NB100-56566
antibody from Novus Biologicals
Targeting: TLR4
ARMD10, CD284, hToll, TLR-4
Antibody data
- Antibody Data
- Antigen structure
- References [93]
- Comments [0]
- Validations
- Western blot [1]
- Immunohistochemistry [12]
- Flow cytometry [10]
Submit
Validation data
Reference
Comment
Report error
- Product number
- NB100-56566 - Provider product page

- Provider
- Novus Biologicals
- Proper citation
- Novus Cat#NB100-56566, RRID:AB_2205129
- Product name
- Mouse Monoclonal TLR4 Antibody
- Antibody type
- Monoclonal
- Description
- Protein G purified.
- Reactivity
- Human, Mouse, Rat, Bovine, Porcine
- Host
- Mouse
- Isotype
- IgG
- Vial size
- 0.1 mg
- Concentration
- 1.0 mg/ml
- Storage
- Store at 4C short term. Aliquot and store at -20C long term. Avoid freeze-thaw cycles.
Submitted references Cocaine self-administration differentially activates microglia in the mouse brain.
The effect of high mobility group box-1 protein on cerebral edema, blood-brain barrier, oxidative stress and apoptosis in an experimental traumatic brain injury model.
Expression profile of Toll-like receptor 4 in rat testis and epididymis throughout postnatal development.
Low Cellular NAD+ Compromises Lipopolysaccharide-Induced Inflammatory Responses via Inhibiting TLR4 Signal Transduction in Human Monocytes.
Extracellular nicotinate phosphoribosyltransferase binds Toll like receptor 4 and mediates inflammation.
Phenotypic analysis of monocytes and CD4+ T cells in hepatitis E patients with or without pregnancy.
Dexmedetomidine-mediated protection against septic liver injury depends on TLR4/MyD88/NF-κB signaling downregulation partly via cholinergic anti-inflammatory mechanisms.
FOXC1 up-regulates the expression of toll-like receptors in myocardial ischaemia.
PC1/3 KD Macrophages Exhibit Resistance to the Inhibitory Effect of IL-10 and a Higher TLR4 Activation Rate, Leading to an Anti-Tumoral Phenotype.
Improvement of Colonic Immune Function with Soy Isoflavones in High-Fat Diet-Induced Obese Rats.
Toll-Like Receptor 4 Activation Promotes Multiple Myeloma Cell Growth and Survival Via Suppression of The Endoplasmic Reticulum Stress Factor Chop.
Xuezhikang improves the outcomes of cardiopulmonary resuscitation in rats by suppressing the inflammation response through TLR4/NF-κB pathway.
Uric acid and angiotensin II additively promote inflammation and oxidative stress in human proximal tubule cells by activation of toll-like receptor 4.
CEACAM1 regulates the IL-6 mediated fever response to LPS through the RP105 receptor in murine monocytes.
Inhibiting High Mobility Group Box-1 Reduces Early Spinal Cord Edema and Attenuates Astrocyte Activation and Aquaporin-4 Expression after Spinal Cord Injury in Rats.
Role of Nociceptor Toll-like Receptor 4 (TLR4) in Opioid-Induced Hyperalgesia and Hyperalgesic Priming.
Constitutive and LPS-stimulated secretome of porcine Vascular Wall-Mesenchymal Stem Cells exerts effects on in vitro endothelial angiogenesis.
Moderate prenatal alcohol exposure suppresses the TLR4-mediated innate immune response in the hippocampus of young rats.
Neutrophil Elastase Subverts the Immune Response by Cleaving Toll-Like Receptors and Cytokines in Pneumococcal Pneumonia.
An Aqueous Extract of Herbal Medicine ALWPs Enhances Cognitive Performance and Inhibits LPS-Induced Neuroinflammation via FAK/NF-κB Signaling Pathways.
Impact of repeated lipopolysaccharide administration on ovarian signaling during the follicular phase of the estrous cycle in post-pubertal pigs.
Role of enterocyte stearoyl-Co-A desaturase-1 in LDLR-null mice.
Antiviral effects of Ma Huang Tang against H1N1 influenza virus infection in vitro and in an ICR pneumonia mouse model.
Impact of heat stress during the follicular phase on porcine ovarian steroidogenic and phosphatidylinositol-3 signaling.
Water/ethanol extract of Cucumis sativus L. fruit attenuates lipopolysaccharide-induced inflammatory response in endothelial cells.
Elevated expression of pancreatic adenocarcinoma upregulated factor (PAUF) is associated with poor prognosis and chemoresistance in epithelial ovarian cancer.
Inhibitory effect of Patrinia on BRL-3A cell apoptosis through the TLR4/PI3K/AKT/GSK3β and TLR4/P38/JNK signaling pathways.
Cholesterol-dependent cytolysins impair pro-inflammatory macrophage responses.
Specific vaginal lactobacilli suppress the inflammation induced by lipopolysaccharide stimulation through downregulation of toll-like receptor 4 expression in human embryonic intestinal epithelial cells.
Inhibition of HMGB1 reduces rat spinal cord astrocytic swelling and AQP4 expression after oxygen-glucose deprivation and reoxygenation via TLR4 and NF-κB signaling in an IL-6-dependent manner.
Expression of Toll-like receptors 2, 4 and 6 in different cell populations of the equine endometrium.
Toll-like receptor 4 inhibitor protects against retinal ganglion cell damage induced by optic nerve crush in mice.
Lipopolysaccharide promotes the development of murine endometriosis-like lesions via the nuclear factor-kappa B pathway.
Effect of a cocoa diet on the small intestine and gut-associated lymphoid tissue composition in an oral sensitization model in rats.
Preclinical Immunomodulation by the Probiotic Bifidobacterium breve M-16V in Early Life.
Decreased Frequency of Intestinal Regulatory CD5+ B Cells in Colonic Inflammation.
The kinetics of damage-associated molecular patterns (DAMPs) and toll-like receptors during thioacetamide-induced acute liver injury in rats.
Attenuation of exercise effect on inflammatory responses via novel role of TLR4/PI3K/Akt signaling in rat splenocytes.
Azithromycin modulates immune response of human monocyte-derived dendritic cells and CD4+ T cells.
CD68 on rat macrophages binds tightly to S100A8 and S100A9 and helps to regulate the cells' immune functions.
Chemical Structure and Immunomodulating Activities of an α-Glucan Purified from Lobelia chinensis Lour.
Pellino-1 confers chemoresistance in lung cancer cells by upregulating cIAP2 through Lys63-mediated polyubiquitination.
TGF-β1 and contact mediated suppression by CD4+CD25+CD127- T regulatory cells of patients with self-limiting hepatitis E.
Toll-Like Receptor 4 Activation Contributes to Diabetic Bladder Dysfunction in a Murine Model of Type 1 Diabetes.
HMGB1, a pathogenic molecule that induces neurite degeneration via TLR4-MARCKS, is a potential therapeutic target for Alzheimer's disease.
TLR2 and TLR9 modulate enteric nervous system inflammatory responses to lipopolysaccharide.
Expression of functional toll like receptor 4 in estrogen receptor/progesterone receptor-negative breast cancer.
LPS-induced clustering of CD14 triggers generation of PI(4,5)P2.
TLR4 has a TP53-dependent dual role in regulating breast cancer cell growth.
Up-regulated TLR4 in cardiomyocytes exacerbates heart failure after long-term myocardial infarction.
Fasciola hepatica fatty acid binding protein inhibits TLR4 activation and suppresses the inflammatory cytokines induced by lipopolysaccharide in vitro and in vivo.
Hibernation alters the diversity and composition of mucosa-associated bacteria while enhancing antimicrobial defence in the gut of 13-lined ground squirrels.
Adenosine 5'-monophosphate-induced hypothermia inhibits the activation of ERK1/2, JNK, p38 and NF-κB in endotoxemic rats.
1,25-Dihydroxyvitamin D3 up-regulates TLR10 while down-regulating TLR2, 4, and 5 in human monocyte THP-1.
The inflammasome pyrin contributes to pertussis toxin-induced IL-1β synthesis, neutrophil intravascular crawling and autoimmune encephalomyelitis.
In silico and Ex vivo approaches identify a role for toll-like receptor 4 in colorectal cancer.
Flagellin and LPS each restores rat lymphocyte populations after colorectal irradiation.
Expression and functional analysis of Toll-like receptor 4 in human cervical carcinoma.
Maintenance of the enteric stem cell niche by bacterial lipopolysaccharides? Evidence and perspectives.
Effects of a Lactobacillus paracasei B21060 based synbiotic on steatosis, insulin signaling and toll-like receptor expression in rats fed a high-fat diet.
Interaction of cyclic mechanical stretch and toll-like receptor 4-mediated innate immunity in rat alveolar type II cells.
The crosstalk between Dectin1 and TLR4 via NF-κB subunits p65/RelB in mammary epithelial cells.
