STJ29814
antibody from St John's Laboratory
		Targeting: EZR
		
		VIL2	
	
	
	
	Antibody data
- Antibody Data
- Antigen structure
- References [0]
- Comments [0]
- Validations
- Western blot [1]
- Immunohistochemistry [2]
- Chromatin Immunoprecipitation [1]
Submit
Validation data
Reference
Comment
Report error
- Product number
- STJ29814 - Provider product page 
- Provider
- St John's Laboratory
- Product name
- Anti-EZR antibody (350-470) (STJ29814)
- Antibody type
- Polyclonal
- Description
- Rabbit polyclonal antibody anti-EZR (350-470) is suitable for use in Western Blot, Immunohistochemistry, Immunofluorescence and Immunoprecipitation.
- Reactivity
- Human, Mouse, Rat
- Host
- Rabbit
- Conjugate
- Unconjugated
- Antigen sequence
- NA
- Epitope
- NA
- Isotype
- IgG
- Antibody clone number
- NA
- Vial size
- NA
- Concentration
- NA
- Storage
- Store in a freezer at-20°C and avoid freeze-thaw cycles.
- Handling
- NA
				No comments: Submit comment	
	
			
							
					Supportive validation
					
									
				
		
				- Submitted by
- St John's Laboratory (provider)
- Main image
 
- Experimental details
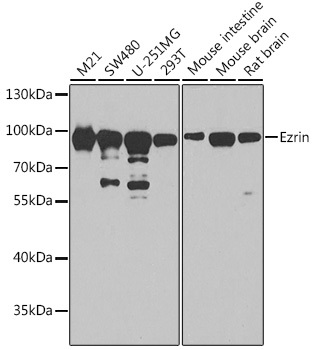
- Western blot analysis of extracts of various cell lines, using Ezrinin antibody (STJ29814) at 1:1000 dilution. Secondary antibody: HRP Goat Anti-rabbit IgG (H+L) at 1:10000 dilution. Lysates/proteins: 25ug per lane. Blocking buffer: 3% nonfat dry milk in TBST. Detection: ECL Basic Kit. Exposure time: 30s.
- Sample type
- NA
- Validation comment
- NA
- Primary Ab dilution
- NA
- Other comments
- NA
- Secondary Ab
- NA
- Secondary Ab dilution
- NA
- Protocol
- NA
							
					Supportive validation
					
									
				
Supportive validation
		
				- Submitted by
- St John's Laboratory (provider)
- Main image
 
- Experimental details
- Immunofluorescence analysis of C6 cells using Ezrinin antibody (STJ29814) at dilution of 1:100. Blue: DAPI for nuclear staining.
- Sample type
- NA
- Validation comment
- NA
- Primary Ab dilution
- NA
- Other comments
- NA
- Secondary Ab
- NA
- Secondary Ab dilution
- NA
- Protocol
- NA
Supportive validation
- Submitted by
- St John's Laboratory (provider)
- Main image
 
- Experimental details
- Immunofluorescence analysis of U-2 OS cells using Ezrinin antibody (STJ29814) at dilution of 1:100. Blue: DAPI for nuclear staining.
- Sample type
- NA
- Validation comment
- NA
- Primary Ab dilution
- NA
- Other comments
- NA
- Secondary Ab
- NA
- Secondary Ab dilution
- NA
- Protocol
- NA
							
					Supportive validation
					
									
				
		
		- Submitted by
- St John's Laboratory (provider)
- Main image
 
- Experimental details
- Immunoprecipitation analysis of 200ug extracts of 293T cells, using 3 ug Ezrinin antibody (STJ29814). Western blot was performed from the immunoprecipitate using Ezrinin antibody (STJ29814) at a dilition of 1:1000.
- Sample type
- NA
- Validation comment
- NA
- Primary Ab dilution
- NA
- Other comments
- NA
- Secondary Ab
- NA
- Secondary Ab dilution
- NA
- Protocol
- NA