Antibody data
- Antibody Data
- Antigen structure
- References [1]
- Comments [0]
- Validations
- Western blot [1]
- Immunohistochemistry [2]
Submit
Validation data
Reference
Comment
Report error
- Product number
- 15725-1-AP - Provider product page

- Provider
- Proteintech Group
- Proper citation
- Proteintech Cat#15725-1-AP, RRID:AB_2278518
- Product name
- FMO2 antibody
- Antibody type
- Polyclonal
- Description
- FMO2 antibody (Cat. #15725-1-AP) is a rabbit polyclonal antibody that shows reactivity with human, mouse, rat and has been validated for the following applications: IHC, WB,ELISA.
- Reactivity
- Human, Mouse, Rat
- Host
- Rabbit
- Conjugate
- Unconjugated
- Isotype
- IgG
- Vial size
- 20ul, 150ul
Submitted references Age-related changes in diurnal expression of inflammatory mediators in the brain and peripheral blood of male and female mice.
Lee EM, Kim HJ, Park Y, Kang JL, Park EM
The Korean journal of physiology & pharmacology : official journal of the Korean Physiological Society and the Korean Society of Pharmacology 2025 Sep 1;29(5):559-570
The Korean journal of physiology & pharmacology : official journal of the Korean Physiological Society and the Korean Society of Pharmacology 2025 Sep 1;29(5):559-570
No comments: Submit comment
Supportive validation
- Submitted by
- Proteintech Group (provider)
- Main image

- Experimental details
- mouse lung tissue were subjected to SDS PAGE followed by western blot with 15725-1-AP(FMO2 antibody) at dilution of 1:800
- Sample type
- tissue
Supportive validation
- Submitted by
- Proteintech Group (provider)
- Main image

- Experimental details
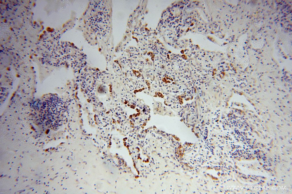
- Immunohistochemical of paraffin-embedded human lung cancer using 15725-1-AP(FMO2 antibody) at dilution of 1:100 (under 10x lens)
- Sample type
- tissue
- Submitted by
- Proteintech Group (provider)
- Main image

- Experimental details
- The FMO2 antibody from Proteintech is a rabbit polyclonal antibody to a recombinant protein of human FMO2. This antibody recognizes human, mouse, rat antigen. The FMO2 antibody has been validated for the following applications: ELISA, WB, IHC analysis.