Antibody data
- Antibody Data
- Antigen structure
- References [5]
- Comments [0]
- Validations
- Western blot [1]
- Immunocytochemistry [1]
- Immunohistochemistry [1]
Submit
Validation data
Reference
Comment
Report error
- Product number
- 10095-2-AP - Provider product page

- Provider
- Proteintech Group
- Proper citation
- Proteintech Cat#10095-2-AP, RRID:AB_2096987
- Product name
- EEF1B2 antibody
- Antibody type
- Polyclonal
- Description
- KD/KO validated EEF1B2 antibody (Cat. #10095-2-AP) is a rabbit polyclonal antibody that shows reactivity with human, mouse, rat and has been validated for the following applications: IF, IHC, IP, WB, ELISA.
- Reactivity
- Human, Mouse, Rat
- Host
- Rabbit
- Conjugate
- Unconjugated
- Isotype
- IgG
- Vial size
- 20ul, 150ul
Submitted references Strain-Specific Contribution of Eukaryotic Elongation Factor 1 Gamma to the Translation of Influenza A Virus Proteins.
The MBNL3 splicing factor promotes hepatocellular carcinoma by increasing PXN expression through the alternative splicing of lncRNA-PXN-AS1.
Characterisation of translation elongation factor eEF1B subunit expression in mammalian cells and tissues and co-localisation with eEF1A2.
Translational repression by RNA-binding protein TIAR.
En masse analysis of nascent translation using microarrays.
Sammaibashi S, Yamayoshi S, Kawaoka Y
Frontiers in microbiology 2018;9:1446
Frontiers in microbiology 2018;9:1446
The MBNL3 splicing factor promotes hepatocellular carcinoma by increasing PXN expression through the alternative splicing of lncRNA-PXN-AS1.
Yuan JH, Liu XN, Wang TT, Pan W, Tao QF, Zhou WP, Wang F, Sun SH
Nature cell biology 2017 Jul;19(7):820-832
Nature cell biology 2017 Jul;19(7):820-832
Characterisation of translation elongation factor eEF1B subunit expression in mammalian cells and tissues and co-localisation with eEF1A2.
Cao Y, Portela M, Janikiewicz J, Doig J, Abbott CM
PloS one 2014;9(12):e114117
PloS one 2014;9(12):e114117
Translational repression by RNA-binding protein TIAR.
Mazan-Mamczarz K, Lal A, Martindale JL, Kawai T, Gorospe M
Molecular and cellular biology 2006 Apr;26(7):2716-27
Molecular and cellular biology 2006 Apr;26(7):2716-27
En masse analysis of nascent translation using microarrays.
Mazan-Mamczarz K, Kawai T, Martindale JL, Gorospe M
BioTechniques 2005 Jul;39(1):61-2, 64, 66-7
BioTechniques 2005 Jul;39(1):61-2, 64, 66-7
No comments: Submit comment
Supportive validation
- Submitted by
- Proteintech Group (provider)
- Main image

- Experimental details
- SKOV-3 cells were subjected to SDS PAGE followed by western blot with 10095-2-AP(EEF1B2 antibody) at dilution of 1:1000
- Sample type
- cell line
Supportive validation
- Submitted by
- Proteintech Group (provider)
- Main image

- Experimental details
- Immunofluorescent analysis of MCF-7 cells, using 10095-2-AP and Rhodamine-labeled goat anti-rabbit IgG (red).
- Sample type
- cell line
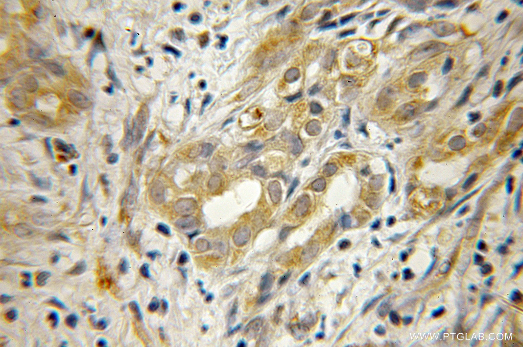
Supportive validation
- Submitted by
- Proteintech Group (provider)
- Main image

- Experimental details
- Immunohistochemical of paraffin-embedded human pancreas cancer using 10095-2-AP(EEF1B2 antibody) at dilution of 1:50 (under 10x lens)
- Sample type
- tissue