Antibody data
- Antibody Data
 - Antigen structure
 - References [0]
 - Comments [0]
 - Validations
 - Western blot [1]
 - Immunocytochemistry [1]
 - Immunohistochemistry [1]
 - Flow cytometry [1]
 
Submit
Validation data
Reference
Comment
Report error
- Product number
 - MAB10615 - Provider product page

 - Provider
 - Abnova Corporation
 - Proper citation
 - Abnova Corporation Cat#MAB10615, RRID:AB_11188925
 - Product name
 - CRTC2 monoclonal antibody, clone 5B10
 - Antibody type
 - Monoclonal
 - Description
 - Mouse monoclonal antibody raised against partial recombinant CRTC2.
 - Isotype
 - IgG
 - Antibody clone number
 - 5B10
 - Storage
 - Store at 4°C. For long term storage store at -20°C.Aliquot to avoid repeated freezing and thawing.
 
				No comments: Submit comment	
	
			
							
					Supportive validation
					
									
				
				- Submitted by
 - Abnova Corporation (provider)
 - Main image
 
- Experimental details
 - Western blot analysis using CRTC2 monoclonal antibody, clone 5B10 (Cat # MAB10615) against HeLa (1) and HEK293 (2) cell lysate.
 
							
					Supportive validation
					
									
				
				- Submitted by
 - Abnova Corporation (provider)
 - Main image
 
- Experimental details
 - Immunofluorescence analysis of HeLa cells using CRTC2 monoclonal antibody, clone 5B10 (Cat # MAB10615) (green) . Blue: DRAQ5 fluorescent DNA dye. Red: Actin filaments have been labeled with Alexa Fluor-555 phalloidin.
 - Validation comment
 - Immunofluorescence
 
							
					Supportive validation
					
									
				
				- Submitted by
 - Abnova Corporation (provider)
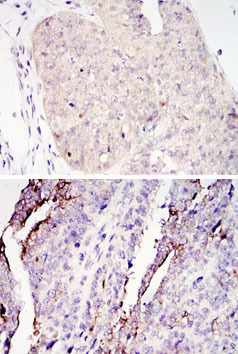
 - Main image
 
- Experimental details
 - Immunohistochemical analysis of paraffin-embedded human ovary tumour tissues (upper) and lung cancer (bottom) using CRTC2 monoclonal antibody, clone 5B10 (Cat # MAB10615) with DAB staining.
 - Validation comment
 - Immunohistochemistry (Formalin/PFA-fixed paraffin-embedded sections)
 
							
					Supportive validation
					
									
				
		- Submitted by
 - Abnova Corporation (provider)
 - Main image
 
- Experimental details
 - Flow cytometric analysis of HeLa cells using CRTC2 monoclonal antibody, clone 5B10 (Cat # MAB10615) (green) and negative control (purple) .
 - Validation comment
 - Flow Cytometry