Antibody data
- Antibody Data
- Antigen structure
- References [2]
- Comments [0]
- Validations
- Immunohistochemistry [2]
Submit
Validation data
Reference
Comment
Report error
- Product number
- bs-3084R - Provider product page

- Provider
- Bioss
- Proper citation
- Bioss Cat#bs-3084R, RRID:AB_10857962
- Product name
- beta Catenin (Ser33 + 37) Antibody
- Antibody type
- Polyclonal
- Description
- KLH conjugatedsynthetic phosphopeptide derived from human Beta-Catenin around the phosphorylation site of Ser33/37
- Reactivity
- Human, Mouse, Rat
- Host
- Rabbit
- Conjugate
- Unconjugated
- Isotype
- IgG
- Vial size
- 100ul
- Concentration
- 1ug/ul
- Storage
- Aqueous buffered solution containing 1% BSA, 50% glycerol and 0.09% sodium azide. Store at -20°C for 12 months.
Submitted references Resistin up-regulates LPL expression through the PPARγ-dependent PI3K/AKT signaling pathway impacting lipid accumulation in RAW264.7 macrophages.
Extracellular diffusion quantified by magnetic resonance imaging during rat C6 glioma cell progression.
Li B, Fang J, He T, Yin S, Yang M, Cui H, Ma X, Deng J, Ren Z, Hu Y, Ye G, Zhang M, Geng Y, Gou L, Zuo Z
Cytokine 2019 Jul;119:168-174
Cytokine 2019 Jul;119:168-174
Extracellular diffusion quantified by magnetic resonance imaging during rat C6 glioma cell progression.
Song G, Luo T, Dong L, Liu Q
Brazilian journal of medical and biological research = Revista brasileira de pesquisas medicas e biologicas 2017 Jul 3;50(7):e5403
Brazilian journal of medical and biological research = Revista brasileira de pesquisas medicas e biologicas 2017 Jul 3;50(7):e5403
No comments: Submit comment
Supportive validation
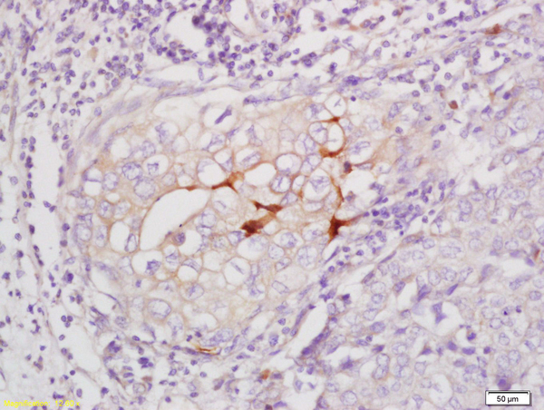
- Submitted by
- Bioss (provider)
- Main image

- Experimental details
- Formalin-fixed and paraffin embedded human breast carcinoma labeled with Anti-Phospho-Beta-Catenin(Ser33/37) Polyclonal Antibody, Unconjugated (bs-3084R) at 1:200 followed by conjugation to the secondary antibody and DAB staining
- Sample type
- Human
- Other comments
- Breast
- Submitted by
- Bioss (provider)
- Main image

- Experimental details
- Formalin-fixed and paraffin embedded human cervical carcinoma labeled with Anti-Phospho-Beta-Catenin(Ser33/37) Polyclonal Antibody, Unconjugated (bs-3084R) at 1:200 followed by conjugation to the secondary antibody and DAB staining
- Sample type
- Human
- Other comments
- Cervix