Antibody data
- Antibody Data
- Antigen structure
- References [0]
- Comments [0]
- Validations
- Western blot [1]
- Immunohistochemistry [9]
Submit
Validation data
Reference
Comment
Report error
- Product number
- ARG52738 - Provider product page

- Provider
- Arigo
- Product name
- anti-CD278/ICOS antibody [SP98]
- Antibody type
- Monoclonal
- Antigen
- Synthetic peptide corresponding to C-terminus of human CD278.
- Description
- Purified by protein A/G
- Reactivity
- Human
- Host
- Rabbit
- Isotype
- IgG
- Antibody clone number
- SP98
- Vial size
- 100 µl
- Storage
- Aliquot and store at 2-8°C. Do not freeze. The antibody solution should be gently mixed before use.
- Handling
- The antibody solution should be gently mixed before use.
No comments: Submit comment
Supportive validation
- Submitted by
- Arigo (provider)
- Main image

- Experimental details
- Western Blot: Reactive Lymph Node stained with CD278/ICOS antibody [SP98] (ARG52738)
Supportive validation
- Submitted by
- Arigo (provider)
- Main image

- Experimental details
- Immunohistochemistry: Human Cervical Squamous Cell Carcinoma stained with CD278/ICOS antibody [SP98] (ARG52738)
- Submitted by
- Arigo (provider)
- Main image

- Experimental details
- Immunohistochemistry: Human Endometrium stained with CD278/ICOS antibody [SP98] (ARG52738)
- Submitted by
- Arigo (provider)
- Main image

- Experimental details
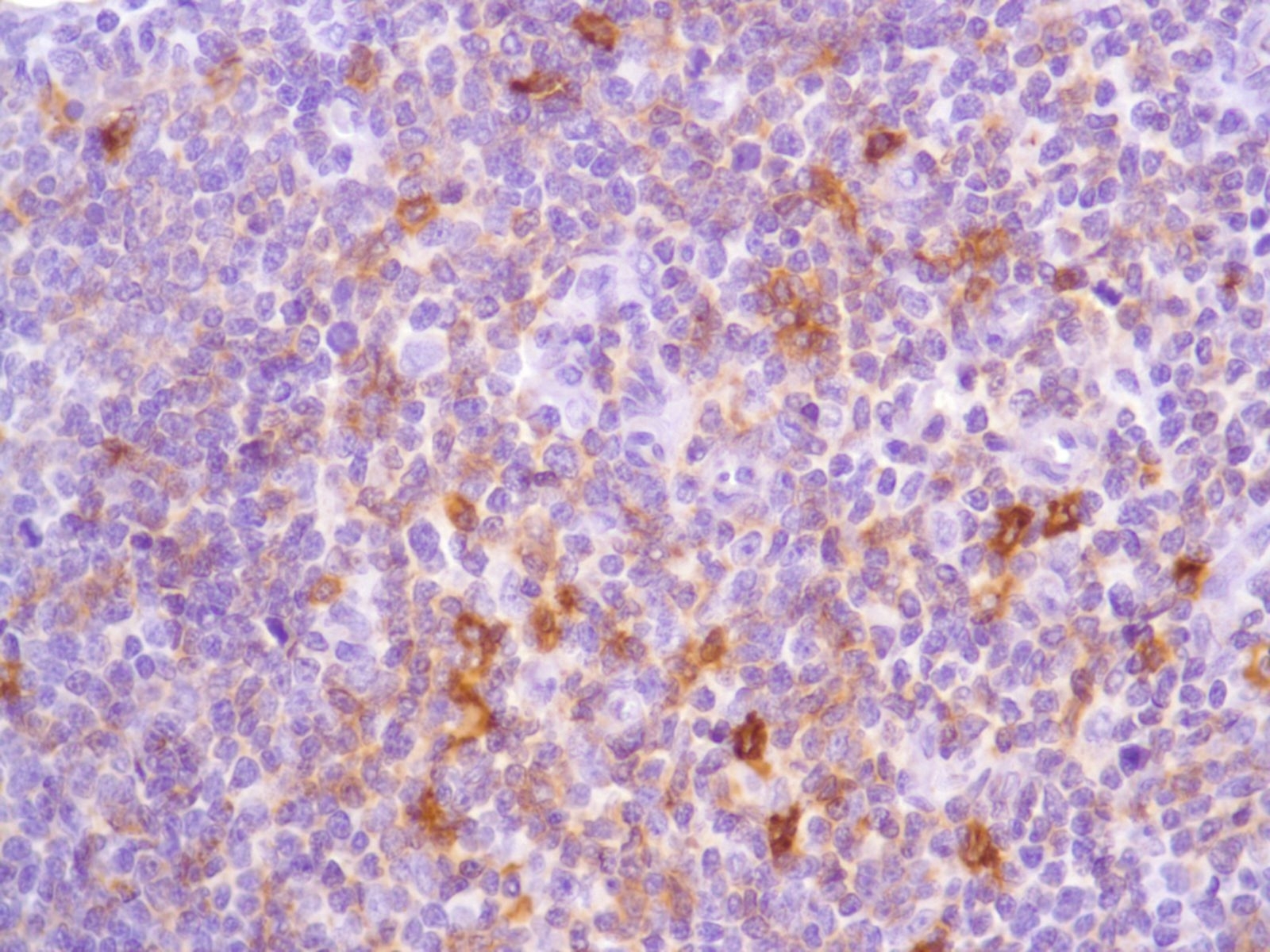
- Immunohistochemistry: Human HK Lymphoma stained with CD278/ICOS antibody [SP98] (ARG52738)
- Submitted by
- Arigo (provider)
- Main image

- Experimental details
- Immunohistochemistry: Human Lung Adenocarcinoma stained with CD278/ICOS antibody [SP98] (ARG52738)
- Submitted by
- Arigo (provider)
- Main image

- Experimental details
- Immunohistochemistry: Human Lung Squamous Cell Carcinoma stained with CD278/ICOS antibody [SP98] (ARG52738)
- Submitted by
- Arigo (provider)
- Main image

- Experimental details
- Immunohistochemistry: Human Pancreatic Adenocarcinoma stained with CD278/ICOS antibody [SP98] (ARG52738)
- Submitted by
- Arigo (provider)
- Main image

- Experimental details
- Immunohistochemistry: Human Thymus stained with CD278/ICOS antibody [SP98] (ARG52738)
- Submitted by
- Arigo (provider)
- Main image

- Experimental details
- Immunohistochemistry: Human Thyroid stained with CD278/ICOS antibody [SP98] (ARG52738)
- Submitted by
- Arigo (provider)
- Main image

- Experimental details
- Immunohistochemistry: Human Tonsil stained with CD278/ICOS antibody [SP98] (ARG52738)