Antibody data
- Antibody Data
- Antigen structure
- References [25]
- Comments [0]
- Validations
- Immunohistochemistry [2]
Submit
Validation data
Reference
Comment
Report error
- Product number
- 10489-1-AP - Provider product page

- Provider
- Proteintech Group
- Proper citation
- Proteintech Cat#10489-1-AP, RRID:AB_2183628
- Product name
- S100A14 antibody
- Antibody type
- Polyclonal
- Description
- KD/KO validated S100A14 antibody (Cat. #10489-1-AP) is a rabbit polyclonal antibody that shows reactivity with human, mouse, rat and has been validated for the following applications: IF, IHC, WB,ELISA.
- Reactivity
- Human, Mouse, Rat
- Host
- Rabbit
- Conjugate
- Unconjugated
- Isotype
- IgG
- Vial size
- 20ul, 150ul
Submitted references hRpn13 shapes the proteome and transcriptome through epigenetic factors HDAC8, PADI4, and transcription factor NF-κB p50.
CAV2 promotes the invasion and metastasis of head and neck squamous cell carcinomas by regulating S100 proteins.
Disruption of enhancer-driven S100A14 expression promotes esophageal carcinogenesis.
Significance of a calcium-binding protein S100A14 expression in colon cancer progression.
ZHX2 inhibits thyroid cancer metastasis through transcriptional inhibition of S100A14.
Construction of immune-related signature and identification of S100A14 determining immune-suppressive microenvironment in pancreatic cancer.
A new 7-gene survival score assay for pancreatic cancer patient prognosis prediction.
S100A16 suppresses the proliferation, migration and invasion of colorectal cancer cells in part via the JNK/p38 MAPK pathway.
S100A14 promotes progression and gemcitabine resistance in pancreatic cancer.
S100A14 suppresses metastasis of nasopharyngeal carcinoma by inhibition of NF-kB signaling through degradation of IRAK1.
Loss of S100A14 expression at the tumor-invading front correlates with poor differentiation and worse prognosis in oral squamous cell carcinoma.
Overexpression of S100A14 contributes to malignant progression and predicts poor prognosis of lung adenocarcinoma.
Calcium-binding protein S100A14 induces differentiation and suppresses metastasis in gastric cancer.
SOX2 suppresses the mobility of urothelial carcinoma by promoting the expression of S100A14.
KCNN4 and S100A14 act as predictors of recurrence in optimally debulked patients with serous ovarian cancer.
Differentially expressed genes in preimplantation human embryos: potential candidate genes for blastocyst formation and implantation.
S100A14 is a novel independent prognostic biomarker in the triple-negative breast cancer subtype.
Downregulation of 425G>a variant of calcium-binding protein S100A14 associated with poor differentiation and prognosis in gastric cancer.
Profiling of chromosomal changes in potentially malignant and malignant oral mucosal lesions from South and South-East Asia using array-comparative genomic hybridization.
The role of S100A14 in epithelial ovarian tumors.
S100A14 interacts with S100A16 and regulates its expression in human cancer cells.
Differential proteomic analysis of cancer stem cell properties in hepatocellular carcinomas by isobaric tag labeling and mass spectrometry.
Functional heterogeneity within the CD44 high human breast cancer stem cell-like compartment reveals a gene signature predictive of distant metastasis.
S100A14 inhibits proliferation of oral carcinoma derived cells through G1-arrest.
S100A14 regulates the invasive potential of oral squamous cell carcinoma derived cell-lines in vitro by modulating expression of matrix metalloproteinases, MMP1 and MMP9.
Osei-Amponsa V, Chandravanshi M, Lu X, Magidson V, Das S, Andresson T, Dyba M, Sabbasani VR, Swenson RE, Fromont C, Shrestha B, Zhao Y, Clapp ME, Chari R, Walters KJ
Molecular cell 2024 Feb 1;84(3):522-537.e8
Molecular cell 2024 Feb 1;84(3):522-537.e8
CAV2 promotes the invasion and metastasis of head and neck squamous cell carcinomas by regulating S100 proteins.
Wang Y, Wang Y, Liu R, Wang C, Luo Y, Chen L, He Y, Zhu K, Guo H, Zhang Z, Luo J
Cell death discovery 2022 Sep 16;8(1):386
Cell death discovery 2022 Sep 16;8(1):386
Disruption of enhancer-driven S100A14 expression promotes esophageal carcinogenesis.
Li X, Ding F, Wang L, Chen H, Liu Z
Cancer letters 2022 Oct 1;545:215833
Cancer letters 2022 Oct 1;545:215833
Significance of a calcium-binding protein S100A14 expression in colon cancer progression.
