NBP2-30626
antibody from Novus Biologicals
Targeting: NAXE
AIBP, APOA1BP, MGC119143, MGC119144, MGC119145, YJEFN1
Antibody data
- Antibody Data
- Antigen structure
- References [0]
- Comments [0]
- Validations
- Western blot [2]
- Immunohistochemistry [5]
Submit
Validation data
Reference
Comment
Report error
- Product number
- NBP2-30626 - Provider product page

- Provider
- Novus Biologicals
- Product name
- Rabbit Polyclonal APOA1BP Antibody
- Antibody type
- Polyclonal
- Description
- Immunogen affinity purified. Specificity of human APOA1BP antibody verified on a Protein Array containing target protein plus 383 other non-specific proteins.
- Reactivity
- Human
- Host
- Rabbit
- Isotype
- IgG
- Vial size
- 0.1 ml
- Storage
- Store at 4C short term. Aliquot and store at -20C long term. Avoid freeze-thaw cycles.
No comments: Submit comment
Supportive validation
- Submitted by
- Novus Biologicals (provider)
- Main image

- Experimental details
- Western Blot: APOA1BP Antibody [NBP2-30626] - Analysis in MCF-7 cells transfected with control siRNA, target specific siRNA probe #1, using Anti-NAXE antibody. Remaining relative intensity is presented. Loading control: Anti-GAPDH.
- Submitted by
- Novus Biologicals (provider)
- Main image

- Experimental details
- Western Blot: APOA1BP Antibody [NBP2-30626] - Analysis using Anti-NAXE antibody NBP2-30626 (A) shows similar pattern to independent antibody NBP2-30943 (B).
Supportive validation
- Submitted by
- Novus Biologicals (provider)
- Main image

- Experimental details
- Immunohistochemistry-Paraffin: APOA1BP Antibody [NBP2-30626] - Staining of human testis.
- Submitted by
- Novus Biologicals (provider)
- Main image

- Experimental details
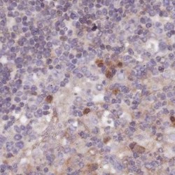
- Immunohistochemistry-Paraffin: APOA1BP Antibody [NBP2-30626] - Staining of human lymph node.
- Submitted by
- Novus Biologicals (provider)
- Main image

- Experimental details
- Immunohistochemistry-Paraffin: APOA1BP Antibody [NBP2-30626] - Staining of human cerebral cortex, kidney, lymph node and testis using Anti-NAXE antibody NBP2-30626 (A) shows similar protein distribution across tissues to independent antibody NBP2-30943 (B).
- Submitted by
- Novus Biologicals (provider)
- Main image

- Experimental details
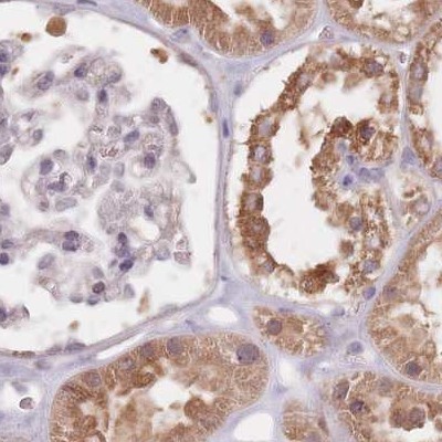
- Immunohistochemistry-Paraffin: APOA1BP Antibody [NBP2-30626] - Staining of human kidney.
- Submitted by
- Novus Biologicals (provider)
- Main image

- Experimental details
- Immunohistochemistry-Paraffin: APOA1BP Antibody [NBP2-30626] - Staining of human cerebral cortex.