Toll-like receptor (TLR) expression of immune system cells from metastatic breast cancer patients with circulating tumor cells.
Prostaglandin E2 reduces Toll-like receptor 4 expression in alveolar macrophages by inhibition of translation.
Characterization of the Toll-like receptor expression profile in human multiple myeloma cells.
Changes of the enteric nervous system in amyloid-β protein precursor transgenic mice correlate with disease progression.
Cirrhosis is associated with development of tolerance to cardiac chronotropic effect of endotoxin in rats.
Ablation of the cellular prion protein, PrPC, specifically on follicular dendritic cells has no effect on their maturation or function.
Extracellular HSP60 induces inflammation through activating and up-regulating TLRs in cardiomyocytes.
Toll-like receptor-4 agonist inhibits motility and invasion of hepatoblastoma HepG2 cells in vitro.
Activation of TLR4 is required for the synergistic induction of dual oxidase 2 and dual oxidase A2 by IFN-γ and lipopolysaccharide in human pancreatic cancer cell lines.
A TLR4-interacting SPA4 peptide inhibits LPS-induced lung inflammation.
Differential expression of TLR-2 and TLR-4 in the epithelial cells in oral lichen planus.
CD74 and macrophage migration inhibitory factor as therapeutic targets in gastric cancer.
Lactobacillus reuteri strains reduce incidence and severity of experimental necrotizing enterocolitis via modulation of TLR4 and NF-κB signaling in the intestine.
Altered sciatic nerve fiber morphology and endoneural microvessels in mouse models relevant for obesity, peripheral diabetic polyneuropathy, and the metabolic syndrome.
Characterisation of microglia during de- and remyelination: can they create a repair promoting environment?
A toll-like receptor 2 pathway regulates the Ppargc1a/b metabolic co-activators in mice with Staphylococcal aureus sepsis.
Glucose activation of islets of Langerhans up-regulates Toll-like receptor 5: possible mechanism of protection.
Tissue-resident mesenchymal stem cells attract peripheral blood neutrophils and enhance their inflammatory activity in response to microbial challenge.
The K5 capsule of Escherichia coli strain Nissle 1917 is important in stimulating expression of Toll-like receptor 5, CD14, MyD88, and TRIF together with the induction of interleukin-8 expression via the mitogen-activated protein kinase pathway in epithelial cells.
Extracts of the rat tapeworm, Hymenolepis diminuta, suppress macrophage activation in vitro and alleviate chemically induced colitis in mice.
Toll-like receptor-induced innate immune responses in non-parenchymal liver cells are cell type-specific.
Oxidized low-density lipoprotein (oxLDL)-induced cell death in dorsal root ganglion cell cultures depends not on the lectin-like oxLDL receptor-1 but on the toll-like receptor-4.
Binding of different forms of lipopolysaccharide and gene expression in bovine blood neutrophils.
Antiflagellin antibodies recognize the autoantigens Toll-Like Receptor 5 and Pals 1-associated tight junction protein and induce monocytes activation and increased intestinal permeability in Crohn's disease.
HIV-1 Tat protein suppresses cholangiocyte toll-like receptor 4 expression and defense against Cryptosporidium parvum.
Phosphodiesterase 4 inhibition but not beta-adrenergic stimulation suppresses tumor necrosis factor-alpha release in peripheral blood mononuclear cells in septic shock.
STAT3- and STAT5-dependent pathways competitively regulate the pan-differentiation of CD34pos cells into tumor-competent dendritic cells.
CD19 regulates skin and lung fibrosis via Toll-like receptor signaling in a model of bleomycin-induced scleroderma.
Treatment with glutamine is associated with down-regulation of Toll-like receptor-4 and myeloid differentiation factor 88 expression and decrease in intestinal mucosal injury caused by lipopolysaccharide endotoxaemia in a rat.
Toll-like receptor 4 ligation enforces tolerogenic properties of oral mucosal Langerhans cells.
In celiac disease, a subset of autoantibodies against transglutaminase binds toll-like receptor 4 and induces activation of monocytes.
Burkovetskaya ME, Small R, Guo L, Buch S, Guo ML
Neuroscience letters 2020 May 29;728:134951
Neuroscience letters 2020 May 29;728:134951
The effect of high mobility group box-1 protein on cerebral edema, blood-brain barrier, oxidative stress and apoptosis in an experimental traumatic brain injury model.
Evran S, Calis F, Akkaya E, Baran O, Cevik S, Katar S, Gurevin EG, Hanimoglu H, Hatiboglu MA, Armutak EI, Karatas E, Kocyigit A, Kaynar MY
Brain research bulletin 2020 Jan;154:68-80
Brain research bulletin 2020 Jan;154:68-80
Expression profile of Toll-like receptor 4 in rat testis and epididymis throughout postnatal development.
Özbek M, Hitit M, Ergün E, Ergün L, Beyaz F, Erhan F, Yıldırım N, Kandil B, Özgenç Ö, Memili E
Andrologia 2020 Apr;52(3):e13518
Andrologia 2020 Apr;52(3):e13518
Low Cellular NAD+ Compromises Lipopolysaccharide-Induced Inflammatory Responses via Inhibiting TLR4 Signal Transduction in Human Monocytes.
Yang K, Lauritzen KH, Olsen MB, Dahl TB, Ranheim T, Ahmed MS, Attramadal H, Aukrust P, Halvorsen B, Nyman TA, Sandanger Ø, Yndestad A
Journal of immunology (Baltimore, Md. : 1950) 2019 Sep 15;203(6):1598-1608
Journal of immunology (Baltimore, Md. : 1950) 2019 Sep 15;203(6):1598-1608
Extracellular nicotinate phosphoribosyltransferase binds Toll like receptor 4 and mediates inflammation.
Managò A, Audrito V, Mazzola F, Sorci L, Gaudino F, Gizzi K, Vitale N, Incarnato D, Minazzato G, Ianniello A, Varriale A, D'Auria S, Mengozzi G, Politano G, Oliviero S, Raffaelli N, Deaglio S
Nature communications 2019 Sep 11;10(1):4116
Nature communications 2019 Sep 11;10(1):4116
Phenotypic analysis of monocytes and CD4+ T cells in hepatitis E patients with or without pregnancy.
Arya RP, Arankalle VA
Human immunology 2019 Oct;80(10):855-862
Human immunology 2019 Oct;80(10):855-862
Dexmedetomidine-mediated protection against septic liver injury depends on TLR4/MyD88/NF-κB signaling downregulation partly via cholinergic anti-inflammatory mechanisms.
Zi SF, Li JH, Liu L, Deng C, Ao X, Chen DD, Wu SZ
International immunopharmacology 2019 Nov;76:105898
International immunopharmacology 2019 Nov;76:105898
FOXC1 up-regulates the expression of toll-like receptors in myocardial ischaemia.
Zhang SP, Yang RH, Shang J, Gao T, Wang R, Peng XD, Miao X, Pan L, Yuan WJ, Lin L, Hu QK
Journal of cellular and molecular medicine 2019 Nov;23(11):7566-7580
Journal of cellular and molecular medicine 2019 Nov;23(11):7566-7580
PC1/3 KD Macrophages Exhibit Resistance to the Inhibitory Effect of IL-10 and a Higher TLR4 Activation Rate, Leading to an Anti-Tumoral Phenotype.
Rodet F, Capuz A, Ozcan BA, Le Beillan R, Raffo-Romero A, Kobeissy F, Duhamel M, Salzet M
Cells 2019 Nov 22;8(12)
Cells 2019 Nov 22;8(12)
Improvement of Colonic Immune Function with Soy Isoflavones in High-Fat Diet-Induced Obese Rats.
Luo Q, Cheng D, Huang C, Li Y, Lao C, Xia Y, Liu W, Gong X, Hu D, Li B, He X, Chen Z
Molecules (Basel, Switzerland) 2019 Mar 22;24(6)
Molecules (Basel, Switzerland) 2019 Mar 22;24(6)
Toll-Like Receptor 4 Activation Promotes Multiple Myeloma Cell Growth and Survival Via Suppression of The Endoplasmic Reticulum Stress Factor Chop.
Bagratuni T, Sklirou AD, Kastritis E, Liacos CI, Spilioti C, Eleutherakis-Papaiakovou E, Kanellias N, Gavriatopoulou M, Terpos E, Trougakos IP, Dimopoulos MA
Scientific reports 2019 Mar 1;9(1):3245
Scientific reports 2019 Mar 1;9(1):3245
Xuezhikang improves the outcomes of cardiopulmonary resuscitation in rats by suppressing the inflammation response through TLR4/NF-κB pathway.
Liang L, Shao W, Shu T, Zhang Y, Xu S, Guo L, Zhou Y, Huang H, Sun P
Biomedicine & pharmacotherapy = Biomedecine & pharmacotherapie 2019 Jun;114:108817
Biomedicine & pharmacotherapy = Biomedecine & pharmacotherapie 2019 Jun;114:108817
Uric acid and angiotensin II additively promote inflammation and oxidative stress in human proximal tubule cells by activation of toll-like receptor 4.
Milanesi S, Verzola D, Cappadona F, Bonino B, Murugavel A, Pontremoli R, Garibotto G, Viazzi F
Journal of cellular physiology 2019 Jul;234(7):10868-10876
