Antibody data
- Antibody Data
- Antigen structure
- References [0]
- Comments [0]
- Validations
- Western blot [1]
- Immunocytochemistry [2]
- Immunohistochemistry [7]
Submit
Validation data
Reference
Comment
Report error
- Product number
- PA5-60439 - Provider product page

- Provider
- Invitrogen Antibodies
- Product name
- CCDC19 Polyclonal Antibody
- Antibody type
- Polyclonal
- Antigen
- Recombinant protein fragment
- Description
- Immunogen sequence: KEATMDAVMT RKKIMKQKEM VWNNNKKLSD LEEVAKERAQ NLLQRANKLR MEQEEELKDM SKIILNAKCH AIRDAQILEK QQI Highest antigen sequence identity to the following orthologs: Mouse - 89%, Rat - 90%.
- Reactivity
- Human
- Host
- Rabbit
- Isotype
- IgG
- Vial size
- 100 μL
- Concentration
- 0.1 mg/mL
- Storage
- Store at 4°C short term. For long term storage, store at -20°C, avoiding freeze/thaw cycles.
No comments: Submit comment
Supportive validation
- Submitted by
- Invitrogen Antibodies (provider)
- Main image

- Experimental details
- Western blot analysis of CCDC19 in human cell line HEL using a CCDC19 Polyclonal Antibody (Product # PA5-60439).
Supportive validation
- Submitted by
- Invitrogen Antibodies (provider)
- Main image

- Experimental details
- Immunofluorescent staining of CCDC19 in human cell line A-431 shows positivity in nucleus but excluded from the nucleoli. Samples were probed using a CCDC19 Polyclonal Antibody (Product # PA5-60439).
- Submitted by
- Invitrogen Antibodies (provider)
- Main image

- Experimental details
- Immunofluorecent analysis of CCDC19 in human cell line A-431 using CCDC19 Polyclonal Antibody (Product # PA5-60439). Staining shows localization to nucleoplasm.
Supportive validation
- Submitted by
- Invitrogen Antibodies (provider)
- Main image

- Experimental details
- Immunohistochemical analysis of CCDC19 in human skeletal muscle using CCDC19 Polyclonal Antibody (Product # PA5-60439) shows no positivity in myocytes as expected.
- Submitted by
- Invitrogen Antibodies (provider)
- Main image

- Experimental details
- Immunohistochemical staining of CCDC19 in human fallopian tube and skeletal muscle tissues using CCDC19 Polyclonal Antibody (Product # PA5-60439). Corresponding CFAP45 RNA-seq data are presented for the same tissues.
- Submitted by
- Invitrogen Antibodies (provider)
- Main image

- Experimental details
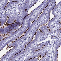
- Immunohistochemical staining of CCDC19 in human fallopian tube using CCDC19 Polyclonal Antibody (Product # PA5-60439) shows strong positivity in apical membrane in glandular cells.
- Submitted by
- Invitrogen Antibodies (provider)
- Main image

- Experimental details
- Immunohistochemical staining of CCDC19 in human nasopharynx using CCDC19 Polyclonal Antibody (Product # PA5-60439) shows strong positivity in apical membrane in respiratory epithelial cells.
- Submitted by
- Invitrogen Antibodies (provider)
- Main image

- Experimental details
- Immunohistochemical staining of CCDC19 in human skeletal muscle using CCDC19 Polyclonal Antibody (Product # PA5-60439) shows no positivity in myocytes.
- Submitted by
- Invitrogen Antibodies (provider)
- Main image

- Experimental details
- Immunohistochemical staining of CCDC19 in human fallopian tube and skeletal muscle tissues using CCDC19 Polyclonal Antibody (Product # PA5-60439). Corresponding CFAP45 RNA-seq data are presented for the same tissues.
- Submitted by
- Invitrogen Antibodies (provider)
- Main image

- Experimental details
- Immunohistochemical staining of CCDC19 in human fallopian tube using CCDC19 Polyclonal Antibody (Product # PA5-60439) shows strong positivity in apical membrane in glandular cells.