Antibody data
- Antibody Data
- Antigen structure
- References [2]
- Comments [0]
- Validations
- Immunohistochemistry [1]
Submit
Validation data
Reference
Comment
Report error
- Product number
- bs-0077R - Provider product page

- Provider
- Bioss
- Proper citation
- Bioss Cat#bs-0077R, RRID:AB_10881075
- Product name
- VIP Polyclonal Antibody
- Antibody type
- Polyclonal
- Description
- KLH conjugated synthetic peptide derived from human VIP
- Reactivity
- Human, Mouse, Rat
- Host
- Rabbit
- Conjugate
- Unconjugated
- Isotype
- IgG
- Vial size
- 100ul
- Concentration
- 1ug/ul
- Storage
- Aqueous buffered solution containing 1% BSA, 50% glycerol and 0.09% sodium azide. Store at -20°C for 12 months.
Submitted references Isolation of primitive mouse extraembryonic endoderm (pXEN) stem cell lines.
Upregulation of Scavenger Receptor BI by Hepatic Nuclear Factor 4α through a Peroxisome Proliferator-Activated Receptor γ-Dependent Mechanism in Liver.
Zhong Y, Choi T, Kim M, Jung KH, Chai YG, Binas B
Stem cell research 2018 Jul;30:100-112
Stem cell research 2018 Jul;30:100-112
Upregulation of Scavenger Receptor BI by Hepatic Nuclear Factor 4α through a Peroxisome Proliferator-Activated Receptor γ-Dependent Mechanism in Liver.
Zhang Y, Shen C, Ai D, Xie X, Zhu Y
PPAR research 2011;2011:164925
PPAR research 2011;2011:164925
No comments: Submit comment
Supportive validation
- Submitted by
- Bioss (provider)
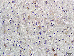
- Main image

- Experimental details
- Formalin-fixed and paraffin embedded rat brain labeled with Anti-VIP Polyclonal Antibody, Unconjugated (bs-0077R) 1:200 followed by conjugation to the secondary antibody and DAB staining
- Sample type
- Rat
- Other comments
- Brain