- Vial size
- 0.1 ml
- Concentration
- 0.2 mg/ml
- Storage
- Store at 4C. Do not freeze.
Submitted references DPP9 is a novel component of the N-end rule pathway targeting the tyrosine kinase Syk.
Nucleolar targeting of RelA(p65) is regulated by COMMD1-dependent ubiquitination.
Justa-Schuch D, Silva-Garcia M, Pilla E, Engelke M, Kilisch M, Lenz C, Möller U, Nakamura F, Urlaub H, Geiss-Friedlander R
eLife 2016 Sep 10;5
eLife 2016 Sep 10;5
Nucleolar targeting of RelA(p65) is regulated by COMMD1-dependent ubiquitination.
Thoms HC, Loveridge CJ, Simpson J, Clipson A, Reinhardt K, Dunlop MG, Stark LA
Cancer research 2010 Jan 1;70(1):139-49
Cancer research 2010 Jan 1;70(1):139-49
No comments: Submit comment
Supportive validation
- Submitted by
- Novus Biologicals (provider)
- Main image

- Experimental details
- Western Blot: Filamin A Antibody [NB100-58812] - Whole cell lysate (5, 15 and 50 ug for WB) from HeLa cells. Antibody used for WB at 0.04 ug/ml.
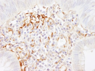
Supportive validation
- Submitted by
- Novus Biologicals (provider)
- Main image

- Experimental details
- Immunohistochemistry-Paraffin: Filamin A Antibody [NB100-58812] - Sample: FFPE section of human colon carcinoma. Antibody: Affinity purified rabbit anti-Filamin A used at a dilution of 1:1,000 (0.2ug/ml). Detection: DAB