Antibody data
- Antibody Data
- Antigen structure
- References [0]
- Comments [0]
- Validations
- Western blot [1]
- Immunohistochemistry [1]
- Flow cytometry [1]
Submit
Validation data
Reference
Comment
Report error
- Product number
- AP52722PU-N - Provider product page

- Provider
- Acris Antibodies GmbH
- Proper citation
- Acris Antibodies GmbH Cat#AP52722PU-N, RRID:AB_11143095
- Product name
- anti MOGAT1 (C-term)
- Antibody type
- Polyclonal
- Antigen
- KLH conjugated synthetic peptide between 305-335 amino acids from the C-terminal region of Human MOGT1.
- Reactivity
- Human
- Host
- Rabbit
- Vial size
- 0.4 ml
- Concentration
- lot specific
No comments: Submit comment
Supportive validation
- Submitted by
- Acris Antibodies GmbH (provider)
- Main image

- Experimental details
- Western blot analysis of MOGT1 Antibody (C-term) Cat.-No AP52722PU-NÂ in K562 cell line lysates (35ug/lane). This demonstrates the MOGT1 antibody detected the MOGT1 protein (arrow).
Supportive validation
- Submitted by
- Acris Antibodies GmbH (provider)
- Main image

- Experimental details
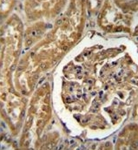
- Immunohistochemistry analysis in formalin fixed and paraffin embedded human kidney tissue reacted with MOGT1 Antibody (C-term) Cat.-No AP52722PU-N followed by peroxidase conjugation of the secondary antibody and DAB staining.
Supportive validation
- Submitted by
- Acris Antibodies GmbH (provider)
- Main image

- Experimental details
- Flow cytometric analysis of K562 cells using MOGT1 Antibody (C-term) Cat.-No AP52722PU-N (right histogram) compared to a negative control cell (left histogram). FITC-conjugated goat-anti-rabbit secondary antibodies were used for the analysis.