Antibody data
- Antibody Data
- Antigen structure
- References [5]
- Comments [0]
- Validations
- Western blot [1]
- Immunocytochemistry [1]
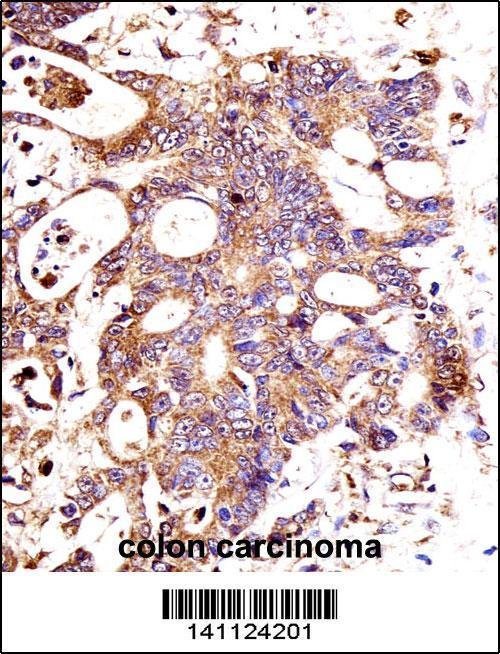
- Immunohistochemistry [2]
- Flow cytometry [1]
Submit
Validation data
Reference
Comment
Report error
- Product number
- ABIN1881238 - Provider product page

- Provider
- antibodies-online
- Product name
- anti-Catenin beta-1 (CTNB1) (C-Term), (AA 692-721) antibody
- Antibody type
- Polyclonal
- Antigen
- This CTNNB1 antibody is generated from rabbits immunized with a KLH conjugated synthetic peptide between 692-721 amino acids from the C-terminal region of human CTNNB1.
- Description
- This antibody is purified through a protein A column, followed by peptide affinity purification. Peptide Affinity Purified Rabbit Polyclonal Antibody (Pab)
- Reactivity
- Human
- Host
- Rabbit
- Epitope
- C-Term,AA 692-721
- Antibody clone number
- RB41124
- Vial size
- 400 μL
- Concentration
- 0.5 mg/mL
Submitted references Approaching the intrinsic electron field-emission of a graphene film consisting of quasi-freestanding graphene strips.
Exosome release of β-catenin: a novel mechanism that antagonizes Wnt signaling.
Interferon consensus sequence binding protein (ICSBP) decreases beta-catenin activity in myeloid cells by repressing GAS2 transcription.
FoxM1 regulates re-annealing of endothelial adherens junctions through transcriptional control of beta-catenin expression.
[Effect of siRNA-mediated beta-catenin gene on Wnt signal pathway in lung adenocarcinoma A549 cell].
Huang Q, Wang G, Guo L, Jia Y, Lin J, Li K, Wang W, Chen X
Small (Weinheim an der Bergstrasse, Germany) 2011 Feb 18;7(4):450-4
Small (Weinheim an der Bergstrasse, Germany) 2011 Feb 18;7(4):450-4
Exosome release of β-catenin: a novel mechanism that antagonizes Wnt signaling.
Chairoungdua A, Smith DL, Pochard P, Hull M, Caplan MJ
The Journal of cell biology 2010 Sep 20;190(6):1079-91
The Journal of cell biology 2010 Sep 20;190(6):1079-91
Interferon consensus sequence binding protein (ICSBP) decreases beta-catenin activity in myeloid cells by repressing GAS2 transcription.
Huang W, Zhou W, Saberwal G, Konieczna I, Horvath E, Katsoulidis E, Platanias LC, Eklund EA
Molecular and cellular biology 2010 Oct;30(19):4575-94
Molecular and cellular biology 2010 Oct;30(19):4575-94
FoxM1 regulates re-annealing of endothelial adherens junctions through transcriptional control of beta-catenin expression.
Mirza MK, Sun Y, Zhao YD, Potula HH, Frey RS, Vogel SM, Malik AB, Zhao YY
The Journal of experimental medicine 2010 Aug 2;207(8):1675-85
The Journal of experimental medicine 2010 Aug 2;207(8):1675-85
[Effect of siRNA-mediated beta-catenin gene on Wnt signal pathway in lung adenocarcinoma A549 cell].
Teng Y, Wang XW, Wang YW, Wang J
Zhonghua yi xue za zhi 2010 Apr 13;90(14):988-92
Zhonghua yi xue za zhi 2010 Apr 13;90(14):988-92
No comments: Submit comment
Supportive validation
- Submitted by
- antibodies-online (provider)
- Main image

- Experimental details
- CTNNB1 Antibody (C-term) (ABIN1881238) western blot analysis in 293,T47D cell line lysates (35 μg/lane). This demonstrates the CTNNB1 antibody detected the CTNNB1 protein (arrow).
Supportive validation
- Submitted by
- antibodies-online (provider)
- Main image

- Experimental details
- CTNNB1 Antibody (C-term) (ABIN1881238) western blot analysis in 293,T47D cell line lysates (35 μg/lane). This demonstrates the CTNNB1 antibody detected the CTNNB1 protein (arrow).
Supportive validation
- Submitted by
- antibodies-online (provider)
- Main image

- Experimental details
- CTNNB1 Antibody (C-term) (ABIN1881238) western blot analysis in 293,T47D cell line lysates (35 μg/lane). This demonstrates the CTNNB1 antibody detected the CTNNB1 protein (arrow).
- Submitted by
- antibodies-online (provider)
- Main image

- Experimental details
- CTNNB1 Antibody (C-term) (ABIN1881238) western blot analysis in 293,T47D cell line lysates (35 μg/lane). This demonstrates the CTNNB1 antibody detected the CTNNB1 protein (arrow).
Supportive validation
- Submitted by
- antibodies-online (provider)
- Main image

- Experimental details
- CTNNB1 Antibody (C-term) (ABIN1881238) western blot analysis in 293,T47D cell line lysates (35 μg/lane). This demonstrates the CTNNB1 antibody detected the CTNNB1 protein (arrow).