Antibody data
- Antibody Data
- Antigen structure
- References [0]
- Comments [0]
- Validations
- Western blot [1]
- Immunohistochemistry [1]
- Flow cytometry [1]
Submit
Validation data
Reference
Comment
Report error
- Product number
- AP10275a - Provider product page

- Provider
- Abcepta
- Proper citation
- Abgent Cat#AP10275a, RRID:AB_10836971
- Product name
- RPS6 (Ser240/244) Antibody
- Antibody type
- Polyclonal
- Antigen
- Synthetic peptide
- Description
- Peptide Affinity Purified Rabbit Polyclonal Antibody (Pab)
- Reactivity
- Human
- Host
- Rabbit
- Isotype
- IgG
- Vial size
- 400 µl
- Concentration
- 0.5 mg/ml
- Storage
- Maintain refrigerated at 2-8°C for up to 6 months. For long term storage store at -20°C in small aliquots to prevent freeze-thaw cycles.
No comments: Submit comment
Supportive validation
- Submitted by
- Abcepta (provider)
- Main image

- Experimental details
- "Western blot analysis of lysate from HeLa cell line, using RPS6 Antibody(Ser240/244)(Cat. #AP10275a). AP10275a was diluted at 1:1000 at each lane. A goat anti-rabbit IgG H&L(HRP) at 1:5000 dilution was used as the secondary antibody. Lysate at 35ug per lane. "
- Primary Ab dilution
- 1:1000
Supportive validation
- Submitted by
- Abcepta (provider)
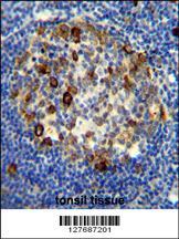
- Main image

- Experimental details
- RPS6 antibody (Ser240/244) (Cat. #AP10275a) immunohistochemistry analysis in formalin fixed and paraffin embedded human tonsil tissue followed by peroxidase conjugation of the secondary antibody and DAB staining. This data demonstrates the use of the RPS6 antibody (Ser240/244) for immunohistochemistry. Clinical relevance has not been evaluated.
- Primary Ab dilution
- 1:50~100
Supportive validation
- Submitted by
- Abcepta (provider)
- Main image

- Experimental details
- RPS6 Antibody (Ser240/244) (Cat. #AP10275a) flow cytometric analysis of WiDr cells (right histogram) compared to a negative control cell (left histogram).FITC-conjugated goat-anti-rabbit secondary antibodies were used for the analysis.
- Primary Ab dilution
- 1:10~50