Journal of cellular physiology 2019 Jul;234(7):10868-10876
CEACAM1 regulates the IL-6 mediated fever response to LPS through the RP105 receptor in murine monocytes.
Zhang Z, La Placa D, Nguyen T, Kujawski M, Le K, Li L, Shively JE
BMC immunology 2019 Jan 23;20(1):7
BMC immunology 2019 Jan 23;20(1):7
Inhibiting High Mobility Group Box-1 Reduces Early Spinal Cord Edema and Attenuates Astrocyte Activation and Aquaporin-4 Expression after Spinal Cord Injury in Rats.
Sun L, Li M, Ma X, Zhang L, Song J, Lv C, He Y
Journal of neurotrauma 2019 Feb 1;36(3):421-435
Journal of neurotrauma 2019 Feb 1;36(3):421-435
Role of Nociceptor Toll-like Receptor 4 (TLR4) in Opioid-Induced Hyperalgesia and Hyperalgesic Priming.
Araldi D, Bogen O, Green PG, Levine JD
The Journal of neuroscience : the official journal of the Society for Neuroscience 2019 Aug 14;39(33):6414-6424
The Journal of neuroscience : the official journal of the Society for Neuroscience 2019 Aug 14;39(33):6414-6424
Constitutive and LPS-stimulated secretome of porcine Vascular Wall-Mesenchymal Stem Cells exerts effects on in vitro endothelial angiogenesis.
Bernardini C, Bertocchi M, Zannoni A, Salaroli R, Tubon I, Dothel G, Fernandez M, Bacci ML, Calzà L, Forni M
BMC veterinary research 2019 Apr 27;15(1):123
BMC veterinary research 2019 Apr 27;15(1):123
Moderate prenatal alcohol exposure suppresses the TLR4-mediated innate immune response in the hippocampus of young rats.
Wang P, Liu BY, Wu MM, Wei XY, Sheng S, You SW, Shang LX, Kuang F
Neuroscience letters 2019 Apr 23;699:77-83
Neuroscience letters 2019 Apr 23;699:77-83
Neutrophil Elastase Subverts the Immune Response by Cleaving Toll-Like Receptors and Cytokines in Pneumococcal Pneumonia.
Domon H, Nagai K, Maekawa T, Oda M, Yonezawa D, Takeda W, Hiyoshi T, Tamura H, Yamaguchi M, Kawabata S, Terao Y
Frontiers in immunology 2018;9:732
Frontiers in immunology 2018;9:732
An Aqueous Extract of Herbal Medicine ALWPs Enhances Cognitive Performance and Inhibits LPS-Induced Neuroinflammation via FAK/NF-κB Signaling Pathways.
Lee JY, Joo B, Nam JH, Nam HY, Lee W, Nam Y, Seo Y, Kang HJ, Cho HJ, Jang YP, Kim J, We YM, Koo JW, Hoe HS
Frontiers in aging neuroscience 2018;10:269
Frontiers in aging neuroscience 2018;10:269
Impact of repeated lipopolysaccharide administration on ovarian signaling during the follicular phase of the estrous cycle in post-pubertal pigs.
Bidne KL, Kvidera SS, Ross JW, Baumgard LH, Keating AF
Journal of animal science 2018 Sep 7;96(9):3622-3634
Journal of animal science 2018 Sep 7;96(9):3622-3634
Role of enterocyte stearoyl-Co-A desaturase-1 in LDLR-null mice.
Mukherjee P, Hough G, Chattopadhyay A, Grijalva V, O'Connor EI, Meriwether D, Wagner A, Ntambi JM, Navab M, Reddy ST, Fogelman AM
Journal of lipid research 2018 Oct;59(10):1818-1840
Journal of lipid research 2018 Oct;59(10):1818-1840
Antiviral effects of Ma Huang Tang against H1N1 influenza virus infection in vitro and in an ICR pneumonia mouse model.
Wei W, Wan H, Peng X, Zhou H, Lu Y, He Y
Biomedicine & pharmacotherapy = Biomedecine & pharmacotherapie 2018 Jun;102:1161-1175
Biomedicine & pharmacotherapy = Biomedecine & pharmacotherapie 2018 Jun;102:1161-1175
Impact of heat stress during the follicular phase on porcine ovarian steroidogenic and phosphatidylinositol-3 signaling.
Dickson MJ, Hager CL, Al-Shaibi A, Thomas PQ, Baumgard LH, Ross JW, Keating AF
Journal of animal science 2018 Jun 4;96(6):2162-2174
Journal of animal science 2018 Jun 4;96(6):2162-2174
Water/ethanol extract of Cucumis sativus L. fruit attenuates lipopolysaccharide-induced inflammatory response in endothelial cells.
Bernardini C, Zannoni A, Bertocchi M, Tubon I, Fernandez M, Forni M
BMC complementary and alternative medicine 2018 Jun 25;18(1):194
BMC complementary and alternative medicine 2018 Jun 25;18(1):194
Elevated expression of pancreatic adenocarcinoma upregulated factor (PAUF) is associated with poor prognosis and chemoresistance in epithelial ovarian cancer.
Choi CH, Kang TH, Song JS, Kim YS, Chung EJ, Ylaya K, Kim S, Koh SS, Chung JY, Kim JH, Hewitt SM
Scientific reports 2018 Aug 15;8(1):12161
Scientific reports 2018 Aug 15;8(1):12161
Inhibitory effect of Patrinia on BRL-3A cell apoptosis through the TLR4/PI3K/AKT/GSK3β and TLR4/P38/JNK signaling pathways.
Chen X, Yan X, Guo L
Molecular medicine reports 2018 Apr;17(4):5344-5349
Molecular medicine reports 2018 Apr;17(4):5344-5349
Cholesterol-dependent cytolysins impair pro-inflammatory macrophage responses.
Bhattacharjee P, Keyel PA
Scientific reports 2018 Apr 24;8(1):6458
Scientific reports 2018 Apr 24;8(1):6458
Specific vaginal lactobacilli suppress the inflammation induced by lipopolysaccharide stimulation through downregulation of toll-like receptor 4 expression in human embryonic intestinal epithelial cells.
Tobita K, Watanabe I, Saito M
Bioscience of microbiota, food and health 2017;36(1):39-44
Bioscience of microbiota, food and health 2017;36(1):39-44
Inhibition of HMGB1 reduces rat spinal cord astrocytic swelling and AQP4 expression after oxygen-glucose deprivation and reoxygenation via TLR4 and NF-κB signaling in an IL-6-dependent manner.
Sun L, Li M, Ma X, Feng H, Song J, Lv C, He Y
Journal of neuroinflammation 2017 Nov 25;14(1):231
Journal of neuroinflammation 2017 Nov 25;14(1):231
Expression of Toll-like receptors 2, 4 and 6 in different cell populations of the equine endometrium.
Schöniger S, Gräfe H, Schoon HA
Veterinary immunology and immunopathology 2017 Mar;185:7-13
Veterinary immunology and immunopathology 2017 Mar;185:7-13
Toll-like receptor 4 inhibitor protects against retinal ganglion cell damage induced by optic nerve crush in mice.
Nakano Y, Shimazawa M, Ojino K, Izawa H, Takeuchi H, Inoue Y, Tsuruma K, Hara H
Journal of pharmacological sciences 2017 Mar;133(3):176-183
Journal of pharmacological sciences 2017 Mar;133(3):176-183
Lipopolysaccharide promotes the development of murine endometriosis-like lesions via the nuclear factor-kappa B pathway.
Azuma Y, Taniguchi F, Nakamura K, Nagira K, Khine YM, Kiyama T, Uegaki T, Izawa M, Harada T
American journal of reproductive immunology (New York, N.Y. : 1989) 2017 Apr;77(4)
American journal of reproductive immunology (New York, N.Y. : 1989) 2017 Apr;77(4)
Effect of a cocoa diet on the small intestine and gut-associated lymphoid tissue composition in an oral sensitization model in rats.
Camps-Bossacoma M, Pérez-Cano FJ, Franch À, Untersmayr E, Castell M
The Journal of nutritional biochemistry 2017 Apr;42:182-193
The Journal of nutritional biochemistry 2017 Apr;42:182-193
Preclinical Immunomodulation by the Probiotic Bifidobacterium breve M-16V in Early Life.
Rigo-Adrover MD, Franch À, Castell M, Pérez-Cano FJ
PloS one 2016;11(11):e0166082
PloS one 2016;11(11):e0166082
Decreased Frequency of Intestinal Regulatory CD5+ B Cells in Colonic Inflammation.
Mishima Y, Ishihara S, Oka A, Fukuba N, Oshima N, Sonoyama H, Yamashita N, Tada Y, Kusunoki R, Moriyama I, Yuki T, Kawashima K, Kinoshita Y
PloS one 2016;11(1):e0146191
PloS one 2016;11(1):e0146191
The kinetics of damage-associated molecular patterns (DAMPs) and toll-like receptors during thioacetamide-induced acute liver injury in rats.
Kuramochi M, Izawa T, Pervin M, Bondoc A, Kuwamura M, Yamate J
Experimental and toxicologic pathology : official journal of the Gesellschaft fur Toxikologische Pathologie 2016 Sep;68(8):471-7
Experimental and toxicologic pathology : official journal of the Gesellschaft fur Toxikologische Pathologie 2016 Sep;68(8):471-7
Attenuation of exercise effect on inflammatory responses via novel role of TLR4/PI3K/Akt signaling in rat splenocytes.
Chen CW, Chen CC, Jian CY, Lin PH, Chou JC, Teng HS, Hu S, Lieu FK, Wang PS, Wang SW
Journal of applied physiology (Bethesda, Md. : 1985) 2016 Oct 1;121(4):870-877
Journal of applied physiology (Bethesda, Md. : 1985) 2016 Oct 1;121(4):870-877
Azithromycin modulates immune response of human monocyte-derived dendritic cells and CD4+ T cells.
Lin SJ, Kuo ML, Hsiao HS, Lee PT
International immunopharmacology 2016 Nov;40:318-326
International immunopharmacology 2016 Nov;40:318-326
CD68 on rat macrophages binds tightly to S100A8 and S100A9 and helps to regulate the cells' immune functions.
Okada K, Arai S, Itoh H, Adachi S, Hayashida M, Nakase H, Ikemoto M
