Antibody data
- Antibody Data
- Antigen structure
- References [17]
- Comments [0]
- Validations
- Immunohistochemistry [7]
Submit
Validation data
Reference
Comment
Report error
- Product number
- NB120-6586 - Provider product page

- Provider
- Novus Biologicals
- Proper citation
- Novus Cat#NB120-6586, RRID:AB_789360
- Product name
- Rabbit Polyclonal Collagen IV alpha 1 Antibody
- Antibody type
- Polyclonal
- Description
- Immunogen affinity purified. Negligible cross-reactivity with Type I, II, III, V or VI collagens. Non-specific cross reaction of anti-collagen antibodies with other human serum proteins or non-collagen extracellular matrix proteins is negligible.
- Reactivity
- Human, Mouse, Rat, Bovine
- Host
- Rabbit
- Antigen sequence
The development of type-specific an
tibodies is dependent on NON-DENATU
RED three-dimensional epitopes.- Isotype
- IgG
- Vial size
- 0.1 mg
- Concentration
- 1 mg/ml
- Storage
- Store at 4C short term. For extended storage, add an equal volume of glycerol, aliquot and store at -20C or below. Avoid repeated freeze-thaw cycles.
Submitted references Effect of COL4A1 Expression on the Survival of Neoadjuvant Chemotherapy Breast Cancer Patients.
Fast, robust and effective decellularization of whole human livers using mild detergents and pressure controlled perfusion.
Modulating the tumor immune microenvironment with sunitinib malate supports the rationale for combined treatment with immunotherapy.
β-Catenin and FGFR2 regulate postnatal rosette-based adrenocortical morphogenesis.
Follistatin Protects Against Glomerular Mesangial Cell Apoptosis and Oxidative Stress to Ameliorate Chronic Kidney Disease.
Extracellular matrix signaling activates differentiation of adult ovary-derived oogonial stem cells in a species-specific manner.
Vascular Morphogenesis in the Context of Inflammation: Self-Organization in a Fibrin-Based 3D Culture System.
Amelioration of Diabetic Nephropathy Using a Retinoic Acid Receptor β2 Agonist.
The natural compound 2,3,5,4'-tetrahydroxystilbene-2-O-β-d glucoside protects against adriamycin-induced nephropathy through activating the Nrf2-Keap1 antioxidant pathway.
Functional and phenotypic distinction of the first two trophoblast subdivisions and identification of the border between them during early postimplantation: A prerequisite for understanding early patterning during placentogenesis.
Skin globotriaosylceramide 3 deposits are specific to Fabry disease with classical mutations and associated with small fibre neuropathy.
3D collagen architecture induces a conserved migratory and transcriptional response linked to vasculogenic mimicry.
3D Printed Pericardium Hydrogels To Promote Wound Healing in Vascular Applications.
Rethinking Molecular Mimicry in Rheumatic Heart Disease and Autoimmune Myocarditis: Laminin, Collagen IV, CAR, and B1AR as Initial Targets of Disease.
Different dynamics of aquaporin 4 and glutamate transporter-1 distribution in the perineuronal and perivascular compartments during ischemic stroke.
Matrix metalloproteinase-9 expression in the nuclear compartment of neurons and glial cells in aging and stroke.
HMG-CoA reductase inhibitor simvastatin mitigates VEGF-induced "inside-out" signaling to extracellular matrix by preventing RhoA activation.
Wang SM, Chen PM, Sung YW, Huang WC, Huang HS, Chu PY
Journal of oncology 2020;2020:5209695
Journal of oncology 2020;2020:5209695
Fast, robust and effective decellularization of whole human livers using mild detergents and pressure controlled perfusion.
Willemse J, Verstegen MMA, Vermeulen A, Schurink IJ, Roest HP, van der Laan LJW, de Jonge J
Materials science & engineering. C, Materials for biological applications 2020 Mar;108:110200
Materials science & engineering. C, Materials for biological applications 2020 Mar;108:110200
Modulating the tumor immune microenvironment with sunitinib malate supports the rationale for combined treatment with immunotherapy.
Li W, Zhan M, Quan YY, Wang H, Hua SN, Li Y, Zhang J, Lu L, Cui M
International immunopharmacology 2020 Apr;81:106227
International immunopharmacology 2020 Apr;81:106227
β-Catenin and FGFR2 regulate postnatal rosette-based adrenocortical morphogenesis.
Leng S, Pignatti E, Khetani RS, Shah MS, Xu S, Miao J, Taketo MM, Beuschlein F, Barrett PQ, Carlone DL, Breault DT
