Antibody data
- Antibody Data
- Antigen structure
- References [0]
- Comments [0]
- Validations
- Western blot [1]
- Immunocytochemistry [1]
- Immunohistochemistry [6]
Submit
Validation data
Reference
Comment
Report error
- Product number
- Ab099041 - Provider product page

- Provider
- Aladdin Scientific
- Product name
- Cytokeratin 8 Antibody
- Antibody type
- Polyclonal
- Description
- Rabbit anti Human Cytokeratin 8 Antibody, Polyclonal, could be used for WB, IHC, ICC/IF and so on.ApplicationWB: 0.01-2 µg/mLIHC: 5-20 µg/mLICC/IF: 5-20 µg/mLProtein FunctionTogether with KRT19, helps to link the contractile apparatus to dystrophin at the costameres of striated muscle.
- Reactivity
- Human
- Host
- Rabbit
- Conjugate
- Unconjugated
- Antigen sequence
AA 92-393- Vial size
- 100_l,10_l,1ml,20_l,50_l
- Concentration
- Lot by Lot
- Storage
- Store at 4_ short term (1-2 weeks). Store at -20_ long term (24 months). Upon delivery aliquot. Avoid freeze/thaw cycle.
No comments: Submit comment
Supportive validation
- Submitted by
- Aladdin Scientific (provider)
- Main image

- Experimental details
- Cytokeratin 8 Antibody (Ab099041) - Western Blot All lanes: Cytokeratin 8 Antibody (Ab099041) at 1/1000 dilution Samples: Lysates at 20 µg per lane Secondary: Goat Anti-Rabbit IgG H&L (HRP) (Ab170144) at 1/20000 dilution Predicted band size: 55 kDa Observed band size: 37-55 kDa Exposure time: 0.3 s
Supportive validation
- Submitted by
- Aladdin Scientific (provider)
- Main image

- Experimental details
- Cytokeratin 8 Antibody (Ab099041) - IF/ICC FITC staining on IF Samples: Human MCF7 cells Primary Ab: 20 μg/mL Cytokeratin 8 Antibody (Ab099041) Second Ab: 1.5 μg/mL FITC-Linked Caprine Anti-Rabbit IgG Polyclonal Antibody.
Supportive validation
- Submitted by
- Aladdin Scientific (provider)
- Main image

- Experimental details
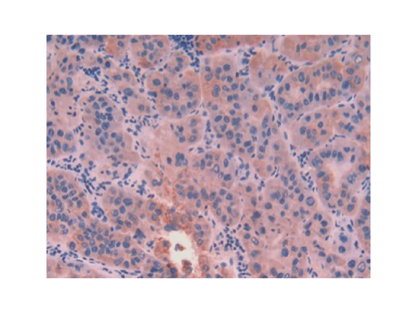
- Cytokeratin 8 Antibody (Ab099041) - IHC DAB staining on IHC Samples: Human Liver cancer Tissue Primary Ab: 20 µg/mL Cytokeratin 8 Antibody (Ab099041) Second Ab: 2 µg/mL HRP-Linked Caprine Anti-Rabbit IgG Polyclonal Antibody.
- Submitted by
- Aladdin Scientific (provider)
- Main image

- Experimental details
- Cytokeratin 8 Antibody (Ab099041) - IHC DAB staining on IHC Samples: Human Tonsil Tissue Primary Ab: 10 µg/mL Cytokeratin 8 Antibody (Ab099041) Second Ab: 2 µg/mL HRP-Linked Caprine Anti-Rabbit IgG Polyclonal Antibody.
- Submitted by
- Aladdin Scientific (provider)
- Main image

- Experimental details
- Cytokeratin 8 Antibody (Ab099041) - IHC DAB staining on IHC Samples: Human Prostate Tissue Primary Ab: 10 µg/mL Cytokeratin 8 Antibody (Ab099041) Second Ab: 2 µg/mL HRP-Linked Caprine Anti-Rabbit IgG Polyclonal Antibody.
- Submitted by
- Aladdin Scientific (provider)
- Main image

- Experimental details
- Cytokeratin 8 Antibody (Ab099041) - IHC DAB staining on IHC Samples: Human Thyroid cancer Tissue Primary Ab: 10 µg/mL Cytokeratin 8 Antibody (Ab099041) Second Ab: 2 µg/mL HRP-Linked Caprine Anti-Rabbit IgG Polyclonal Antibody.
- Submitted by
- Aladdin Scientific (provider)
- Main image

- Experimental details
- Cytokeratin 8 Antibody (Ab099041) - IHC DAB staining on IHC Samples: Human Kidney Tissue Primary Ab: 10 µg/mL Cytokeratin 8 Antibody (Ab099041) Second Ab: 2 µg/mL HRP-Linked Caprine Anti-Rabbit IgG Polyclonal Antibody.
- Submitted by
- Aladdin Scientific (provider)
- Main image

- Experimental details
- Cytokeratin 8 Antibody (Ab099041) - IHC DAB staining on IHC Samples: Human Stomach Tissue Primary Ab: 10 µg/mL Cytokeratin 8 Antibody (Ab099041) Second Ab: 2 µg/mL HRP-Linked Caprine Anti-Rabbit IgG Polyclonal Antibody.