Antibody data
- Antibody Data
- Antigen structure
- References [0]
- Comments [0]
- Validations
- Immunohistochemistry [1]
Submit
Validation data
Reference
Comment
Report error
- Product number
- AM20269PU-N - Provider product page

- Provider
- Acris Antibodies GmbH
- Proper citation
- Acris Antibodies GmbH Cat#AM20269PU-N, RRID:AB_10756793
- Product name
- anti Cytokeratin 8 (C-term)
- Antibody type
- Polyclonal (Antigen purified)
- Antigen
- Synthetic peptide corresponding to C-terminus of Human Keratin 8.
- Reactivity
- Human
- Host
- Rabbit
- Isotype
- IgG
- Antibody clone number
- SP102
- Vial size
- 1 ml
No comments: Submit comment
Supportive validation
- Submitted by
- Acris Antibodies GmbH (provider)
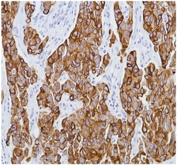
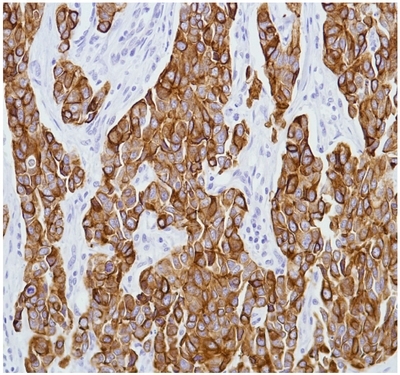
- Main image

- Experimental details
- Human breast ductal carcinoma stained with anti-Cytokeratin 8 antibody AM20269PU