Antibody data
- Antibody Data
- Antigen structure
- References [0]
- Comments [0]
- Validations
- Western blot [1]
- Immunohistochemistry [1]
- Flow cytometry [1]
Submit
Validation data
Reference
Comment
Report error
- Product number
- AP50527PU-N - Provider product page

- Provider
- Acris Antibodies GmbH
- Proper citation
- Acris Antibodies GmbH Cat#AP50527PU-N, RRID:AB_11151716
- Product name
- anti C1orf110 (C-term)
- Antibody type
- Polyclonal
- Antigen
- KLH conjugated synthetic peptide between 194-223 amino acids from the C-terminal region of human C1orf110
- Reactivity
- Human
- Host
- Rabbit
- Vial size
- 0.1 mg
- Concentration
- 0.25 mg/ml
No comments: Submit comment
Supportive validation
- Submitted by
- Acris Antibodies GmbH (provider)
- Main image

- Experimental details
- C1orf110 Antibody (C-term) (Cat. #AP50527PU-N) western blot analysis in Hela cell line lysates (35µg/lane).This demonstrates the C1orf110 antibody detected the C1orf110 protein (arrow).
Supportive validation
- Submitted by
- Acris Antibodies GmbH (provider)
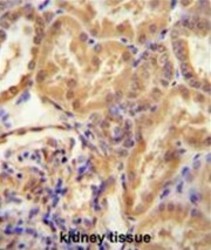
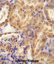
- Main image

- Experimental details
- C1orf110 antibody (C-term) (Cat. #AP50527PU-N) immunohistochemistry analysis in formalin fixed and paraffin embedded human kidney tissue followed by peroxidase conjugation of the secondary antibody and DAB staining. This data demonstrates the use of the C1orf110 antibody (C-term) for immunohistochemistry. Clinical relevance has not been evaluated.
Supportive validation
- Submitted by
- Acris Antibodies GmbH (provider)
- Main image

- Experimental details
- C1orf110 Antibody (C-term) (Cat. #AP50527PU-N) flow cytometric analysis of Hela cells (right histogram) compared to a negative control cell (left histogram).FITC-conjugated goat-anti-rabbit secondary antibodies were used for the analysis.