Antibody data
- Antibody Data
- Antigen structure
- References [0]
- Comments [0]
- Validations
- Immunocytochemistry [1]
Submit
Validation data
Reference
Comment
Report error
- Product number
- HPA044860 - Provider product page

- Provider
- Atlas Antibodies
- Proper citation
- Atlas Antibodies Cat#HPA044860, RRID:AB_10961275
- Product name
- Anti-DNPEP
- Antibody type
- Polyclonal
- Description
- Polyclonal Antibody against Human DNPEP, Gene description: aspartyl aminopeptidase, Alternative Gene Names: ASPEP, DAP, Validated applications: ICC, IHC, WB, Uniprot ID: Q9ULA0, Storage: Store at +4°C for short term storage. Long time storage is recommended at -20°C.
- Reactivity
- Human, Mouse, Rat
- Host
- Rabbit
- Conjugate
- Unconjugated
- Isotype
- IgG
- Vial size
- 100 µl
- Concentration
- 0.1 mg/ml
- Storage
- Store at +4°C for short term storage. Long time storage is recommended at -20°C.
- Handling
- The antibody solution should be gently mixed before use.
No comments: Submit comment
Supportive validation
- Submitted by
- Atlas Antibodies (provider)
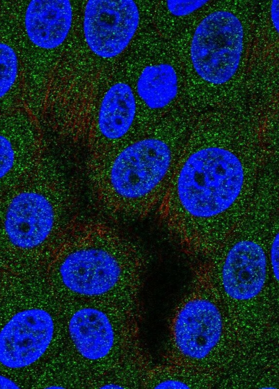
- Main image

- Experimental details
- Immunofluorescent staining of human cell line MCF7 shows localization to cytosol.
- Sample type
- Human