Antibody data
- Antibody Data
- Antigen structure
- References [5]
- Comments [0]
- Validations
- Western blot [2]
- Immunohistochemistry [1]
Submit
Validation data
Reference
Comment
Report error
- Product number
- AP8067a - Provider product page

- Provider
- Abcepta
- Proper citation
- Abgent Cat#AP8067a, RRID:AB_2257090
- Product name
- KIST (KIS) Antibody (N-term)
- Antibody type
- Polyclonal
- Antigen
- Synthetic peptide
- Description
- Purified Rabbit Polyclonal Antibody (Pab)
- Reactivity
- Human, Mouse
- Host
- Rabbit
- Isotype
- IgG
- Vial size
- 400 µl
- Concentration
- 2 mg/ml
- Storage
- Maintain refrigerated at 2-8°C for up to 6 months. For long term storage store at -20°C in small aliquots to prevent freeze-thaw cycles.
Submitted references PI 3-kinase/Rac1 and ERK1/2 regulate FGF-2-mediated cell proliferation through phosphorylation of p27 at Ser10 by KIS and at Thr187 by Cdc25A/Cdk2.
The FOXM1 transcriptional factor promotes the proliferation of leukemia cells through modulation of cell cycle progression in acute myeloid leukemia.
Reduction of Raf kinase inhibitor protein expression by Bcr-Abl contributes to chronic myelogenous leukemia proliferation.
Development and pharmacologic characterization of deoxybromophospha sugar derivatives with antileukemic activity.
FoxM1 regulates growth factor-induced expression of kinase-interacting stathmin (KIS) to promote cell cycle progression.
Lee JG, Kay EP
Investigative ophthalmology & visual science 2011 Jan 21;52(1):417-26
Investigative ophthalmology & visual science 2011 Jan 21;52(1):417-26
The FOXM1 transcriptional factor promotes the proliferation of leukemia cells through modulation of cell cycle progression in acute myeloid leukemia.
Nakamura S, Hirano I, Okinaka K, Takemura T, Yokota D, Ono T, Shigeno K, Shibata K, Fujisawa S, Ohnishi K
Carcinogenesis 2010 Nov;31(11):2012-21
Carcinogenesis 2010 Nov;31(11):2012-21
Reduction of Raf kinase inhibitor protein expression by Bcr-Abl contributes to chronic myelogenous leukemia proliferation.
Takemura T, Nakamura S, Yokota D, Hirano I, Ono T, Shigeno K, Fujisawa S, Ohnishi K
The Journal of biological chemistry 2010 Feb 26;285(9):6585-94
The Journal of biological chemistry 2010 Feb 26;285(9):6585-94
Development and pharmacologic characterization of deoxybromophospha sugar derivatives with antileukemic activity.
Nakamura S, Yamashita M, Yokota D, Hirano I, Ono T, Fujie M, Shibata K, Niimi T, Suyama T, Maddali K, Asai K, Yamashita J, Iguchi Y, Ohnishi K
Investigational new drugs 2010 Aug;28(4):381-91
Investigational new drugs 2010 Aug;28(4):381-91
FoxM1 regulates growth factor-induced expression of kinase-interacting stathmin (KIS) to promote cell cycle progression.
Petrovic V, Costa RH, Lau LF, Raychaudhuri P, Tyner AL
The Journal of biological chemistry 2008 Jan 4;283(1):453-60
The Journal of biological chemistry 2008 Jan 4;283(1):453-60
No comments: Submit comment
Supportive validation
- Submitted by
- Abcepta (provider)
- Main image

- Experimental details
- Western blot analysis of anti-KIS Pab (Cat. #AP8067a) in mouse heart tissue lysate. KIS (arrow) was detected using purified Pab. Secondary HRP-anti-rabbit was used for signal visualization with chemiluminescence.
- Primary Ab dilution
- 1:1000
- Submitted by
- Abcepta (provider)
- Main image

- Experimental details
- KIS Antibody (C6) (Cat. #AP8067a) western blot analysis in A549 cell line lysates (35ug/lane).This demonstrates the KIS antibody detected the KIS protein (arrow).
- Primary Ab dilution
- 1:1000
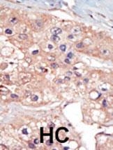
Supportive validation
- Submitted by
- Abcepta (provider)
- Main image

- Experimental details
- "Formalin-fixed and paraffin-embedded human cancer tissue reacted with the primary antibody, which was peroxidase-conjugated to the secondary antibody, followed by DAB staining. This data demonstrates the use of this antibody for immunohistochemistry; clinical relevance has not been evaluated. BC = breast carcinoma; HC = hepatocarcinoma."
- Primary Ab dilution
- 1:50~100