Hashida H, Coffey RJ
Journal of gastrointestinal oncology 2022 Feb;13(1):149-162
Journal of gastrointestinal oncology 2022 Feb;13(1):149-162
ZHX2 inhibits thyroid cancer metastasis through transcriptional inhibition of S100A14.
Zhang Y, Sun M, Gao L, Liang X, Ma C, Lu J, Yue X
Cancer cell international 2022 Feb 12;22(1):76
Cancer cell international 2022 Feb 12;22(1):76
Construction of immune-related signature and identification of S100A14 determining immune-suppressive microenvironment in pancreatic cancer.
Wang C, Chen Y, Xinpeng Y, Xu R, Song J, Ruze R, Xu Q, Zhao Y
BMC cancer 2022 Aug 11;22(1):879
BMC cancer 2022 Aug 11;22(1):879
A new 7-gene survival score assay for pancreatic cancer patient prognosis prediction.
Luo L, Li Y, Huang C, Lin Y, Su Y, Cen H, Chen Y, Peng S, Ren T, Xie R, Zeng L
American journal of cancer research 2021;11(2):495-512
American journal of cancer research 2021;11(2):495-512
S100A16 suppresses the proliferation, migration and invasion of colorectal cancer cells in part via the JNK/p38 MAPK pathway.
Ou S, Liao Y, Shi J, Tang J, Ye Y, Wu F, Wang W, Fei J, Xie F, Bai L
Molecular medicine reports 2021 Feb;23(2)
Molecular medicine reports 2021 Feb;23(2)
S100A14 promotes progression and gemcitabine resistance in pancreatic cancer.
Zhu H, Gao W, Li X, Yu L, Luo D, Liu Y, Yu X
Pancreatology : official journal of the International Association of Pancreatology (IAP) ... [et al.] 2021 Apr;21(3):589-598
Pancreatology : official journal of the International Association of Pancreatology (IAP) ... [et al.] 2021 Apr;21(3):589-598
S100A14 suppresses metastasis of nasopharyngeal carcinoma by inhibition of NF-kB signaling through degradation of IRAK1.
Meng DF, Sun R, Liu GY, Peng LX, Zheng LS, Xie P, Lin ST, Mei Y, Qiang YY, Li CZ, Xu L, Peng XS, Hu H, Lang YH, Liu ZJ, Wang MD, Guo LL, Xie DH, Shu DT, Li HF, Luo FF, Niu XT, Huang BJ, Qian CN
Oncogene 2020 Jul;39(30):5307-5322
Oncogene 2020 Jul;39(30):5307-5322
Loss of S100A14 expression at the tumor-invading front correlates with poor differentiation and worse prognosis in oral squamous cell carcinoma.
Pandey S, Osman TA, Sharma S, Vallenari EM, Shahdadfar A, Pun CB, Gautam DK, Uhlin-Hansen L, Rikardsen O, Johannessen AC, Costea DE, Sapkota D
Head & neck 2020 Aug;42(8):2088-2098
Head & neck 2020 Aug;42(8):2088-2098
Overexpression of S100A14 contributes to malignant progression and predicts poor prognosis of lung adenocarcinoma.
Ding F, Wang D, Li XK, Yang L, Liu HY, Cui W, Liu ZH, Che YQ
Thoracic cancer 2018 Jul;9(7):827-835
Thoracic cancer 2018 Jul;9(7):827-835
Calcium-binding protein S100A14 induces differentiation and suppresses metastasis in gastric cancer.
Zhu M, Wang H, Cui J, Li W, An G, Pan Y, Zhang Q, Xing R, Lu Y
Cell death & disease 2017 Jul 20;8(7):e2938
Cell death & disease 2017 Jul 20;8(7):e2938
SOX2 suppresses the mobility of urothelial carcinoma by promoting the expression of S100A14.
Lee MS, Hsu WT, Deng YF, Lin CW, Weng EY, Chang HP, Wu SF, Li C
Biochemistry and biophysics reports 2016 Sep;7:230-239
Biochemistry and biophysics reports 2016 Sep;7:230-239
KCNN4 and S100A14 act as predictors of recurrence in optimally debulked patients with serous ovarian cancer.
Zhao H, Guo E, Hu T, Sun Q, Wu J, Lin X, Luo D, Sun C, Wang C, Zhou B, Li N, Xia M, Lu H, Meng L, Xu X, Hu J, Ma D, Chen G, Zhu T
Oncotarget 2016 Jul 12;7(28):43924-43938
Oncotarget 2016 Jul 12;7(28):43924-43938
Differentially expressed genes in preimplantation human embryos: potential candidate genes for blastocyst formation and implantation.
