PA5-60502
antibody from Invitrogen Antibodies
Targeting: NAXE
AIBP, APOA1BP, MGC119143, MGC119144, MGC119145, YJEFN1
Antibody data
- Antibody Data
- Antigen structure
- References [0]
- Comments [0]
- Validations
- Immunocytochemistry [2]
- Immunohistochemistry [5]
Submit
Validation data
Reference
Comment
Report error
- Product number
- PA5-60502 - Provider product page

- Provider
- Invitrogen Antibodies
- Product name
- APOA1BP Polyclonal Antibody
- Antibody type
- Polyclonal
- Antigen
- Recombinant protein fragment
- Description
- Immunogen sequence: SQTIACRSGP TWWGPQRLNS GGRWDSEVMA STVVKYLSQE EAQAVDQELF NEYQFSVDQL MELAGLSCAT AIAKAYPPTS MSRS Highest antigen sequence identity to the following orthologs: Mouse - 76%, Rat - 75%.
- Reactivity
- Human
- Host
- Rabbit
- Isotype
- IgG
- Vial size
- 100 μL
- Concentration
- 0.1 mg/mL
- Storage
- Store at 4°C short term. For long term storage, store at -20°C, avoiding freeze/thaw cycles.
No comments: Submit comment
Supportive validation
- Submitted by
- Invitrogen Antibodies (provider)
- Main image

- Experimental details
- Immunofluorescent staining of APOA1BP in human cell line CACO-2 shows positivity in nucleus but excluded from the nucleoli. Samples were probed using an APOA1BP Polyclonal Antibody (Product # PA5-60502).
- Submitted by
- Invitrogen Antibodies (provider)
- Main image

- Experimental details
- Immunofluorecent analysis of APOA1BP in human cell line CACO-2 using APOA1BP Polyclonal Antibody (Product # PA5-60502). Staining shows localization to nucleoplasm.
Supportive validation
- Submitted by
- Invitrogen Antibodies (provider)
- Main image

- Experimental details
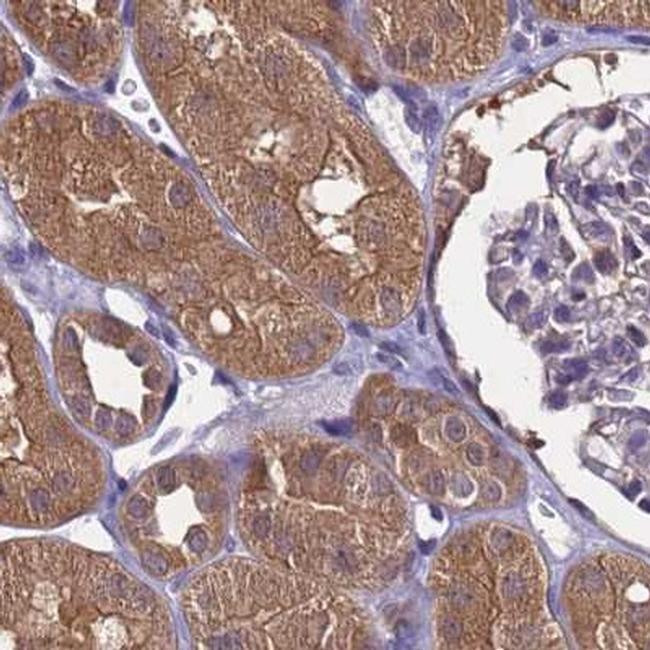
- Immunohistochemical staining of APOA1BP in human kidney using APOA1BP Polyclonal Antibody (Product # PA5-60502).
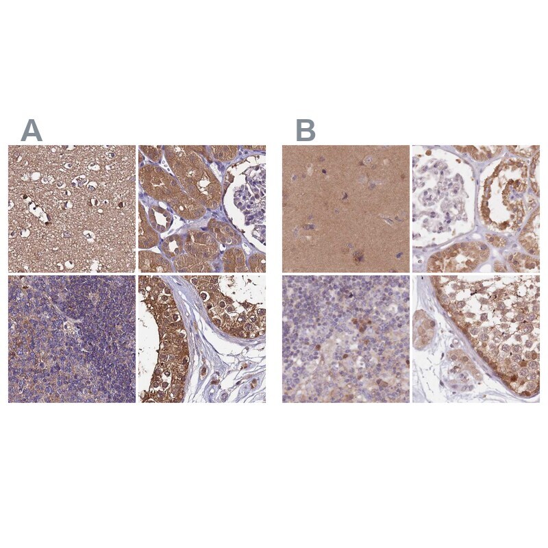
- Submitted by
- Invitrogen Antibodies (provider)
- Main image

- Experimental details
- Immunohistochemical staining of APOA1BP in human cerebral cortex, kidney, lymph node and testis using APOA1BP Polyclonal Antibody (Product # PA5-60502) (A) shows similar protein distribution across tissues to an independent APOA1BP Polyclonal Antibody (B).
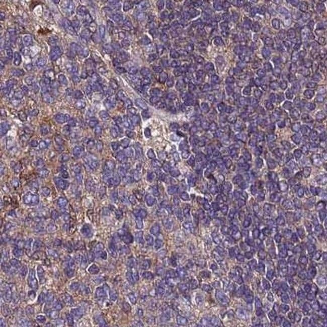
- Submitted by
- Invitrogen Antibodies (provider)
- Main image

- Experimental details
- Immunohistochemical staining of APOA1BP in human lymph node using APOA1BP Polyclonal Antibody (Product # PA5-60502).
- Submitted by
- Invitrogen Antibodies (provider)
- Main image

- Experimental details
- Immunohistochemical staining of APOA1BP in human cerebral cortex using APOA1BP Polyclonal Antibody (Product # PA5-60502).
- Submitted by
- Invitrogen Antibodies (provider)
- Main image

- Experimental details
- Immunohistochemical staining of APOA1BP in human testis using APOA1BP Polyclonal Antibody (Product # PA5-60502).