Journal of leukocyte biology 2016 Nov;100(5):1093-1104
Journal of leukocyte biology 2016 Nov;100(5):1093-1104
Chemical Structure and Immunomodulating Activities of an α-Glucan Purified from Lobelia chinensis Lour.
Li XJ, Bao WR, Leung CH, Ma DL, Zhang G, Lu AP, Wang SC, Han QB
Molecules (Basel, Switzerland) 2016 Jun 15;21(6)
Molecules (Basel, Switzerland) 2016 Jun 15;21(6)
Pellino-1 confers chemoresistance in lung cancer cells by upregulating cIAP2 through Lys63-mediated polyubiquitination.
Jeon YK, Kim CK, Koh J, Chung DH, Ha GH
Oncotarget 2016 Jul 5;7(27):41811-41824
Oncotarget 2016 Jul 5;7(27):41811-41824
TGF-β1 and contact mediated suppression by CD4+CD25+CD127- T regulatory cells of patients with self-limiting hepatitis E.
Rathod SB, Tripathy AS
Human immunology 2016 Dec;77(12):1254-1263
Human immunology 2016 Dec;77(12):1254-1263
Toll-Like Receptor 4 Activation Contributes to Diabetic Bladder Dysfunction in a Murine Model of Type 1 Diabetes.
Szasz T, Wenceslau CF, Burgess B, Nunes KP, Webb RC
Diabetes 2016 Dec;65(12):3754-3764
Diabetes 2016 Dec;65(12):3754-3764
HMGB1, a pathogenic molecule that induces neurite degeneration via TLR4-MARCKS, is a potential therapeutic target for Alzheimer's disease.
Fujita K, Motoki K, Tagawa K, Chen X, Hama H, Nakajima K, Homma H, Tamura T, Watanabe H, Katsuno M, Matsumi C, Kajikawa M, Saito T, Saido T, Sobue G, Miyawaki A, Okazawa H
Scientific reports 2016 Aug 25;6:31895
Scientific reports 2016 Aug 25;6:31895
TLR2 and TLR9 modulate enteric nervous system inflammatory responses to lipopolysaccharide.
Burgueño JF, Barba A, Eyre E, Romero C, Neunlist M, Fernández E
Journal of neuroinflammation 2016 Aug 18;13(1):187
Journal of neuroinflammation 2016 Aug 18;13(1):187
Expression of functional toll like receptor 4 in estrogen receptor/progesterone receptor-negative breast cancer.
Mehmeti M, Allaoui R, Bergenfelz C, Saal LH, Ethier SP, Johansson ME, Jirström K, Leandersson K
Breast cancer research : BCR 2015 Sep 22;17(1):130
Breast cancer research : BCR 2015 Sep 22;17(1):130
LPS-induced clustering of CD14 triggers generation of PI(4,5)P2.
Płóciennikowska A, Zdioruk MI, Traczyk G, Świątkowska A, Kwiatkowska K
Journal of cell science 2015 Nov 15;128(22):4096-111
Journal of cell science 2015 Nov 15;128(22):4096-111
TLR4 has a TP53-dependent dual role in regulating breast cancer cell growth.
Haricharan S, Brown P
Proceedings of the National Academy of Sciences of the United States of America 2015 Jun 23;112(25):E3216-25
Proceedings of the National Academy of Sciences of the United States of America 2015 Jun 23;112(25):E3216-25
Up-regulated TLR4 in cardiomyocytes exacerbates heart failure after long-term myocardial infarction.
Liu L, Wang Y, Cao ZY, Wang MM, Liu XM, Gao T, Hu QK, Yuan WJ, Lin L
Journal of cellular and molecular medicine 2015 Dec;19(12):2728-40
Journal of cellular and molecular medicine 2015 Dec;19(12):2728-40
Fasciola hepatica fatty acid binding protein inhibits TLR4 activation and suppresses the inflammatory cytokines induced by lipopolysaccharide in vitro and in vivo.
Martin I, Cabán-Hernández K, Figueroa-Santiago O, Espino AM
Journal of immunology (Baltimore, Md. : 1950) 2015 Apr 15;194(8):3924-36
Journal of immunology (Baltimore, Md. : 1950) 2015 Apr 15;194(8):3924-36
Hibernation alters the diversity and composition of mucosa-associated bacteria while enhancing antimicrobial defence in the gut of 13-lined ground squirrels.
Dill-McFarland KA, Neil KL, Zeng A, Sprenger RJ, Kurtz CC, Suen G, Carey HV
Molecular ecology 2014 Sep;23(18):4658-69
Molecular ecology 2014 Sep;23(18):4658-69
Adenosine 5'-monophosphate-induced hypothermia inhibits the activation of ERK1/2, JNK, p38 and NF-κB in endotoxemic rats.
Wang Y, Zhang A, Lu S, Pan X, Jia D, Yu W, Jiang Y, Li X, Wang X, Zhang J, Hou L, Sun Y
International immunopharmacology 2014 Nov;23(1):205-10
International immunopharmacology 2014 Nov;23(1):205-10
1,25-Dihydroxyvitamin D3 up-regulates TLR10 while down-regulating TLR2, 4, and 5 in human monocyte THP-1.
Verma R, Jung JH, Kim JY
The Journal of steroid biochemistry and molecular biology 2014 May;141:1-6
The Journal of steroid biochemistry and molecular biology 2014 May;141:1-6
The inflammasome pyrin contributes to pertussis toxin-induced IL-1β synthesis, neutrophil intravascular crawling and autoimmune encephalomyelitis.
Dumas A, Amiable N, de Rivero Vaccari JP, Chae JJ, Keane RW, Lacroix S, Vallières L
PLoS pathogens 2014 May;10(5):e1004150
PLoS pathogens 2014 May;10(5):e1004150
In silico and Ex vivo approaches identify a role for toll-like receptor 4 in colorectal cancer.
Sussman DA, Santaolalla R, Bejarano PA, Garcia-Buitrago MT, Perez MT, Abreu MT, Clarke J
Journal of experimental & clinical cancer research : CR 2014 May 22;33:45
Journal of experimental & clinical cancer research : CR 2014 May 22;33:45
Flagellin and LPS each restores rat lymphocyte populations after colorectal irradiation.
Lacave-Lapalun JV, Benderitter M, Linard C
Journal of leukocyte biology 2014 Jun;95(6):931-40
Journal of leukocyte biology 2014 Jun;95(6):931-40
Expression and functional analysis of Toll-like receptor 4 in human cervical carcinoma.
Wang Y, Weng Y, Shi Y, Xia X, Wang S, Duan H
The Journal of membrane biology 2014 Jul;247(7):591-9
The Journal of membrane biology 2014 Jul;247(7):591-9
Maintenance of the enteric stem cell niche by bacterial lipopolysaccharides? Evidence and perspectives.
Schuster A, Klotz M, Schwab T, Di Liddo R, Bertalot T, Schrenk S, Martin M, Nguyen TD, Nguyen TN, Gries M, Faßbender K, Conconi MT, Parnigotto PP, Schäfer KH
Journal of cellular and molecular medicine 2014 Jul;18(7):1429-43
Journal of cellular and molecular medicine 2014 Jul;18(7):1429-43
Effects of a Lactobacillus paracasei B21060 based synbiotic on steatosis, insulin signaling and toll-like receptor expression in rats fed a high-fat diet.
Raso GM, Simeoli R, Iacono A, Santoro A, Amero P, Paciello O, Russo R, D'Agostino G, Di Costanzo M, Canani RB, Calignano A, Meli R
The Journal of nutritional biochemistry 2014 Jan;25(1):81-90
The Journal of nutritional biochemistry 2014 Jan;25(1):81-90
Interaction of cyclic mechanical stretch and toll-like receptor 4-mediated innate immunity in rat alveolar type II cells.
Kuhn H, Petzold K, Hammerschmidt S, Wirtz H
Respirology (Carlton, Vic.) 2014 Jan;19(1):67-73
Respirology (Carlton, Vic.) 2014 Jan;19(1):67-73
The crosstalk between Dectin1 and TLR4 via NF-κB subunits p65/RelB in mammary epithelial cells.
Zhu W, Zhu N, Bai D, Miao J, Zou S
International immunopharmacology 2014 Dec;23(2):417-25
International immunopharmacology 2014 Dec;23(2):417-25
Toll-like receptor (TLR) expression of immune system cells from metastatic breast cancer patients with circulating tumor cells.
Green TL, Santos MF, Ejaeidi AA, Craft BS, Lewis RE, Cruse JM
Experimental and molecular pathology 2014 Aug;97(1):44-8
Experimental and molecular pathology 2014 Aug;97(1):44-8
Prostaglandin E2 reduces Toll-like receptor 4 expression in alveolar macrophages by inhibition of translation.
Degraaf AJ, Zasłona Z, Bourdonnay E, Peters-Golden M
American journal of respiratory cell and molecular biology 2014 Aug;51(2):242-50
American journal of respiratory cell and molecular biology 2014 Aug;51(2):242-50
Characterization of the Toll-like receptor expression profile in human multiple myeloma cells.
Abdi J, Mutis T, Garssen J, Redegeld F
PloS one 2013;8(4):e60671
PloS one 2013;8(4):e60671
Changes of the enteric nervous system in amyloid-β protein precursor transgenic mice correlate with disease progression.
Semar S, Klotz M, Letiembre M, Van Ginneken C, Braun A, Jost V, Bischof M, Lammers WJ, Liu Y, Fassbender K, Wyss-Coray T, Kirchhoff F, Schäfer KH
Journal of Alzheimer's disease : JAD 2013;36(1):7-20
Journal of Alzheimer's disease : JAD 2013;36(1):7-20
Cirrhosis is associated with development of tolerance to cardiac chronotropic effect of endotoxin in rats.
Jazaeri F, Tavangar SM, Ghazi-Khansari M, Khorramizadeh MR, Mani AR, Dehpour AR
Liver international : official journal of the International Association for the Study of the Liver 2013 Mar;33(3):368-74
Liver international : official journal of the International Association for the Study of the Liver 2013 Mar;33(3):368-74
