Antibody data
- Antibody Data
- Antigen structure
- References [0]
- Comments [0]
- Validations
- Immunocytochemistry [1]
- Immunohistochemistry [6]
Submit
Validation data
Reference
Comment
Report error
- Product number
- PA5-57638 - Provider product page

- Provider
- Invitrogen Antibodies
- Product name
- DNPEP Polyclonal Antibody
- Antibody type
- Polyclonal
- Antigen
- Recombinant protein fragment
- Description
- Immunogen sequence: SCFCALQALI DSCAGPGSLA TEPHVRMVTL YDNEEVGSES AQGAQSLLTE LVLRRISASC QHPTAFEEAI PKSFMISADM AHAVHPNYLD Highest antigen sequence identity to the following orthologs: Mouse - 90%, Rat - 91%.
- Reactivity
- Human, Mouse, Rat
- Host
- Rabbit
- Isotype
- IgG
- Vial size
- 100 μL
- Concentration
- 0.1 mg/mL
- Storage
- Store at 4°C short term. For long term storage, store at -20°C, avoiding freeze/thaw cycles.
No comments: Submit comment
Supportive validation
- Submitted by
- Invitrogen Antibodies (provider)
- Main image

- Experimental details
- Immunofluorescent staining of DNPEP in human cell line U-251 MG shows positivity in cytoplasm & nucleus but excluded from the nucleoli. Samples were probed using a DNPEP Polyclonal Antibody (Product # PA5-57638).
Supportive validation
- Submitted by
- Invitrogen Antibodies (provider)
- Main image

- Experimental details
- Immunohistochemical staining of DNPEP in human cerebral cortex, lymph node, pancreas and testis using DNPEP Polyclonal Antibody (Product # PA5-57638) (A) shows similar protein distribution across tissues to an independent DNPEP Polyclonal Antibody (B).
- Submitted by
- Invitrogen Antibodies (provider)
- Main image

- Experimental details
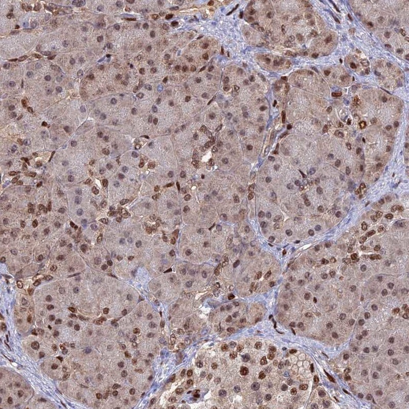
- Immunohistochemical staining of DNPEP in human pancreas using DNPEP Polyclonal Antibody (Product # PA5-57638) shows low expression as expected.
- Submitted by
- Invitrogen Antibodies (provider)
- Main image

- Experimental details
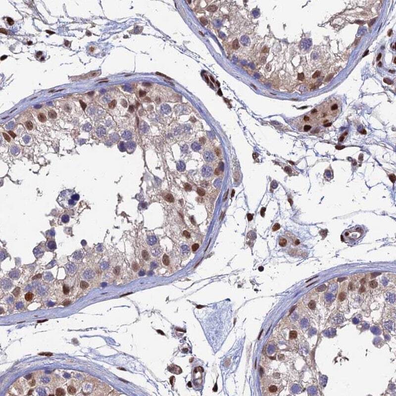
- Immunohistochemical staining of DNPEP in human testis using DNPEP Polyclonal Antibody (Product # PA5-57638) shows high expression.
- Submitted by
- Invitrogen Antibodies (provider)
- Main image

- Experimental details
- Immunohistochemical staining of DNPEP in human testis and pancreas tissues using DNPEP Polyclonal Antibody (Product # PA5-57638). Corresponding DNPEP RNA-seq data are presented for the same tissues.
- Submitted by
- Invitrogen Antibodies (provider)
- Main image

- Experimental details
- Immunohistochemical staining of DNPEP in human cerebral cortex using DNPEP Polyclonal Antibody (Product # PA5-57638).
- Submitted by
- Invitrogen Antibodies (provider)
- Main image

- Experimental details
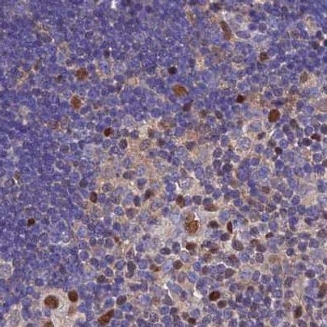
- Immunohistochemical staining of DNPEP in human lymph node using DNPEP Polyclonal Antibody (Product # PA5-57638).