Antibody data
- Antibody Data
- Antigen structure
- References [0]
- Comments [0]
- Validations
- Immunohistochemistry [3]
- Other assay [1]
Submit
Validation data
Reference
Comment
Report error
- Product number
- 57402-MSM1-P0 - Provider product page

- Provider
- Invitrogen Antibodies
- Product name
- S100A14 (S100 calcium binding protein A14) Monoclonal Antibody (S100A14/7401)
- Antibody type
- Monoclonal
- Antigen
- Recombinant full-length protein
- Reactivity
- Human
- Host
- Mouse
- Isotype
- IgG
- Antibody clone number
- S100A14/7401
- Vial size
- 20 µg
- Concentration
- 200 µg/mL
- Storage
- 4° C, do not freeze
No comments: Submit comment
Supportive validation
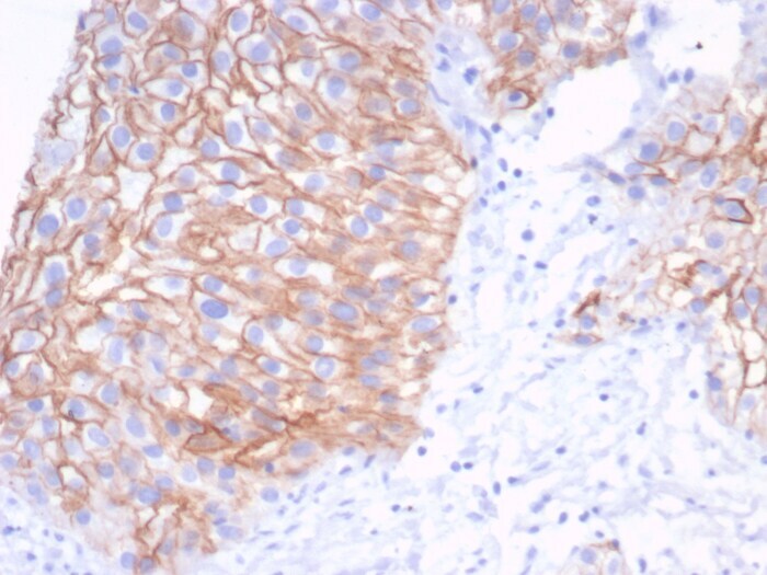
- Submitted by
- Invitrogen Antibodies (provider)
- Main image

- Experimental details
- Formalin-fixed, paraffin-embedded human bladder stained with S100A14 Mouse Monoclonal Antibody (S100A14/7401). HIER: Tris/EDTA, pH9.0, 45 min. 2 °: HRP-polymer, 30 min. DAB, 5 min.
- Submitted by
- Invitrogen Antibodies (provider)
- Main image

- Experimental details
- Formalin-fixed, paraffin-embedded human normal colon stained with S100A14 Mouse Monoclonal Antibody (S100A14/7401). HIER: Tris/EDTA, pH9.0, 45 min. 2 °: HRP-polymer, 30 min. DAB, 5 min.
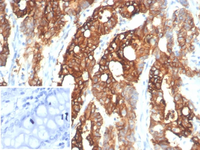
- Submitted by
- Invitrogen Antibodies (provider)
- Main image

- Experimental details
- Formalin-fixed, paraffin-embedded human colon carcinoma stained with S100A14 Mouse Monoclonal Antibody (S100A14/7401). Inset: PBS instead of primary antibody; secondary only negative control.
Supportive validation
- Submitted by
- Invitrogen Antibodies (provider)
- Main image

- Experimental details
- SDS-PAGE analysis Purified S100A14 Mouse Monoclonal Antibody (S100A14/7401). Confirmation of Purity and Integrity of Antibody.