Nature communications 2020 Apr 3;11(1):1680
Nature communications 2020 Apr 3;11(1):1680
Follistatin Protects Against Glomerular Mesangial Cell Apoptosis and Oxidative Stress to Ameliorate Chronic Kidney Disease.
Mehta N, Gava AL, Zhang D, Gao B, Krepinsky JC
Antioxidants & redox signaling 2019 Sep 10;31(8):551-571
Antioxidants & redox signaling 2019 Sep 10;31(8):551-571
Extracellular matrix signaling activates differentiation of adult ovary-derived oogonial stem cells in a species-specific manner.
MacDonald JA, Takai Y, Ishihara O, Seki H, Woods DC, Tilly JL
Fertility and sterility 2019 Apr;111(4):794-805
Fertility and sterility 2019 Apr;111(4):794-805
Vascular Morphogenesis in the Context of Inflammation: Self-Organization in a Fibrin-Based 3D Culture System.
Rüger BM, Buchacher T, Giurea A, Kubista B, Fischer MB, Breuss JM
Frontiers in physiology 2018;9:679
Frontiers in physiology 2018;9:679
Amelioration of Diabetic Nephropathy Using a Retinoic Acid Receptor β2 Agonist.
Trasino SE, Tang XH, Shevchuk MM, Choi ME, Gudas LJ
The Journal of pharmacology and experimental therapeutics 2018 Oct;367(1):82-94
The Journal of pharmacology and experimental therapeutics 2018 Oct;367(1):82-94
The natural compound 2,3,5,4'-tetrahydroxystilbene-2-O-β-d glucoside protects against adriamycin-induced nephropathy through activating the Nrf2-Keap1 antioxidant pathway.
Lin EY, Bayarsengee U, Wang CC, Chiang YH, Cheng CW
Environmental toxicology 2018 Jan;33(1):72-82
Environmental toxicology 2018 Jan;33(1):72-82
Functional and phenotypic distinction of the first two trophoblast subdivisions and identification of the border between them during early postimplantation: A prerequisite for understanding early patterning during placentogenesis.
Nikolaou S, Hadjikypri X, Ioannou G, Elia A, Georgiades P
Biochemical and biophysical research communications 2018 Jan 29;496(1):64-69
Biochemical and biophysical research communications 2018 Jan 29;496(1):64-69
Skin globotriaosylceramide 3 deposits are specific to Fabry disease with classical mutations and associated with small fibre neuropathy.
Liguori R, Incensi A, de Pasqua S, Mignani R, Fileccia E, Santostefano M, Biagini E, Rapezzi C, Palmieri S, Romani I, Borsini W, Burlina A, Bombardi R, Caprini M, Avoni P, Donadio V
PloS one 2017;12(7):e0180581
PloS one 2017;12(7):e0180581
3D collagen architecture induces a conserved migratory and transcriptional response linked to vasculogenic mimicry.
Velez DO, Tsui B, Goshia T, Chute CL, Han A, Carter H, Fraley SI
Nature communications 2017 Nov 21;8(1):1651
Nature communications 2017 Nov 21;8(1):1651
3D Printed Pericardium Hydrogels To Promote Wound Healing in Vascular Applications.
Bracaglia LG, Messina M, Winston S, Kuo CY, Lerman M, Fisher JP
Biomacromolecules 2017 Nov 13;18(11):3802-3811
Biomacromolecules 2017 Nov 13;18(11):3802-3811
Rethinking Molecular Mimicry in Rheumatic Heart Disease and Autoimmune Myocarditis: Laminin, Collagen IV, CAR, and B1AR as Initial Targets of Disease.
Root-Bernstein R
Frontiers in pediatrics 2014;2:85
Frontiers in pediatrics 2014;2:85
Different dynamics of aquaporin 4 and glutamate transporter-1 distribution in the perineuronal and perivascular compartments during ischemic stroke.
Mogoanta L, Ciurea M, Pirici I, Margaritescu C, Simionescu C, Ion DA, Pirici D
Brain pathology (Zurich, Switzerland) 2014 Sep;24(5):475-93
Brain pathology (Zurich, Switzerland) 2014 Sep;24(5):475-93
Matrix metalloproteinase-9 expression in the nuclear compartment of neurons and glial cells in aging and stroke.
Pirici D, Pirici I, Mogoanta L, Margaritescu O, Tudorica V, Margaritescu C, Ion DA, Simionescu C, Coconu M
Neuropathology : official journal of the Japanese Society of Neuropathology 2012 Oct;32(5):492-504
Neuropathology : official journal of the Japanese Society of Neuropathology 2012 Oct;32(5):492-504
HMG-CoA reductase inhibitor simvastatin mitigates VEGF-induced "inside-out" signaling to extracellular matrix by preventing RhoA activation.
Xu H, Zeng L, Peng H, Chen S, Jones J, Chew TL, Sadeghi MM, Kanwar YS, Danesh FR
American journal of physiology. Renal physiology 2006 Nov;291(5):F995-1004
American journal of physiology. Renal physiology 2006 Nov;291(5):F995-1004
No comments: Submit comment
Supportive validation
- Submitted by
- Novus Biologicals (provider)
- Main image