Ablation of the cellular prion protein, PrPC, specifically on follicular dendritic cells has no effect on their maturation or function.
McCulloch L, Brown KL, Mabbott NA
Immunology 2013 Mar;138(3):246-57
Immunology 2013 Mar;138(3):246-57
Extracellular HSP60 induces inflammation through activating and up-regulating TLRs in cardiomyocytes.
Tian J, Guo X, Liu XM, Liu L, Weng QF, Dong SJ, Knowlton AA, Yuan WJ, Lin L
Cardiovascular research 2013 Jun 1;98(3):391-401
Cardiovascular research 2013 Jun 1;98(3):391-401
Toll-like receptor-4 agonist inhibits motility and invasion of hepatoblastoma HepG2 cells in vitro.
Hsiao CC, Kao YH, Huang SC, Chuang JH
Pediatric blood & cancer 2013 Feb;60(2):248-53
Pediatric blood & cancer 2013 Feb;60(2):248-53
Activation of TLR4 is required for the synergistic induction of dual oxidase 2 and dual oxidase A2 by IFN-γ and lipopolysaccharide in human pancreatic cancer cell lines.
Wu Y, Lu J, Antony S, Juhasz A, Liu H, Jiang G, Meitzler JL, Hollingshead M, Haines DC, Butcher D, Roy K, Doroshow JH
Journal of immunology (Baltimore, Md. : 1950) 2013 Feb 15;190(4):1859-72
Journal of immunology (Baltimore, Md. : 1950) 2013 Feb 15;190(4):1859-72
A TLR4-interacting SPA4 peptide inhibits LPS-induced lung inflammation.
Ramani V, Madhusoodhanan R, Kosanke S, Awasthi S
Innate immunity 2013 Dec;19(6):596-610
Innate immunity 2013 Dec;19(6):596-610
Differential expression of TLR-2 and TLR-4 in the epithelial cells in oral lichen planus.
Janardhanam SB, Prakasam S, Swaminathan VT, Kodumudi KN, Zunt SL, Srinivasan M
Archives of oral biology 2012 May;57(5):495-502
Archives of oral biology 2012 May;57(5):495-502
CD74 and macrophage migration inhibitory factor as therapeutic targets in gastric cancer.
Zheng YX, Yang M, Rong TT, Yuan XL, Ma YH, Wang ZH, Shen LS, Cui L
World journal of gastroenterology 2012 May 14;18(18):2253-61
World journal of gastroenterology 2012 May 14;18(18):2253-61
Lactobacillus reuteri strains reduce incidence and severity of experimental necrotizing enterocolitis via modulation of TLR4 and NF-κB signaling in the intestine.
Liu Y, Fatheree NY, Mangalat N, Rhoads JM
American journal of physiology. Gastrointestinal and liver physiology 2012 Mar 15;302(6):G608-17
American journal of physiology. Gastrointestinal and liver physiology 2012 Mar 15;302(6):G608-17
Altered sciatic nerve fiber morphology and endoneural microvessels in mouse models relevant for obesity, peripheral diabetic polyneuropathy, and the metabolic syndrome.
Nowicki M, Kosacka J, Serke H, Blüher M, Spanel-Borowski K
Journal of neuroscience research 2012 Jan;90(1):122-31
Journal of neuroscience research 2012 Jan;90(1):122-31
Characterisation of microglia during de- and remyelination: can they create a repair promoting environment?
Voss EV, Škuljec J, Gudi V, Skripuletz T, Pul R, Trebst C, Stangel M
Neurobiology of disease 2012 Jan;45(1):519-28
Neurobiology of disease 2012 Jan;45(1):519-28
A toll-like receptor 2 pathway regulates the Ppargc1a/b metabolic co-activators in mice with Staphylococcal aureus sepsis.
Sweeney TE, Suliman HB, Hollingsworth JW, Welty-Wolf KE, Piantadosi CA
PloS one 2011;6(9):e25249
PloS one 2011;6(9):e25249
Glucose activation of islets of Langerhans up-regulates Toll-like receptor 5: possible mechanism of protection.
Weile C, Josefsen K, Buschard K
Clinical and experimental immunology 2011 Nov;166(2):251-7
Clinical and experimental immunology 2011 Nov;166(2):251-7
Tissue-resident mesenchymal stem cells attract peripheral blood neutrophils and enhance their inflammatory activity in response to microbial challenge.
Brandau S, Jakob M, Hemeda H, Bruderek K, Janeschik S, Bootz F, Lang S
Journal of leukocyte biology 2010 Nov;88(5):1005-15
Journal of leukocyte biology 2010 Nov;88(5):1005-15
The K5 capsule of Escherichia coli strain Nissle 1917 is important in stimulating expression of Toll-like receptor 5, CD14, MyD88, and TRIF together with the induction of interleukin-8 expression via the mitogen-activated protein kinase pathway in epithelial cells.
Hafez M, Hayes K, Goldrick M, Grencis RK, Roberts IS
Infection and immunity 2010 May;78(5):2153-62
Infection and immunity 2010 May;78(5):2153-62
Extracts of the rat tapeworm, Hymenolepis diminuta, suppress macrophage activation in vitro and alleviate chemically induced colitis in mice.
Johnston MJ, Wang A, Catarino ME, Ball L, Phan VC, MacDonald JA, McKay DM
Infection and immunity 2010 Mar;78(3):1364-75
Infection and immunity 2010 Mar;78(3):1364-75
Toll-like receptor-induced innate immune responses in non-parenchymal liver cells are cell type-specific.
Wu J, Meng Z, Jiang M, Zhang E, Trippler M, Broering R, Bucchi A, Krux F, Dittmer U, Yang D, Roggendorf M, Gerken G, Lu M, Schlaak JF
Immunology 2010 Mar;129(3):363-74
Immunology 2010 Mar;129(3):363-74
Oxidized low-density lipoprotein (oxLDL)-induced cell death in dorsal root ganglion cell cultures depends not on the lectin-like oxLDL receptor-1 but on the toll-like receptor-4.
Nowicki M, Müller K, Serke H, Kosacka J, Vilser C, Ricken A, Spanel-Borowski K
Journal of neuroscience research 2010 Feb 1;88(2):403-12
Journal of neuroscience research 2010 Feb 1;88(2):403-12
Binding of different forms of lipopolysaccharide and gene expression in bovine blood neutrophils.
Worku M, Morris A
Journal of dairy science 2009 Jul;92(7):3185-93
Journal of dairy science 2009 Jul;92(7):3185-93
Antiflagellin antibodies recognize the autoantigens Toll-Like Receptor 5 and Pals 1-associated tight junction protein and induce monocytes activation and increased intestinal permeability in Crohn's disease.
Lunardi C, Bason C, Dolcino M, Navone R, Simone R, Saverino D, Frulloni L, Tinazzi E, Peterlana D, Corrocher R, Puccetti A
Journal of internal medicine 2009 Feb;265(2):250-65
Journal of internal medicine 2009 Feb;265(2):250-65
HIV-1 Tat protein suppresses cholangiocyte toll-like receptor 4 expression and defense against Cryptosporidium parvum.
O'Hara SP, Small AJ, Gajdos GB, Badley AD, Chen XM, Larusso NF
The Journal of infectious diseases 2009 Apr 15;199(8):1195-204
The Journal of infectious diseases 2009 Apr 15;199(8):1195-204
Phosphodiesterase 4 inhibition but not beta-adrenergic stimulation suppresses tumor necrosis factor-alpha release in peripheral blood mononuclear cells in septic shock.
Link A, Selejan S, Maack C, Lenz M, Böhm M
Critical care (London, England) 2008;12(6):R159
Critical care (London, England) 2008;12(6):R159
STAT3- and STAT5-dependent pathways competitively regulate the pan-differentiation of CD34pos cells into tumor-competent dendritic cells.
Cohen PA, Koski GK, Czerniecki BJ, Bunting KD, Fu XY, Wang Z, Zhang WJ, Carter CS, Awad M, Distel CA, Nagem H, Paustian CC, Johnson TD, Tisdale JF, Shu S
Blood 2008 Sep 1;112(5):1832-43
Blood 2008 Sep 1;112(5):1832-43
CD19 regulates skin and lung fibrosis via Toll-like receptor signaling in a model of bleomycin-induced scleroderma.
Yoshizaki A, Iwata Y, Komura K, Ogawa F, Hara T, Muroi E, Takenaka M, Shimizu K, Hasegawa M, Fujimoto M, Tedder TF, Sato S
The American journal of pathology 2008 Jun;172(6):1650-63
The American journal of pathology 2008 Jun;172(6):1650-63
Treatment with glutamine is associated with down-regulation of Toll-like receptor-4 and myeloid differentiation factor 88 expression and decrease in intestinal mucosal injury caused by lipopolysaccharide endotoxaemia in a rat.
Kessel A, Toubi E, Pavlotzky E, Mogilner J, Coran AG, Lurie M, Karry R, Sukhotnik I
Clinical and experimental immunology 2008 Feb;151(2):341-7
Clinical and experimental immunology 2008 Feb;151(2):341-7
Toll-like receptor 4 ligation enforces tolerogenic properties of oral mucosal Langerhans cells.
Allam JP, Peng WM, Appel T, Wenghoefer M, Niederhagen B, Bieber T, Bergé S, Novak N
The Journal of allergy and clinical immunology 2008 Feb;121(2):368-374.e1
The Journal of allergy and clinical immunology 2008 Feb;121(2):368-374.e1
In celiac disease, a subset of autoantibodies against transglutaminase binds toll-like receptor 4 and induces activation of monocytes.
Zanoni G, Navone R, Lunardi C, Tridente G, Bason C, Sivori S, Beri R, Dolcino M, Valletta E, Corrocher R, Puccetti A
PLoS medicine 2006 Sep;3(9):e358
PLoS medicine 2006 Sep;3(9):e358
No comments: Submit comment
Supportive validation
- Submitted by
- Novus Biologicals (provider)
- Main image