Munch EM, Sparks AE, Gonzalez Bosquet J, Christenson LK, Devor EJ, Van Voorhis BJ
Journal of assisted reproduction and genetics 2016 Aug;33(8):1017-25
Journal of assisted reproduction and genetics 2016 Aug;33(8):1017-25
S100A14 is a novel independent prognostic biomarker in the triple-negative breast cancer subtype.
Ehmsen S, Hansen LT, Bak M, Brasch-Andersen C, Ditzel HJ, Leth-Larsen R
International journal of cancer 2015 Nov 1;137(9):2093-103
International journal of cancer 2015 Nov 1;137(9):2093-103
Downregulation of 425G>a variant of calcium-binding protein S100A14 associated with poor differentiation and prognosis in gastric cancer.
Zhang Q, Zhu M, Cheng W, Xing R, Li W, Zhao M, Xu L, Li E, Luo G, Lu Y
Journal of cancer research and clinical oncology 2015 Apr;141(4):691-703
Journal of cancer research and clinical oncology 2015 Apr;141(4):691-703
Profiling of chromosomal changes in potentially malignant and malignant oral mucosal lesions from South and South-East Asia using array-comparative genomic hybridization.
Lunde ML, Roman E, Warnakulasuriya S, Mehrotra R, Laranne J, Vasstrand EN, Ibrahim SO
Cancer genomics & proteomics 2014 May-Jun;11(3):127-40
Cancer genomics & proteomics 2014 May-Jun;11(3):127-40
The role of S100A14 in epithelial ovarian tumors.
Cho H, Shin HY, Kim S, Kim JS, Chung JY, Chung EJ, Chun KH, Hewitt SM, Kim JH
Oncotarget 2014 Jun 15;5(11):3482-96
Oncotarget 2014 Jun 15;5(11):3482-96
S100A14 interacts with S100A16 and regulates its expression in human cancer cells.
Sapkota D, Costea DE, Ibrahim SO, Johannessen AC, Bruland O
PloS one 2013;8(9):e76058
PloS one 2013;8(9):e76058
Differential proteomic analysis of cancer stem cell properties in hepatocellular carcinomas by isobaric tag labeling and mass spectrometry.
Ko CH, Cheng CF, Lai CP, Tzu TH, Chiu CW, Lin MW, Wu SY, Sun CY, Tseng HW, Wang CC, Kuo ZK, Wang LM, Chen SF
Journal of proteome research 2013 Aug 2;12(8):3573-85
Journal of proteome research 2013 Aug 2;12(8):3573-85
Functional heterogeneity within the CD44 high human breast cancer stem cell-like compartment reveals a gene signature predictive of distant metastasis.
Leth-Larsen R, Terp MG, Christensen AG, Elias D, Kühlwein T, Jensen ON, Petersen OW, Ditzel HJ
Molecular medicine (Cambridge, Mass.) 2012 Sep 25;18(1):1109-21
Molecular medicine (Cambridge, Mass.) 2012 Sep 25;18(1):1109-21
S100A14 inhibits proliferation of oral carcinoma derived cells through G1-arrest.
Sapkota D, Costea DE, Blø M, Bruland O, Lorens JB, Vasstrand EN, Ibrahim SO
Oral oncology 2012 Mar;48(3):219-25
Oral oncology 2012 Mar;48(3):219-25
S100A14 regulates the invasive potential of oral squamous cell carcinoma derived cell-lines in vitro by modulating expression of matrix metalloproteinases, MMP1 and MMP9.
Sapkota D, Bruland O, Costea DE, Haugen H, Vasstrand EN, Ibrahim SO
European journal of cancer (Oxford, England : 1990) 2011 Mar;47(4):600-10
European journal of cancer (Oxford, England : 1990) 2011 Mar;47(4):600-10
No comments: Submit comment
Supportive validation
- Submitted by
- Proteintech Group (provider)
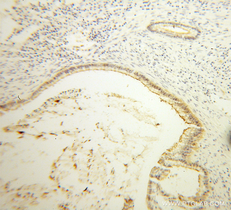
- Main image

- Experimental details
- Immunohistochemical of paraffin-embedded human colon cancer using 10489-1-AP(S100A14 antibody) at dilution of 1:100 (under 10x lens)
- Sample type
- tissue
- Submitted by
- Proteintech Group (provider)
- Main image

- Experimental details
- The S100A14 antibody from Proteintech is a rabbit polyclonal antibody to a recombinant protein of human S100A14. This antibody recognizes human,mouse,rat antigen. The S100A14 antibody has been validated for the following applications: ELISA, IHC analysis.