Antibody data
- Antibody Data
- Antigen structure
- References [0]
- Comments [0]
- Validations
- Western blot [1]
- Immunohistochemistry [3]
- Flow cytometry [1]
Submit
Validation data
Reference
Comment
Report error
- Product number
- NBP2-75701 - Provider product page

- Provider
- Novus Biologicals
- Product name
- Rabbit Polyclonal USP21 Antibody
- Antibody type
- Polyclonal
- Description
- Peptide affinity purified.
- Reactivity
- Human, Mouse, Rat
- Host
- Rabbit
- Isotype
- IgG
- Vial size
- 100 ul
- Storage
- Store at 4C short term. Aliquot and store at -20C long term. Avoid freeze-thaw cycles.
No comments: Submit comment
Supportive validation
- Submitted by
- Novus Biologicals (provider)
- Main image

- Experimental details
- Western Blot: USP21 Antibody [NBP2-75701] - Analysis of USP21 on mouse thymus tissue lysate using anti-USP21 antibody at 1/200 dilution.
Supportive validation
- Submitted by
- Novus Biologicals (provider)
- Main image

- Experimental details
- Immunohistochemistry-Paraffin: USP21 Antibody [NBP2-75701] - Analysis of paraffin-embedded human liver cancer tissue using anti-USP21 antibody. Counter stained with hematoxylin.
- Submitted by
- Novus Biologicals (provider)
- Main image

- Experimental details
- Immunohistochemistry-Paraffin: USP21 Antibody [NBP2-75701] - Analysis of paraffin-embedded human kidney tissue using anti-USP21 antibody. Counter stained with hematoxylin.
- Submitted by
- Novus Biologicals (provider)
- Main image

- Experimental details
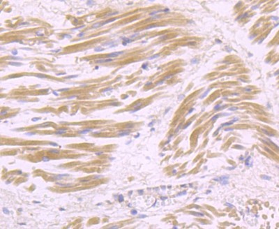
- Immunohistochemistry-Paraffin: USP21 Antibody [NBP2-75701] - Analysis of paraffin-embedded human fetal skeletal muscle tissue using anti-USP21 antibody. Counter stained with hematoxylin.
Supportive validation
- Submitted by
- Novus Biologicals (provider)
- Main image

- Experimental details
- Flow Cytometry: USP21 Antibody [NBP2-75701] - Analysis of SH-SY-5Y cells with USP21 antibody at 1/100 dilution (red) compared with an unlabelled control (cells without incubation with primary antibody; black). Alexa Fluor 488-conjugated goat anti-rabbit IgG was used as the secondary antibody.