Antibody data
- Antibody Data
- Antigen structure
- References [0]
- Comments [0]
- Validations
- Western blot [4]
- Immunocytochemistry [2]
- Immunohistochemistry [6]
Submit
Validation data
Reference
Comment
Report error
- Product number
- 67924-1-IG150UL - Provider product page

- Provider
- Invitrogen Antibodies
- Product name
- FARSB Monoclonal Antibody (1H10C2)
- Antibody type
- Monoclonal
- Antigen
- Other
- Reactivity
- Human, Mouse, Rat
- Host
- Mouse
- Isotype
- IgG
- Antibody clone number
- 1H10C2
- Vial size
- 150 µL
- Concentration
- 1 mg/mL
- Storage
- -20°C
No comments: Submit comment
Supportive validation
- Submitted by
- Invitrogen Antibodies (provider)
- Main image

- Experimental details
- Various lysates (LNCaP, HeLa, HepG2) were subjected to SDS PAGE followed by western blot with (Product # 67924-1-IG150UL) (FARSB antibody) at dilution of 1:20,000 incubated at room temperature for 1.5 hours.
- Submitted by
- Invitrogen Antibodies (provider)
- Main image

- Experimental details
- Various lysates (Jurkat, K-562) were subjected to SDS PAGE followed by western blot with (Product # 67924-1-IG150UL) (FARSB antibody) at dilution of 1:20,000 incubated at room temperature for 1.5 hours.
- Submitted by
- Invitrogen Antibodies (provider)
- Main image

- Experimental details
- Various lysates (HSC-T6, NIH/3T3, RAW 264.7) were subjected to SDS PAGE followed by western blot with (Product # 67924-1-IG150UL) (FARSB antibody) at dilution of 1:20,000 incubated at room temperature for 1.5 hours.
- Submitted by
- Invitrogen Antibodies (provider)
- Main image

- Experimental details
- HEK-293 cells were subjected to SDS PAGE followed by western blot with (Product # 67924-1-IG150UL) (FARSB antibody) at dilution of 1:20,000 incubated at room temperature for 1.5 hours.
Supportive validation
- Submitted by
- Invitrogen Antibodies (provider)
- Main image

- Experimental details
- Immunofluorescent analysis of (-20°C Methanol) fixed U-251 cells using FARSB antibody ((Product # 67924-1-IG150UL), Clone: 1H10C2 ) at dilution of 1:800 and CoraLite 488-Conjugated AffiniPure Goat Anti-Mouse IgG(H+L).
- Submitted by
- Invitrogen Antibodies (provider)
- Main image

- Experimental details
- Immunofluorescent analysis of (-20°C Methanol) fixed HeLa cells using FARSB antibody ((Product # 67924-1-IG150UL), Clone: 1H10C2 ) at dilution of 1:800 and CoraLite 488-Conjugated AffiniPure Goat Anti-Mouse IgG(H+L).
Supportive validation
- Submitted by
- Invitrogen Antibodies (provider)
- Main image

- Experimental details
- Immunohistochemical analysis of paraffin-embedded Mouse brain tissue slide using (Product # 67924-1-IG150UL) (FARSB antibody) at dilution of 1:2,000 (under 10x lens). Heat mediated antigen retrieval with Tris-EDTA buffer (pH 9.0).
- Submitted by
- Invitrogen Antibodies (provider)
- Main image

- Experimental details
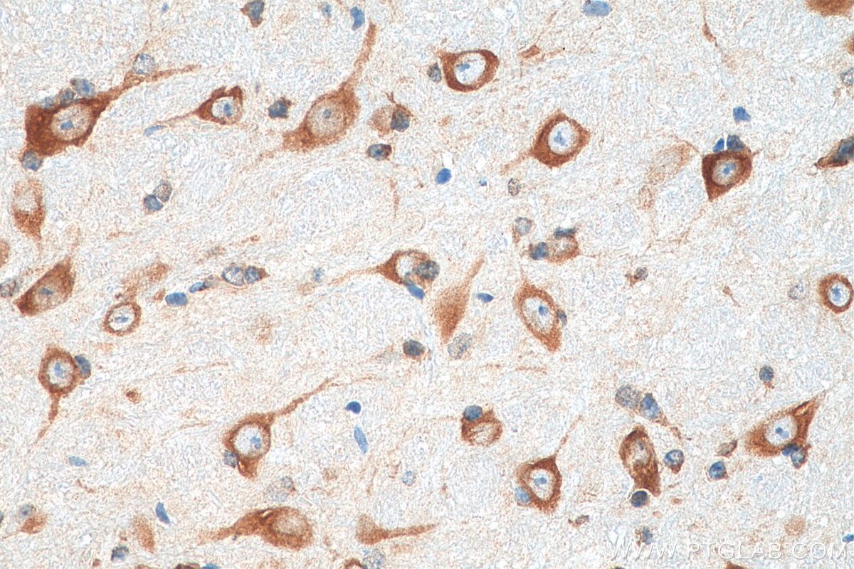
- Immunohistochemical analysis of paraffin-embedded Mouse brain tissue slide using (Product # 67924-1-IG150UL) (FARSB antibody) at dilution of 1:2,000 (under 40x lens). Heat mediated antigen retrieval with Tris-EDTA buffer (pH 9.0).
- Submitted by
- Invitrogen Antibodies (provider)
- Main image

- Experimental details
- Immunohistochemical analysis of paraffin-embedded Mouse cerebellum tissue slide using (Product # 67924-1-IG150UL) (FARSB antibody) at dilution of 1:2,000 (under 10x lens). Heat mediated antigen retrieval with Tris-EDTA buffer (pH 9.0).
- Submitted by
- Invitrogen Antibodies (provider)
- Main image

- Experimental details
- Immunohistochemical analysis of paraffin-embedded Mouse cerebellum tissue slide using (Product # 67924-1-IG150UL) (FARSB antibody) at dilution of 1:2,000 (under 10x lens). Heat mediated antigen retrieval with Tris-EDTA buffer (pH 9.0).
- Submitted by
- Invitrogen Antibodies (provider)
- Main image

- Experimental details
- Immunohistochemical analysis of paraffin-embedded Mouse cerebellum tissue slide using (Product # 67924-1-IG150UL) (FARSB antibody) at dilution of 1:2,000 (under 40x lens). Heat mediated antigen retrieval with Tris-EDTA buffer (pH 9.0).
- Submitted by
- Invitrogen Antibodies (provider)
- Main image

- Experimental details
- Immunohistochemical analysis of paraffin-embedded Mouse cerebellum tissue slide using (Product # 67924-1-IG150UL) (FARSB antibody) at dilution of 1:2,000 (under 40x lens). Heat mediated antigen retrieval with Tris-EDTA buffer (pH 9.0).