Antibody data
- Antibody Data
- Antigen structure
- References [0]
- Comments [0]
- Validations
- Western blot [2]
- Immunohistochemistry [1]
Submit
Validation data
Reference
Comment
Report error
- Product number
- R31545 - Provider product page

- Provider
- NSJ Bioreagents
- Product name
- AAMP Antibody
- Antibody type
- Polyclonal
- Description
- This highly specific AAMP antibody is suitable for use in Western blot/Immunohistochemistry/Immunofluorescence/Immunocytochemistry/Flow cytometry applications with human samples.
- Reactivity
- Human
- Host
- Rabbit
- Conjugate
- Unconjugated
- Vial size
- 100 ug
- Concentration
- 0.5mg/ml if reconstituted with 0.2ml sterile DI water
- Storage
- After reconstitution, the AAMP antibody can be stored for up to one month at 4oC. For long-term, aliquot and store at -20oC. Avoid repeated freezing and thawing.
No comments: Submit comment
Supportive validation
- Submitted by
- NSJ Bioreagents (provider)
- Main image

- Experimental details
- Western blot testing of AAMP antibody and Lane 1: A431; 2: HeLa; 3: HEPG2; 4: MCF-7. Expected/observed size ~47KD
- Submitted by
- NSJ Bioreagents (provider)
- Main image

- Experimental details
- Western blot testing of AAMP antibody and recombinant human protein (0.5ng)
Supportive validation
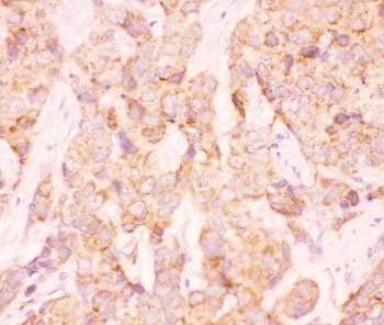
- Submitted by
- NSJ Bioreagents (provider)
- Main image

- Experimental details
- IHC-P: AAMP antibody testing of human breast cancer tissue