- Experimental details
- Western Blot: TLR4 Antibody (76B357.1) [NB100-56566] - Analysis using 2 ug/ml on (A) human intestine and 6 ug/ml on (B) mouse intestine and C) rat intestine lysate.
Supportive validation
- Submitted by
- Novus Biologicals (provider)
- Main image

- Experimental details
- Immunohistochemistry-Paraffin: TLR4 Antibody (76B357.1) [NB100-56566] - Human skin stained with at 5 ug/ml, peroxidase-conjugate and DAB chromogen. Staining of formalin-fixed tissues is enhanced by boiling tissue sections in 10 mM sodium citrate buffer, pH 6.0 for 10-20 min followed by cooling at RT for 20 min.
- Submitted by
- Novus Biologicals (provider)
- Main image

- Experimental details
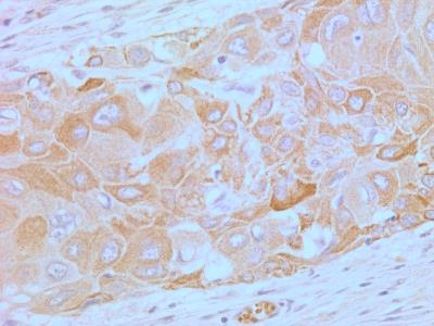
- Immunohistochemistry-Paraffin: TLR4 Antibody (76B357.1) [NB100-56566] - Tissue section of human esophageal squamous cell carcinoma (SCC) using 5 ug/ml. Membrane-cytoplasmic immunopositivity was observed in SCC cells while the tumor stroma was largely negative for TLR4.
- Submitted by
- Novus Biologicals (provider)
- Main image

