Antibody data
- Antibody Data
- Antigen structure
- References [0]
- Comments [0]
- Validations
- Western blot [1]
- Immunohistochemistry [1]
Submit
Validation data
Reference
Comment
Report error
- Product number
- AP51315PU-N - Provider product page

- Provider
- Acris Antibodies GmbH
- Proper citation
- Acris Antibodies GmbH Cat#AP51315PU-N, RRID:AB_11144174
- Product name
- anti Dermatopontin (N-term)
- Antibody type
- Polyclonal
- Antigen
- KLH conjugated synthetic peptide between 52-80 amino acids from the N-terminal region of Human Dermatopontin.
- Reactivity
- Human
- Host
- Rabbit
- Vial size
- 0.4 ml
- Concentration
- lot specific
No comments: Submit comment
Supportive validation
- Submitted by
- Acris Antibodies GmbH (provider)
- Main image

- Experimental details
- Western blot analysis of DPT (arrow) using Dermatopontin Antibody (N-term) Cat.-No AP51315PU-N. 293 cell lysates (2 ug/lane) either nontransfected (Lane 1) or transiently transfected (Lane 2) with the DPT gene.
Supportive validation
- Submitted by
- Acris Antibodies GmbH (provider)
- Main image

- Experimental details
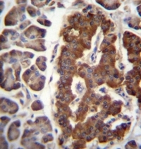
- Formalin fixed and paraffin embedded human pancreas tissue reacted with Dermatopontin Antibody (N-term) Cat.-No AP51315PU-N followed by peroxidase conjugation of the secondary antibody and DAB staining.