Antibody data
- Antibody Data
- Antigen structure
- References [0]
- Comments [0]
- Validations
- Western blot [1]
- Immunohistochemistry [9]
Submit
Validation data
Reference
Comment
Report error
- Product number
- NBP1-91758 - Provider product page

- Provider
- Novus Biologicals
- Proper citation
- Novus Cat#NBP1-91758, RRID:AB_11034414
- Product name
- Rabbit Polyclonal CCDC19 Antibody
- Antibody type
- Polyclonal
- Description
- Immunogen affinity purified. Specificity of human CCDC19 antibody verified on a Protein Array containing target protein plus 383 other non-specific proteins.
- Reactivity
- Human
- Host
- Rabbit
- Isotype
- IgG
- Vial size
- 0.1 ml
- Storage
- Store at 4C short term. Aliquot and store at -20C long term. Avoid freeze-thaw cycles.
No comments: Submit comment
Supportive validation
- Submitted by
- Novus Biologicals (provider)
- Main image

- Experimental details
- Western Blot: CCDC19 Antibody [NBP1-91758] - Analysis in human cell line HELA.
Supportive validation
- Submitted by
- Novus Biologicals (provider)
- Main image

- Experimental details
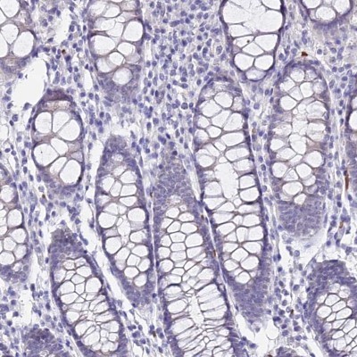
- Immunohistochemistry-Paraffin: CCDC19 Antibody [NBP1-91758] - Staining of human colon shows low expression as expected.
- Submitted by
- Novus Biologicals (provider)
- Main image

- Experimental details
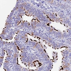
- Immunohistochemistry-Paraffin: CCDC19 Antibody [NBP1-91758] - Staining of human fallopian tube shows high expression.
- Submitted by
- Novus Biologicals (provider)
- Main image

- Experimental details
- Immunohistochemistry-Paraffin: CCDC19 Antibody [NBP1-91758] - Staining of human skeletal muscle shows no positivity in myocytes.
- Submitted by
- Novus Biologicals (provider)
- Main image

- Experimental details
- Immunohistochemistry-Paraffin: CCDC19 Antibody [NBP1-91758] - Staining of human nasopharynx shows strong positivity in apical membrane in respiratory epithelial cells.
- Submitted by
- Novus Biologicals (provider)
- Main image

- Experimental details
- Immunohistochemistry-Paraffin: CCDC19 Antibody [NBP1-91758] - Staining of human fallopian tube shows strong positivity in apical membrane in glandular cells.
- Submitted by
- Novus Biologicals (provider)
- Main image

- Experimental details
- Immunohistochemistry-Paraffin: CCDC19 Antibody [NBP1-91758] - Staining of human bronchus shows strong positivity in cilia of respiratory epithelial cells.
- Submitted by
- Novus Biologicals (provider)
- Main image

- Experimental details
- Immunohistochemistry-Paraffin: CCDC19 Antibody [NBP1-91758] - Staining of human testis shows moderate positivity in flagellum of spermatozoa.
- Submitted by
- Novus Biologicals (provider)
- Main image

- Experimental details
- Immunohistochemistry-Paraffin: CCDC19 Antibody [NBP1-91758] - Staining of human skeletal muscle shows no positivity in myocytes as expected.
- Submitted by
- Novus Biologicals (provider)
- Main image

- Experimental details
- Immunohistochemistry-Paraffin: CCDC19 Antibody [NBP1-91758] - Staining in human fallopian tube and skeletal muscle tissues using NBP1-91758 antibody. Corresponding CFAP45 RNA-seq data are presented for the same tissues.