Antibody data
- Antibody Data
- Antigen structure
- References [0]
- Comments [0]
- Validations
- Western blot [1]
- Immunohistochemistry [4]
Submit
Validation data
Reference
Comment
Report error
- Product number
- GTX115336 - Provider product page

- Provider
- GeneTex
- Proper citation
- GeneTex Cat#GTX115336, RRID:AB_11169353
- Product name
- FARSB antibody
- Antibody type
- Polyclonal
- Reactivity
- Human, Mouse, Rat
- Host
- Rabbit
No comments: Submit comment
Supportive validation
- Submitted by
- GeneTex (provider)
- Main image

- Experimental details
- Sample (30 ug of whole cell lysate) A: PC-3 B: U87-MG C: SK-N-SH 7.5% SDS PAGE GTX115336 diluted at 1:1000
Supportive validation
- Submitted by
- GeneTex (provider)
- Main image

- Experimental details
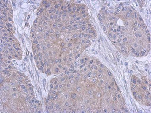
- Immunohistochemical analysis of paraffin-embedded Cal27 xenograft, using FARSB(GTX115336) antibody at 1:500 dilution.
- Submitted by
- GeneTex (provider)
- Main image

- Experimental details
- Immunohistochemical analysis of paraffin-embedded RT2 xenograft, using FARSB(GTX115336) antibody at 1:500 dilution.
- Submitted by
- GeneTex (provider)
- Main image

- Experimental details
- FARSB antibody detects FARSB protein at cytoplasm in mouse brain by immunohistochemical analysis. Sample: Paraffin-embedded mouse brain. FARSB antibody (GTX115336) diluted at 1:500.
- Submitted by
- GeneTex (provider)
- Main image

- Experimental details
- FARSB antibody detects FARSB protein at cytoplasm in mouse testis by immunohistochemical analysis. Sample: Paraffin-embedded mouse testis. FARSB antibody (GTX115336) diluted at 1:500.