Antibody data
- Antibody Data
- Antigen structure
- References [0]
- Comments [0]
- Validations
- Western blot [1]
- Immunohistochemistry [1]
Submit
Validation data
Reference
Comment
Report error
- Product number
- AP22454PU-N - Provider product page

- Provider
- OriGene
- Product name
- AIM2 (C-term) goat polyclonal antibody, Aff - Purified
- Antibody type
- Polyclonal
- Description
- AIM2 (C-term) goat polyclonal antibody, Aff - Purified
- Host
- Goat
- Conjugate
- Unconjugated
- Epitope
- AIM2
- Antibody clone number
- NULL
- Vial size
- 100 µg
- Concentration
- 0.5 mg/ml
No comments: Submit comment
Supportive validation
- Submitted by
- OriGene (provider)
- Main image

- Experimental details
- AIM2 antibody staining of IFNbeta-treated WI-38 lysate (35ug protein in RIPA buffer). Primary incubation was 1 hour. Detected by chemiluminescence.
- Validation comment
- WB
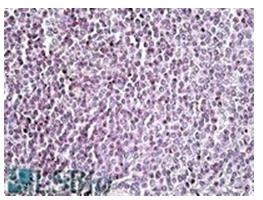
Supportive validation
- Submitted by
- OriGene (provider)
- Main image

- Experimental details
- AIM2 antibody staining of paraffin embedded Human Spleen at 3.8 ug/ml. Steamed antigen retrieval with citrate buffer pH 6, AP-staining.
- Validation comment
- IHC