- Experimental details
- Immunohistochemistry-Paraffin: TLR4 Antibody (76B357.1) [NB100-56566] - Tissue section of malignant stromal tumor of small intestine from human at 5 ug/ml. The representative image shows a membrane-cytoplasmic staining pattern of TLR4 in the cancer cells.
- Submitted by
- Novus Biologicals (provider)
- Main image

- Experimental details
- Immunohistochemistry-Paraffin: TLR4 Antibody (76B357.1) [NB100-56566] - Tissue section of normal human breast at 5 ug/ml. The ductal/acinar epithelial cells and the myoepithelial cells showed specific membrane-cytoplasmic positivity for TLR4. Mild immunoreactivity of TLR4 was observed in blood vessels and the intra-lobular connective tissue also.
- Submitted by
- Novus Biologicals (provider)
- Main image

- Experimental details
- Immunohistochemistry-Paraffin: TLR4 Antibody (76B357.1) [NB100-56566] - Tissue section of normal human skin at 5 ug/ml. Membrane-cytoplasmic immunopositivity of TLR4 was primarily observed in the pigmented basel cells and the adjacent keratinocytes in the epidermal layer.
- Submitted by
- Novus Biologicals (provider)
- Main image

- Experimental details
- Immunohistochemistry-Paraffin: TLR4 Antibody (76B357.1) [NB100-56566] - Analysis of Rat's salivary gland tissue section at 1:100 dilution. The antibody generated a membrane-cytoplasmic staining in the tissue with stronger signal in ductal epithelial cells.
- Submitted by
- Novus Biologicals (provider)
- Main image

- Experimental details
- Immunohistochemistry-Paraffin: TLR4 Antibody (76B357.1) [NB100-56566] - Analysis of TLR4 in paraffin-embedded formalin-fixed human colon tissue using an isotype control (top) and NB100-56566 (bottom) at 5 ug/ml.
- Submitted by
- Novus Biologicals (provider)
- Main image