- Experimental details
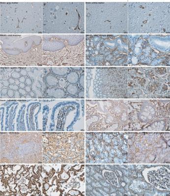
- Immunohistochemistry-Paraffin: Collagen IV alpha 1 Antibody [NB120-6586] - Analysis of Collagen IV in various paraffin embedded human tissues. Image courtesy of product review submitted by Daniel Pirici.
- Submitted by
- Novus Biologicals (provider)
- Main image

- Experimental details
- Immunohistochemistry-Paraffin: Collagen IV alpha 1 Antibody [NB120-6586] - Collagen IV alpha 1 antibody at 1:400, 45 min RT showed strong staining in FFPE sections of human kidney (left) with strong red staining observed in glomeruli and liver (right) with strong staining in sinusoids. Staining for both tissues was consistent with a basement membrane distribution. Slides were steamed in 0.01 M sodium citrate buffer, pH 6.0 at 100C for 20 minutes for antigen retrieval.
- Submitted by
- Novus Biologicals (provider)
- Main image

- Experimental details
- Immunohistochemistry-Paraffin: Collagen IV alpha 1 Antibody [NB120-6586] - Analysis using the Biotin conjugate of NB120-6586. Staining of Collagen IV alpha 1 (red) and Insulin (green) in mouse pancreas. IHC-P image submitted by a verified customer review.
- Submitted by
- Novus Biologicals (provider)
- Main image

- Experimental details
- Immunohistochemistry-Paraffin: Collagen IV alpha 1 Antibody [NB120-6586] - Analysis of Collagen IV alpha 1 in paraffin embedded mouse cervix tissue using anti-Collagen IV alpha 1 antibody. IHC-P image submitted by a verified customer review.
- Submitted by
- Novus Biologicals (provider)
- Main image

- Experimental details
- Immunohistochemistry-Frozen: Collagen IV alpha 1 Antibody [NB120-6586] - Mouse liver tissue. Collagen IV alpha 1 antibody at 1:200 dilution. Overnight incubation, no permeabilization. IHC-Fr image submitted by a verified customer review.
- Submitted by
- Novus Biologicals (provider)
- Main image

- Experimental details
- Immunohistochemistry-Frozen: Collagen IV alpha 1 Antibody [NB120-6586] - Mouse brain tissue. Antibody at 1:500. IHC-Fr image submitted by a verified customer review.
- Submitted by
- Novus Biologicals (provider)
- Main image

- Experimental details
- Immunohistochemistry-Paraffin: Collagen IV alpha 1 Antibody [NB120-6586] - IHC-P image submitted by a verified customer review.