Antibody data
- Antibody Data
- Antigen structure
- References [0]
- Comments [0]
- Validations
- Western blot [1]
- Immunohistochemistry [2]
- Protein array [1]
Submit
Validation data
Reference
Comment
Report error
- Product number
- V7464 - Provider product page 
- Provider
- NSJ Bioreagents
- Product name
- Ezrin Antibody / EZR
- Antibody type
- Monoclonal
- Description
- This highly specific Ezrin antibody is suitable for use in Western blot/Immunohistochemistry applications with human samples.
- Reactivity
- Human
- Host
- Mouse
- Conjugate
- Unconjugated
- Antibody clone number
- CPTC-Ezrin-1
- Vial size
- 20 ug (with BSA and sodium azide), 100 ug (with BSA and sodium azide), 100 ug (without BSA or sodium azide), 7 ml IHC only format (if applicable)
- Concentration
- 0.2 mg/ml, 1 mg/ml
- Storage
- Store the Ezrin antibody at 2-8oC (with azide) or aliquot and store at -20oC or colder (without azide).
				No comments: Submit comment	
	
			
							
					Supportive validation
					
									
				
				- Submitted by
- NSJ Bioreagents (provider)
- Main image
 
- Experimental details
- Western blot testing of human SK-BR-3, HeLa, HEK293 and MCF-7 cell lysate with Ezrin antibody. Expected molecular weight: 70-80 kDa.
							
					Supportive validation
					
									
				
				- Submitted by
- NSJ Bioreagents (provider)
- Main image
 
- Experimental details
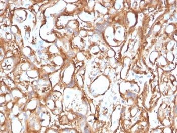
- IHC testing of FFPE human prostate carcinoma with Ezrin antibody. Required HIER: boiling tissue sections in 10mM citrate buffer, pH 6, for 10-20 min and allow to cool prior to staining.
- Submitted by
- NSJ Bioreagents (provider)
- Main image
 
- Experimental details
- IHC testing of FFPE human placenta with Ezrin antibody. Required HIER: boiling tissue sections in 10mM citrate buffer, pH 6, for 10-20 min and allow to cool prior to staining.
							
					Supportive validation
					
									
				
		- Submitted by
- NSJ Bioreagents (provider)
- Main image
 
- Experimental details
- Analysis of HuProt(TM) microarray containing more than 19,000 full-length human proteins using Ezrin antibody (clone CPTC-Ezrin-1). These results demonstrate the foremost specificity of the CPTC-Ezrin-1 mAb.Z- and S- score: The Z-score represents the strength of a signal that an antibody (in combination with a fluorescently-tagged anti-IgG secondary Ab) produces when binding to a particular protein on the HuProt(TM) array. Z-scores are described in units of standard deviations (SD's) above the mean value of all signals generated on that array. If the targets on the HuProt(TM) are arranged in descending order of the Z-score, the S-score is the difference (also in units of SD's) between the Z-scores. The S-score therefore represents the relative target specificity of an Ab to its intended target.