- Experimental details
- Immunohistochemistry-Paraffin: TLR4 Antibody (76B357.1) [NB100-56566] - Human testis tissue stained using 5 ug/ml.
- Submitted by
- Novus Biologicals (provider)
- Main image

- Experimental details
- Immunohistochemistry-Frozen: TLR4 Antibody (76B357.1) [NB100-56566] - This image is TLR4(green) and nucleus(blue) at area postrema of the adult male mouse brain, x20 magnification. Primary antibody diluted 1:500. This image was submitted via customer Review.
- Submitted by
- Novus Biologicals (provider)
- Main image

- Experimental details
- Immunohistochemistry: TLR4 Antibody (76B357.1) [NB100-56566] - Immunofluorescent staining of TMAs. Representative tissue cores from normal (I), adenomatous polyps (II), and CRC (III and IV) are shown. Image collected and cropped by CiteAb from the following publication (http://www.jeccr.com/content/33/1/45), licensed under a CC-BY licence.
- Submitted by
- Novus Biologicals (provider)
- Main image

- Experimental details
- Immunohistochemistry: TLR4 Antibody (76B357.1) [NB100-56566] - Pericryptal Myofibroblasts are Responsible for Increased TLR4 Expression in a Subset of CRCs. Double-stained immunofluorescence for TLR4 (green) and vimentin (red) in normal (I), adenoma (II), and colon adenocarcinoma (III) (10x). In the stromal compartment of CRCs, immunofluorescent staining for TLR4 localized to the pericryptal myofibroblasts in a subset of samples. Image collected and cropped by CiteAb from the following publication (http://www.jeccr.com/content/33/1/45), licensed under a CC-BY licence.
- Submitted by
- Novus Biologicals (provider)
- Main image

- Experimental details
- Immunohistochemistry: TLR4 Antibody (76B357.1) [NB100-56566] - Pericryptal Myofibroblasts are Responsible for Increased TLR4 Expression in a Subset of CRCs. IHC staining of colon adenocarcinoma for TLR4, vimentin, and alpha-SMA (40x). Staining co-localizes to the pericryptal space, confirming the signal arises from pericryptal myofibroblasts. Image collected and cropped by CiteAb from the following publication (http://www.jeccr.com/content/33/1/45), licensed under a CC-BY licence.
Supportive validation
- Submitted by
- Novus Biologicals (provider)
- Main image

- Experimental details
- Flow Cytometry: TLR4 Antibody (76B357.1) [NB100-56566] - Analysis of 10^6 ThP1 cells using 5 ug. Shaded histogram shows ThP1 cells without anti-TLR4 antibody; green represents isotype control; red represents anti-TLR4 antibody.
- Submitted by
- Novus Biologicals (provider)
- Main image

- Experimental details
- Flow (Intracellular): TLR4 Antibody (76B357.1) [NB100-56566] - Analysis using PE conjugate of NBP2-27149. An intracellular stain was performed on Jurkat cells with TLR4 antibody (76B357.1) NBP2-27149PE (blue) and an isotype control MAB004 (orange). Cells were fixed with 4% PFA and then permeablized with 0.1% saponin. Cells were incubated in an antibody dilution of 2.5 ug/mL for 30 minutes at room temperature. Both antibodies were conjugated to phycoerythrin.
- Submitted by
- Novus Biologicals (provider)
- Main image

- Experimental details
- Flow Cytometry: TLR4 Antibody (76B357.1) [NB100-56566] - Analysis of formaldehyde fixed THP-1 cells (human monocytic leukemia cells) using 2 ug/10^6 cells TLR4 antibody (clone 76B357.1) with detection employing a donkey anti-mouse IgG (H+L) cross adsorbed secondary antibody, (DyLight 488 conjugated). Isotype control samples incubated with mouse IgG2b isotype control antibody were processed in parallal under the same assay conditions.
- Submitted by
- Novus Biologicals (provider)
- Main image

- Experimental details
- Flow Cytometry: TLR4 Antibody (76B357.1) [NB100-56566] - Analysis using the Alexa Fluor (R) 647 conjugate of NBP2-27149. TLR4 expression on monocytes from human peripheral blood: PBMC were stained, in a 2 color flow test, with CD14 PE this antibody and 1 ug of either isotype control (Left, ) or TLR4-Alexa Fluor 647 (right). PPI negative, CD14+ cells were gated for analysis.
- Submitted by
- Novus Biologicals (provider)
- Main image

- Experimental details
- Flow Cytometry: TLR4 Antibody (76B357.1) [NB100-56566] - Analysis using the FITC conjugate of NBP2-27149. TLR4 expression on monocytes from human peripheral blood: PBMC were stained, in a 2 color flow test, with CD14 PE and 1 ug of either isotype control (Left, ) or TLR4-FITC (Right, this antibody. PPI negative, CD14+ cells were gated for analysis.
- Submitted by
- Novus Biologicals (provider)
- Main image

- Experimental details
- Flow Cytometry: TLR4 Antibody (76B357.1) [NB100-56566] - Surface staining of mouse splenocytes using TLR4 antibody (0.5 ug/10^6 cells) and a PE-conjugated secondary this antibody . Shaded histogram represents cells without TLR4 antibody; green represents isotype control (BD Pharmingen) red represents TLR4 antibody.
- Submitted by
- Novus Biologicals (provider)
- Main image

- Experimental details
- Flow Cytometry: TLR4 Antibody (76B357.1) [NB100-56566] - Analysis of FITC conjugate of NB100-56566. Cell surface TLR4 in human monocyte-derived dendritic cells using this antibody at 1:200 (2.5 ug). Black and green open histograms represent unstained cells and negative control (anti-human CD14 FITC, respectivel
- Submitted by
- Novus Biologicals (provider)
- Main image

- Experimental details
- Flow Cytometry: TLR4 Antibody (76B357.1) [NB100-56566] - An intracellular stain was performed on Jurkat cells with TLR4 antibody (76B357.1) NBP2-27149AF488 (blue) and a matched isotype control (orange). Cells were fixed with 4% PFA and then permeablized with 0.1% saponin. Cells were incubated in an antibody dilution of 10 ug/mL for 30 minutes at room temperature. Both antibodies were conjugated to Alexa Fluor 488.
- Submitted by
- Novus Biologicals (provider)
- Main image

- Experimental details
- Flow (Intracellular): TLR4 Antibody (76B357.1) [NB100-56566] - An intracellular stain was performed on Jurkat cells with TLR4 antibody (76B357.1) NBP2-27149AF647 (blue) and a matched isotype control (orange). Cells were fixed with 4% PFA and then permeablized with 0.1% saponin. Cells were incubated in an antibody dilution of 2.5 ug/mL for 30 minutes at room temperature. Both antibodies were conjugated to Alexa Fluor 647. Image from the Alexa Fluor 647 version of this antibody.
- Submitted by
- Novus Biologicals (provider)
- Main image

- Experimental details
- Flow (Intracellular): TLR4 Antibody (76B357.1) [NB100-56566] - Flow Cytometry: TLR4 Antibody (76B357.1) - Azide Free [NBP2-27149] - An intracellular stain was performed on Jurkat cells with TLR4 antibody (76B357.1) NBP2-27149APC (blue) and a matched isotype control (orange). Cells were fixed with 4% PFA and then permeablized with 0.1% saponin. Cells were incubated in an antibody dilution of 1 ug/mL for 30 minutes at room temperature. Both antibodies were conjugated to Allophycocyanin.